Foram encontradas 1.170 questões.
O espectro de massas de uma nota de 50 reais identificou um contaminante com massa molar 304 g mol-1, que corresponde à molécula de cocaína protonada. Combase nessa massa molar, qual das estruturas abaixo pode representar a cocaína protonada?
Química Nova, 34, 1717, 2011 (Adaptado).
Provas
Questão presente nas seguintes provas
O tem na questão social a base de sua fundação como especialização do trabalho. A questão social é apreendida como conjunto das expressões das desigualdades da sociedade capitalista e tem como raiz comum o seguinte pensamento:
Provas
Questão presente nas seguintes provas
A ampliação do uso e da utilidade da web semântica, assim como de seus recursos interconectados, envolve a utilização de
Provas
Questão presente nas seguintes provas
As normas básicas sobre o processo administrativo, estabelecidas na Lei n. 9.784, de 29 de janeiro de 1999, visando, inclusive, à proteção dos direitos dos administrados e ao melhor cumprimento dos fins da Administração, aplicam-se
Provas
Questão presente nas seguintes provas
Doença ocupacional é aquela
Provas
Questão presente nas seguintes provas
VOCÊ RECONHECE QUANDO CHEGA A FELICIDADE?
Tenho uma forte antipatia pela obrigação de ser feliz que acompanha o Carnaval. Quem foge da folia ganha o rótulo de antissocial, depressivo ou chato. Nada contra o Carnaval. Apenas contra essa confusão de conceitos. Uma festa alegre não significa que você esteja plenamente feliz. E forçar uma situação de felicidade tem tudo para terminar em arrependimento e frustração. Aliás, você reconhece a felicidade quando ela chega? Sabe que está sendo feliz naquele momento? Espere um poucoantes de responder. Pense de novo.
Estamos falando de felicidade! Não de uma alegria qualquer. E qual é a diferença? Bem, descrever a felicidade não é fácil. Ela é muito recatada. Não fica ali, posando para foto, sabe? Mas um Manual de Reconhecimento da Felicidade diria mais ou menos o seguinte: Ela é mansa. Não faz barulho. Ao mesmo tempo é farta. Quando chega, ocupa um espaço danado. Apesar disso, você quase não repara que ela está ali. Se chamar a atenção, não é ela. É euforia. Alegria. A licenciosidade de uma noite de Carnaval. Ou um reles frenesi qualquer, disfarçado de felicidade.
A dita cuja é discreta. Discretíssima. E muito tranquila. Ela te faz dormir melhor. E olha, vou te contar uma coisa: a felicidade é inimiga da ansiedade. As duas não podem nem se ver. Essa é a melhor pista para o seu Manual de Reconhecimento da Felicidade. Se você se apaixonou e está naquela fase de pura ansiedade, mesmo que esteja superfeliz, não é felicidade. É excitação. Paixonite. Quando a ansiedade for embora, pode ser que a felicidade chegue. Mas ninguém garante.
É temperamental, a felicidade. Não vem por qualquer coisa. E para ficar então… hi, não conheço nenhum caso de alguém que a tenha tido por perto a vida inteira. Por isso é tão importante reconhecê-la quando ela chega. Entendeu agora por que a minha pergunta? Será que você sabe mesmo quando está feliz? Ou será que você só consegue saber que foi feliz quando a felicidade já passou?
Eu estudo muito a felicidade. Mas não consigo reconhecê-la. Talvez porque eu seja péssima fisionomista. Ou porque ela seja muito mais esperta do que eu. Mais sábia. Fato é que eu só sei que fui feliz depois. No futuro. Olho para o passado e reconheço: “Nossa, como eu fui feliz naquela época!” Mas no presente ela sempre me dá uma rasteira. Ando por aí, feliz da vida e nem sei que estou nesse estado. Por isso, aproveito menos do que poderia a graça que é ter assim, tão pertinho, a tal da felicidade.
Nos últimos tempos, dei para fazer uma lista de momentos felizes. E aqui é importante deixar claro que esses momentos devem durar um certo período de tempo. Um episódio isolado feliz – como quatro dias de Carnaval, por exemplo – não significa felicidade. A felicidade, quando vem, não vem de passagem. Não dura para sempre, mas dura um tempinho. Gosta de uma certa estabilidade, a danada! O problema é saber que ela está ali na hora em que ela está ali. Mas, voltando à lista, até que ela é longa.
Já fui bastante feliz. Talvez não na maior parte do tempo. Mas acho que ninguém é. A lista é um grande exercício. Sabendo quando você foi feliz, é mais fácil descobrir por que você foi feliz. Para ser ainda mais funcional, é bom que a lista seja cronológica. Lendo a minha, constato que fico cada vez mais feliz e por mais tempo. Será que ela está aqui agora? Não sei dizer. Mas a paz de que desfruto agora é um sintoma dela.
E isso não tem nada a ver com a tal obrigação de ser feliz desfilando no Sambódromo. Continuo meus estudos. Já tenho certeza de que hoje sou mais amiga da felicidade do que jamais fui em qualquer tempo.
PADRÃO, Ana Paula. Você reconhece quando chega a felicidade? In: ISTOÉ, São Paulo, 28 fev. 2012. Editora Três, p. 98.
A palavra que pode assumir diferentes funções num texto. Em qual dos enunciados a seguir a palavra que tem função sintática de sujeito?
Provas
Questão presente nas seguintes provas
“Nos últimos anos cresceu muito a consciência de que, como parte da natureza, cabe ao homem conservá-la e assim garantir sua sobrevivência. Nesse esforço de preservação todos devem empenhar-se e as empresas têm aí, um papel de destaque, adotando uma relação responsável com o meio ambiente”. Nesse sentido, surgiu a série de normas ISO 14000 que:
Provas
Questão presente nas seguintes provas
Os resultados de exames biomédicos realizados para verificação de hepatite B foram apresentados a seguir.
| Testes sorológicos | Paciente I | Paciente II |
|
HBsAg
Anti-HBs
Anti-Hbc
HBeAg
|
Positivo
Negativo
Negativo
Positivo
|
Negativo
Positivo
Negativo
Negativo
|
De acordo com os dados, conclui-se que o paciente
Provas
Questão presente nas seguintes provas
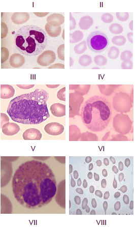
Observe a morfologia das células do sangue periférico.


Disponível em:<http://www.google.com.br/images> Acesso em : 12 mar. 2012.
A análise da morfologia das células permite deduzir o seguinte:
Provas
Questão presente nas seguintes provas
A reforma do Estado, entendida como racionalizadora e modernizadora, redefiniu e distribuiu as atividades estatais em quatro campos. A educação superior está localizada
Provas
Questão presente nas seguintes provas
Cadernos
Caderno Container