Foram encontradas 1.257 questões.
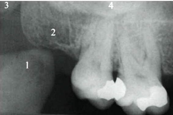
Observe a imagem abaixo de uma radiografia periapical de molares superiores:

Disponível em: Livro - Radiologia Odontológica e Imaginologia - Série Fundamentos de Odontologia 2ª ed.
Assinale a alternativa que corresponde à nomenclatura da estrutura anatômica marcada como 1 na imagem.
Provas
As Unidades de Alimentação e Nutrição (UAN) hospitalares apresentam como objetivo principal a oferta de refeições seguras do ponto de vista higiênico-sanitário e nutricionalmente equilibradas aos pacientes e colaboradores.
-
Assinale a alternativa correta considerando uma UAN de um hospital público de grande porte e de alta complexidade, que fornece 1.500 refeições/dia e na modalidade autogestão.
Provas
Para atuação na área de Gestão de Unidades de Alimentação e Nutrição (GUAN), o Conselho Federal de Nutricionistas (CFN) determinou por meio da Resolução nº 380/2005 como atribuição mínima e específica do nutricionista o desenvolvimento de fichas técnicas (FT) para elaboração de cardápios padronizados.
-
Assinale a alternativa correta com relação às fichas técnicas como ferramenta de trabalho do nutricionista.
Provas
Uma mãe leva seu filho para realizar vacinação em uma Unidade Básica de Saúde. Como parte das atividades de acolhimento, o nutricionista verificou que o bebê de sete meses, amamentado exclusivamente ao seio, apresenta 5% a menos do peso indicado para sua idade.
-
Analise as afirmativas abaixo em relação ao caso.
-
1. De acordo com a idade, é recomendado prescrever uma fórmula de segmento para complementar o leite materno e dar início à alimentação complementar.
2. É preciso planejar horários para amamentação, pois a partir dos sete meses de vida, a livre demanda não é mais recomendada.
3. Associar a amamentação sob livre demanda com a introdução da alimentação complementar.
4. Acompanhar de forma mais frequente a evolução do estado nutricional e orientar acerca da importância da introdução da alimentação complementar.
-
Assinale a alternativa que indica todas as afirmativas corretas.
Provas
- SUSLei 8.080/1990: Lei Orgânica da SaúdeSistema Único de SaúdePrincípios, Objetivos, Diretrizes e Atribuições.Art. 7º: Princípios e Diretrizes
Assinale a alternativa que contém Princípios e Diretrizes do SUS e da Rede de Atenção à Saúde a serem operacionalizados na Atenção Básica.
Provas
Os modos litúrgicos influenciaram a criação popular e, por isso, músicas folclóricas de inúmeros países têm a estrutura modal.
Analise a melodia a seguir:

A melodia dada está escrita no modo:
Provas
“O sistema de escrita musical adota vários sinais que foram desenvolvidos ao longo do tempo. As figuras musicais, cuja função é indicar a propriedade do som referente à duração, também foram modificadas gradualmente. Atualmente, as figuras musicais adotadas são: semibreve, mínima, semínima, colcheia, fusa e semifusa” (LIMA; FIGUEIREDO, 2004, p. 12).
Cada figura musical possui um número correspondente que evidencia a relação de proporcionalidade entre as figuras.
Assinale a alternativa que apresenta a relação de proporcionalidade correta entre as figuras apresentadas.
Provas
O sistema viário urbano do município apresenta definições para o conjunto de vias que o integram.
Assinale a alternativa correta em relação ao assunto.
Provas
Em relação aos parâmetros e limites de ocupação do solo, segundo a legislação do município, a taxa de ocupação do lote é definida pela relação entre a área da projeção ortogonal da edificação e a área total do lote, não sendo computadas no cálculo da taxa de ocupação do lote as projeções de algumas áreas e dependências, como por exemplo:
Provas
Disciplina: Direito Cultural, Desportivo e da Comunicação
Banca: FEPESE
Orgão: Pref. Chapecó-SC
Com relação às regras do Voleibol (FIBA, 2020), é correto afirmar:
Provas
Caderno Container