Foram encontradas 60 questões.
Em determinado hospital, foi prescrita transfusão sanguínea para um paciente internado na ala cirúrgica, porém a bolsa de sangue era incompatível, o que gerou uma reação transfusional grave. Segundo a RDC ANVISA nº 36/2013, como seria classificada essa situação?
Provas
Mutação em qual dos seguintes genes cursa com mais frequência com craniossinostose e sindactilia complexa?
Provas
A melhor sequência da ressonância magnética para visualização de sangramentos é
Provas
Assinale a alternativa que apresenta um fator de risco para infecção pós-operatória em cirurgia de coluna.
Provas
Qual nervo a seguir é mais frequentemente lesado durante a cirurgia de artrodese e discectomia cervical anterior?
Provas
Qual dos seguintes agentes anestésicos seria o mais adequado para ser usado em neurocirurgia com monitorização neurofisiológica intraoperatória?
Provas
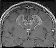
Qual dos seguintes tumores mais frequentemente cursa com o padrão de imagem a seguir?

Provas
Qual é o agente etiológico mais comum na meningite pós-craniotomia?
Provas
A oclusão de qual das seguintes artérias causa infarto talâmico paramediano bilateral?
Provas
Países do Brics se unem para eliminar doenças ligadas à pobreza e à desigualdade
A iniciativa mira causas sociais e busca esforços coletivos para superar doenças negligenciadas pelos países do Norte
Os países do Brics lançaram uma parceria com o objetivo de eliminar as chamadas Doenças Socialmente Determinadas (DSDs), enfermidades cuja ocorrência e gravidade estão diretamente ligadas à pobreza e à desigualdade. A iniciativa busca fortalecer a cooperação entre as nações, mobilizar recursos e avançar esforços coletivos para eliminação integrada dessas doenças.
Quem explica é Gonzalo Vecina Neto, professor da Faculdade de Saúde Pública da USP e ex-presidente da Anvisa: “É importante entender que existe um conjunto de doenças infectocontagiosas que incidem principalmente sobre populações pobres. Os determinantes sociais são o que faz acontecer essa carga de doenças.” Entre as doenças priorizadas pela ação da parceria estão tuberculose, hanseníase, dengue e malária — todas com alta prevalência no Sul Global. O professor aponta que a tuberculose “está sempre presente na nossa população da periferia das grandes cidades e nos fundões da nossa sociedade”. A hanseníase, “infelizmente uma doença milenar”, também persiste em números elevados.
Além do reforço aos sistemas de saúde, Vecina comenta o contexto estrutural que agrava essas doenças: “Como são doenças determinadas socialmente, têm pobreza e a estrutura pública de vida no meio do caminho. Saúde não resolve esse tipo de problema. Precisa de uma ação intersetorial, precisa de educação, de habitação, e de condições sociais melhores”. Nesse sentido, ele reforça a urgência de avançar na pesquisa científica para essas doenças, historicamente negligenciadas pela indústria farmacêutica dos países do Norte. “O Norte rico não quer saber de fazer pesquisa para nós. Então nós temos que fazer pesquisa para as nossas doenças e ter soluções melhores.”
A parceria assinada pelo Brics também aponta para a construção de uma agenda comum nos fóruns internacionais, ampliação de financiamento via bancos de desenvolvimento e uso de tecnologias como inteligência artificial, vigilância epidemiológica digital e plataformas interoperáveis. Para Vecina, no entanto, a resposta mais eficaz não virá apenas de laboratórios ou políticas setoriais. “O remédio mais importante de todos implica mais igualdade entre os seres humanos que vivem neste mundo.”.
Adaptado de: https://jornal.usp.br/radio-usp/paises-do-brics-seunem-para-eliminar-doencas-ligadas-a-pobreza-e-a-desigualdade/. Acesso em: 29 out. 2025.
Assinale a alternativa correta no que diz respeito à compreensão do texto apresentado.
Provas
Caderno Container