Foram encontradas 60 questões.
Pacientes muito desnutridos podem apresentar duas formas clínicas distintas – marasmo e Kwashiorkor. Quanto ao tema, relacione as colunas e assinale a alternativa correta.
1. Marasmo.
2. Kwashiorkor.
( ) Intenso consumo de tecido celular subcutâneo, com fácies senil, olhos encovados e visualização de proeminências ósseas.
( ) Lesões de pele hiper/hipocrômicas ou descamativas.
( ) Edema de membros inferiores em graus de intensidade variada ou anasarca.
( ) Alterações em couro cabeludo (cabelos quebradiços, descoloridos e ralos).
Provas
Dentre as seguintes, assinale a alternativa que apresenta uma contraindicação absoluta para nutrição enteral.
Provas
Você iniciou o atendimento de um paciente do sexo masculino, 10 anos, previamente hígido. Segundo o pai, a criança vem apresentando alterações comportamentais há cerca de 6 meses, está muito irritada, desatenta e cansada, o que reduziu bastante o desempenho escolar nesse período. Há 1 semana, notaram que estava com a pele mais amarelada, o que motivou o encaminhamento para a especialidade. Ao exame físico, você nota um tremor fino de extremidades e rigidez muscular leve, anictérico, fígado palpável 4 cm abaixo do rebordo costal direito, sem sinais de circulação colateral em abdome.
Você solicita exames iniciais para elucidação diagnóstica cujos resultados são: AST 130 (VR < 39); ALT 115 (VR < 40); bilirrubina total 1,0 (VR 0,3 – 1,2); RNI 1,0; albumina 3,2; hemoglobina 10,5; Hepatite A (VHA) não reagente; HbsAg não reagente; anti-Hbs reagente; anti-Hbc não reagente; hepatite C (anti-HCV) não reagente.
Quanto ao quadro clínico apresentado, qual é o diagnóstico mais provável?
Provas
Assinale a alternativa que apresenta um fator de risco reconhecido para esofagite eosinofílica?
Provas
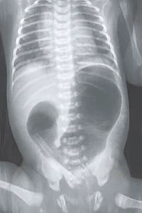
Recém-nascido de 37 semanas, parto cesárea e presença de polidrâmnio durante a gestação, com 8 horas de vida iniciou com vômitos biliosos após as primeiras mamadas e não eliminou mecônio. Ao exame físico, nota-se distensão abdominal discreta em epigástrio. Foi realizada radiografia de abdome (foto a seguir):

Fonte: Tratado de pediatria, 6ed, 2024.
De acordo com o quadro clínico e a imagem do exame, assinale a alternativa que apresenta a principal hipótese diagnóstica.
Provas
Considerando os parasitas intestinais e suas principais manifestações clínicas, relacione as colunas e assinale a alternativa com a sequência correta.
1. Trichuris trichiura.
2. Ascaris lumbricoides.
3. Enterobius vermicularis.
4. Giardia.
5. Cryptosporidium spp.
( ) Quadro respiratório.
( ) Síndrome de má absorção.
( ) Prolapso retal.
( ) Quadro grave em imunossuprimidos.
( ) Prurido anal.
Provas
Quanto à indicação de pesquisa e tratamento para infecção por Helicobacter pylori, informe se é verdadeiro (V) ou falso (F) o que se afirma a seguir e assinale a alternativa com a sequência correta.
( ) A pesquisa de H. pylori deve ser realizada na presença de úlceras gástricas ou duodenais. Se a infecção for identificada, o tratamento deve ser administrado e a erradicação confirmada.
( ) Durante a investigação de doenças como Doença Inflamatória Intestinal e doença celíaca, a pesquisa para infecção por H. pylori deve ser realizada, por poder mimetizar o quadro dessas doenças.
( ) Caso seja optado por endoscopia digestiva alta para investigação de anemia ferropriva refratária, a pesquisa de H. pylori pode ser considerada e, se positiva, realizada a erradicação.
( ) Recomenda-se a suspensão de inibidores de bomba de próton (IBPs) por pelo menos 2 semanas e de antibióticos por pelo menos 4 semanas antes da realização de testes invasivos para pesquisa de H. pylori ou testes não invasivos para confirmação da erradicação.
Provas
Levando em consideração os objetivos do Sistema Único de Saúde (SUS), dispostos na Lei nº 8.080/1990, analise as assertivas e assinale a alternativa que aponta a(s) correta(s).
I. A assistência às pessoas por intermédio de ações de promoção, proteção e recuperação da saúde corresponde a um dos objetivos do SUS.
II. A atuação do SUS inclui execução de ações de vigilância sanitária, vigilância epidemiológica e assistência terapêutica integral (inclusive farmacêutica).
III. A execução de ações de saúde do trabalhador não está incluída no campo de atuação do SUS, pois trata-se de um dever do Ministério do Trabalho.
Provas
Em relação à indicação do uso de probióticos nos distúrbios gastrointestinais infantis, informe se é verdadeiro (V) ou falso (F) o que se afirma a seguir e assinale a alternativa com a sequência correta.
( ) Pode ser considerado seu uso em quadros de gastroenterite aguda, podendo ter benefícios na redução da duração da diarreia, volume das fezes e redução no tempo de internação.
( ) Pode ser considerado seu uso como prevenção de diarreia nosocomial, durante o período de internamento.
( ) O uso de cepas específicas podem ser recomendadas, juntamente com a terapia adequada, para erradicação de H. pylori e redução dos efeitos adversos gastrointestinais.
( ) O uso de probióticos não deve ser recomendado como terapia adjuvante para pacientes em tratamento para constipação intestinal funcional.
Provas
A terapia enteral tem papel importante na manutenção e/ou recuperação do estado nutricional, especialmente na pediatria, período em que a alimentação é essencial para o crescimento e desenvolvimento adequados.
São indicações de terapia de nutrição enteral:
I. não atingir ≥ 60-80% da necessidade nutricional estimada por um período maior que 10 dias;
II. crescimento ou ganho de peso insuficientes por > 2 meses em menores de 2 anos de idade;
III. perda de peso ou não ganho ponderal por > 3 meses em crianças maiores de 2 anos;
IV. tempo total de alimentação em crianças com necessidades especiais maior que 4 a 6 horas ao dia.
Estão corretas:
Provas
Caderno Container