Foram encontradas 60 questões.
Menino, 7 anos de idade, previamente hígido, vítima de
afogamento em piscina, é atendido após parada
cardiorrespiratória presenciada, com ritmo inicial de assistolia.
Após 18 minutos de reanimação cardiopulmonar avançada,
obtém-se retorno da circulação espontânea. O paciente é
admitido na UTI intubado e sob ventilação mecânica. Ao
exame físico, apresenta FC de 120 bpm, PA de 95x60 mmHg,
SpO2 de 98% com fração inspirada de oxigênio de 0,6, pupilas
isocóricas e fotorreagentes e escore de Glasgow 5 sob
sedação. A gasometria arterial revela pH de 7,31, PaCO2 de
48 mmHg, PaO2 de 210 mmHg e lactato de 5 mmol/L. A
temperatura corporal é de 35,8 °C e o eletrocardiograma
mostra ritmo sinusal. Assinale a alternativa que apresenta a
melhor estratégia nas primeiras 24 horas.
Provas
Questão presente nas seguintes provas
Menino, 9 anos de idade, foi submetido à correção cirúrgica
de comunicação interventricular com circulação
extracorpórea há 18 horas e atualmente encontra-se internado
na UTI pediátrica. Evolui nas últimas horas com taquicardia
persistente, apresentando FC de 205 bpm, PA de
85x50 mmHg, SpO2 de 96%, temperatura corporal de 38,3 °C
e lactato sérico de 3,5 mmol/L. Está em uso de milrinona em
baixa dose. O eletrocardiograma de 12 derivações é
demonstrado na imagem a seguir:
Fonte: The Southwest Respiratory and Critical Care Chronicles 2021;9(40):14–19
Diante desse quadro, assinale a alternativa que apresenta o diagnóstico mais provável e a conduta inicial adequada, respectivamente.
Fonte: The Southwest Respiratory and Critical Care Chronicles 2021;9(40):14–19
Diante desse quadro, assinale a alternativa que apresenta o diagnóstico mais provável e a conduta inicial adequada, respectivamente.
Provas
Questão presente nas seguintes provas
Adolescente, 15 anos de idade, com diagnóstico recente de
linfoma não-Hodgkin de alto grau, iniciou quimioterapia há
48 horas e encontra-se internado na UTI pediátrica para
monitorização. Evolui nas últimas 12 horas com náuseas
intensas, vômitos, fraqueza muscular progressiva, parestesias
em membros superiores e inferiores, redução importante da
diurese e episódio de confusão mental. Ao exame físico,
apresenta FC de 135 bpm, PA de 100x60 mmHg, FR de
26 irpm e diurese estimada de 0,3 mL/kg/h.
• Exames laboratoriais:
K+ sérico: 6,9 mEq/L
Fósforo: 8,2 mg/dL
Ca2+ total: 6,8 mg/dL
Ácido úrico: 14 mg/dL
Creatinina: 3,4 mg/dL (valor prévio de 0,8 mg/dL)
LDH: 2.500 U/L
A gasometria arterial demonstra pH de 7,22 e HCO3− de 14 mEq/L. O eletrocardiograma evidencia ondas T apiculadas e discreto alargamento do complexo QRS. Diante desse quadro clínico e laboratorial, qual deve ser a conduta terapêutica inicial mais adequada neste momento?
• Exames laboratoriais:
K+ sérico: 6,9 mEq/L
Fósforo: 8,2 mg/dL
Ca2+ total: 6,8 mg/dL
Ácido úrico: 14 mg/dL
Creatinina: 3,4 mg/dL (valor prévio de 0,8 mg/dL)
LDH: 2.500 U/L
A gasometria arterial demonstra pH de 7,22 e HCO3− de 14 mEq/L. O eletrocardiograma evidencia ondas T apiculadas e discreto alargamento do complexo QRS. Diante desse quadro clínico e laboratorial, qual deve ser a conduta terapêutica inicial mais adequada neste momento?
Provas
Questão presente nas seguintes provas
Menino, 8 anos de idade, previamente hígido, é admitido na
UTI pediátrica com história de fraqueza progressiva há cinco
dias, iniciada em membros inferiores e evoluindo de forma
ascendente. Nas últimas 24 horas passou a apresentar
incapacidade de deambular, dificuldade para sustentar a
cabeça, voz hipofônica, disfagia leve e tosse ineficaz. Ao
exame físico, observa-se tetraparesia flácida simétrica com
arreflexia global, FR de 30 irpm, SpO2 de 93% em ar ambiente
e instabilidade autonômica com episódios de taquicardia
sinusal e variações pressóricas. A gasometria arterial
demonstra pH de 7,36, PaCO2 de 44 mmHg e PaO2 de
72 mmHg. A punção lombar evidencia proteínas de 180 mg/dL
com 2 leucócitos/mm³. Considerando a evolução clínica e o
risco de deterioração respiratória, assinale a alternativa que
apresenta a conduta mais apropriada neste momento.
Provas
Questão presente nas seguintes provas
Menino, 13 anos de idade, previamente hígido, encontra-se
internado na UTI pediátrica há 24 horas por miocardite viral
confirmada. Evoluía com disfunção ventricular moderada e
monitorização contínua. Subitamente apresenta perda
abrupta da consciência, ausência de pulso central palpável e
queda da pressão arterial não mensurável. A equipe inicia
imediatamente reanimação cardiopulmonar de alta qualidade.
O monitor cardíaco é apresentado na imagem a seguir:
Após o início de compressões torácicas eficazes e ventilação adequada, qual deve ser a próxima conduta imediata?
Após o início de compressões torácicas eficazes e ventilação adequada, qual deve ser a próxima conduta imediata?
Provas
Questão presente nas seguintes provas
Adolescente, 15 anos de idade, com diagnóstico de miastenia
gravis generalizada anti-AChR positiva, em uso regular de
piridostigmina e prednisona em baixa dose, é admitida na UTI
pediátrica após quadro de infecção respiratória há cinco dias.
Nas últimas 24 horas, apresenta piora progressiva da fraqueza
muscular, disfagia, voz anasalada, dificuldade para manter a
cabeça ereta e dispneia aos mínimos esforços. Ao exame
físico, observa-se FR de 34 irpm, SpO2 de 89% em ar
ambiente, uso de musculatura acessória, incapacidade de
contar até 10 em uma única expiração, fraqueza importante de
flexores cervicais e tosse ineficaz. A gasometria arterial
demonstra pH de 7,31, PaCO2 de 52 mmHg e PaO2 de
65 mmHg. Diante desse quadro, assinale a alternativa que
apresenta a conduta inicial mais apropriada.
Provas
Questão presente nas seguintes provas
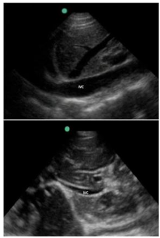
Lactente, 4 meses de vida, 6 kg, é admitido com suspeita de
sepse grave. Está hipotenso com PA de 55x35 mmHg, FC de
180 bpm, extremidades frias e tempo de enchimento capilar
prolongado. Foi realizado ultrassom dirigido (POCUS) de leito
apresentado na imagem a seguir, demonstrando a veia cava
inferior na expiração e na inspiração, além do ventrículo
esquerdo hiperdinâmico com cavidades pequenas e ausência
de derrame pericárdico ou outras anormalidades estruturais
significativas.
Com base nos achados do ultrassom e na avaliação clínica, qual é a interpretação fisiopatológica mais provável e qual conduta deve ser realizada inicialmente?
Com base nos achados do ultrassom e na avaliação clínica, qual é a interpretação fisiopatológica mais provável e qual conduta deve ser realizada inicialmente?
Provas
Questão presente nas seguintes provas
Adolescente de 13 anos de idade é admitido na UTI pediátrica
após acidente automobilístico com trauma torácico fechado.
Chega intubado, sedado e em ventilação mecânica invasiva
em modo volume controlado, com volume corrente de
6 mL/kg, frequência respiratória de 20 incursões por minuto,
PEEP de 8 cmH2O e FiO2 de 60%. Inicialmente apresenta
estabilidade hemodinâmica. Após aproximadamente
30 minutos de internação, evolui subitamente com FC de
160 bpm, PA de 68x40 mmHg, SpO2 de 82% e murmúrio
vesicular diminuído no hemitórax direito. Observa-se aumento
das pressões ventilatórias, com pressão de pico elevando-se
de 30 para 55 cmH2O e pressão de platô de 22 para
40 cmH2O. A ultrassonografia pulmonar à beira-leito no
hemitórax direito demonstra ausência de deslizamento pleural,
ausência de linhas B, presença de “lung point” e padrão em
“código de barras” no modo M. A avaliação ecocardiográfica
subcostal evidencia ventrículo esquerdo pequeno,
compressão de câmaras direitas e ausência de derrame
pericárdico. Diante desse quadro clínico e ultrassonográfico,
qual é a conduta imediata mais adequada?
Provas
Questão presente nas seguintes provas
Lactente, 8 meses de idade cronológica, nascido prematuro
de 32 semanas, atualmente com idade corrigida de 6 meses,
é admitido na UTI pediátrica após parada cardiorrespiratória
prolongada por provável síndrome da morte súbita do
lactente. Após 24 horas de estabilização clínica, apresenta
Glasgow 3, ausência de resposta supraespinal a estímulos
dolorosos, pupilas fixas e dilatadas bilateralmente (5 mm),
ausência de reflexo fotomotor, ausência de reflexo córneo-palpebral, ausência de reflexo óculocefálico, sem movimentos
respiratórios espontâneos em ventilação assistida. Parâmetros
atuais com temperatura central de 36,5 °C.PAM adequada
para idade. PaCO2 basal de 40 mmHg. PaO2 de 120 mmHg,
sem uso de sedativos nas últimas 24 horas e sem distúrbios
metabólicos ou eletrolíticos. EEG realizado demonstra silêncio
elétrico. De acordo com a Resolução CFM nº 2173/2017 e os
critérios específicos para lactentes, qual o próximo passo
adequado?
Provas
Questão presente nas seguintes provas
Paciente de 10 anos de idade, previamente hígido, internado
por peritonite secundária a apendicite perfurada. Evoluiu com
sepse e insuficiência respiratória aguda. Encontra-se em
ventilação mecânica invasiva há 24 horas. Apesar de ajustes
progressivos, mantém hipoxemia refratária, definida por PaO2
de 55 mmHg, FiO2 de 0,8 e relação P/F ≈ 68.
• Modo Pressão Controlada (PCV):
Pressão inspiratória acima da PEEP: 25 cmH2O
PEEP: 8 cmH2O
FR: 22 irpm
Tempo inspiratório: 0,8 s
FiO2: 0,8
• Parâmetros observados:
Pressão de pico: 33 cmH2O
Volume corrente resultante: 9 mL/kg
Complacência dinâmica reduzida
Driving pressure estimada: 25 cmH2O
• Gasometria arterial:
pH 7,28
PaCO2 50 mmHg
Paciente hemodinamicamente estável, sem uso de altas doses de vasopressores. Qual o melhor ajuste ventilatório neste momento com base em ventilação protetora baseada em evidências?
• Modo Pressão Controlada (PCV):
Pressão inspiratória acima da PEEP: 25 cmH2O
PEEP: 8 cmH2O
FR: 22 irpm
Tempo inspiratório: 0,8 s
FiO2: 0,8
• Parâmetros observados:
Pressão de pico: 33 cmH2O
Volume corrente resultante: 9 mL/kg
Complacência dinâmica reduzida
Driving pressure estimada: 25 cmH2O
• Gasometria arterial:
pH 7,28
PaCO2 50 mmHg
Paciente hemodinamicamente estável, sem uso de altas doses de vasopressores. Qual o melhor ajuste ventilatório neste momento com base em ventilação protetora baseada em evidências?
Provas
Questão presente nas seguintes provas
Cadernos
Caderno Container