Foram encontradas 60 questões.
Durante a copa do mundo de 2014, um jogador de futebol recebeu uma falta e, após o lance, não conseguiu retornar à partida em virtude de forte dor lombar. Foi, então, levado ao hospital, onde foi realizada a seguinte imagem:

Sobre o quadro, considerando a imagem, é correto afirmar que
Provas
O esquema de antibióticos mais usado empiricamente para os casos de abscesso cerebral sem fatores de risco para germes específicos é
Provas
Qual dos itens a seguir faz parte do checklist da cirurgia segura?
Provas
Paciente do sexo masculino, 32 anos, foi encaminhado pela endocrinologia devido a quadro clínico de acromegalia e exame de imagem mostrando tumor em hipófise de 1,5 cm. A dosagem hormonal mostra GH e IGF-1 elevados. Sobre esse caso, é correto afirmar que
Provas
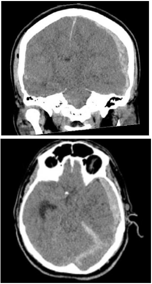
Paciente do sexo masculino, 23 anos, com quadro de traumatismo cranioencefálico após acidente automobilístico é levado para avaliação na emergência. Ao exame, apresentava Glasgow de 6. Foi realizada tomografia de crânio que mostrou o seguinte achado:

Quanto ao caso descrito e considerando o achado, é correto afirmar que
Provas
De acordo com a Lei nº 8.142/1990, para que estados, municípios e o Distrito Federal recebam repasses do Fundo Nacional de Saúde, é necessário, além de outros requisitos previstos em lei,
Provas
Durante um congresso nacional sobre gestão hospitalar, uma empresa fornecedora de equipamentos hospitalares propôs-se a custear as despesas de transporte e hospedagem de dois servidores da SES/SC, convidados para apresentar experiências exitosas de gestão no evento. O convite foi feito formalmente, com registro público, e a participação dos servidores foi autorizada pela chefia imediata, pois o congresso se relacionava diretamente às atribuições institucionais. Os custos foram declarados à autoridade competente, sem contrapartida de favorecimento à empresa ou assinatura de contratos. De acordo com o Código de Conduta da SES/SC, essa situação pode ser caracterizada como um caso de
Provas
Um servidor público, responsável pelo setor de compras de uma Secretaria Estadual de Saúde, direcionou um processo licitatório para beneficiar uma empresa de equipamentos hospitalares. Durante a investigação, constatou-se que a empresa recebeu valores acima dos praticados no mercado e que o servidor participou ativamente da montagem do edital para favorecer o contratado. Diante dessa situação, nos termos da Lei nº 8.429/1992, a conduta desse servidor caracteriza
Provas
Um servidor efetivo do quadro de pessoal da SES/SC foi colocado à disposição de uma fundação hospitalar vinculada à mesma Secretaria, para exercer cargo em comissão. Durante esse período, continuou recebendo sua remuneração pelo órgão de origem e desempenhou funções administrativas de direção e coordenação. Após dois anos nessa situação, solicitou que o tempo em que esteve à disposição fosse computado para fins de promoção por antiguidade, conforme a Lei nº 6.745/1985. Considerando esse caso e a lei descrita, assinale a alternativa correta.
Provas
No mês de outubro de 2025, ocorreu um aumento atípico de notificações de intoxicação associadas ao consumo de bebidas alcoólicas adulteradas. Dessa forma, a formulação e a execução de políticas de informação e assistência toxicológica, bem como de logística de antídotos e medicamentos utilizados em intoxicações, fazem parte do campo de atuação do Sistema Único de Saúde (SUS), conforme determina a Lei nº
Provas
Caderno Container