Foram encontradas 2.521 questões.
A sociedade empresária XYZ, que tem por objeto social o comércio de roupas e acessórios, encontra estabelecida em Belém – PA. No desenvolvimento de sua atividade empresarial, essa pessoa jurídica prestava as declarações exigidas pela legislação tributária relativamente ao imposto sobre operações relativas à circulação de mercadorias e prestação de serviço de transporte interestadual e intermunicipal e de comunicação (ICMS) e efetuava o pagamento antecipado do crédito tributário. A partir de dezembro de 2011, embora a sociedade empresária tenha continuado a enviar as declarações, deixou de efetuar o pagamento do valor correspondente à obrigação principal. Em fevereiro de 2016, a secretaria de fazenda estadual identificou, mediante fiscalização no estabelecimento empresarial, o descumprimento das obrigações principal e acessórias relativas ao pagamento do ICMS, tais como a emissão de notas fiscais e preenchimento de livro fiscal obrigatório.
A respeito dessa situação hipotética, julgue o item seguinte.
Se, antes de qualquer ato de verificação da declaração enviada pela administração tributária, a pessoa jurídica identificar que uma das declarações de ICMS constituiu o crédito tributário em valor menor que o devido e, em seguida, retificar a declaração anterior e realizar o pagamento integral, estará caracterizada a denúncia espontânea, afastando-se a aplicação de penalidade.
Provas
Questão presente nas seguintes provas

Considerando a NBR 9050:2015, que trata de acessibilidade, e as ilustrações apresentadas, julgue o item seguinte.
Para atender aos requisitos estabelecidos pela norma, o bocel, obtido com material diferente do acabamento do espelho, deve avançar no mínimo 1,5 cm sobre o piso inferior (medida).
Provas
Questão presente nas seguintes provas

Internet: <www.cleber.com.br> (com adaptações).
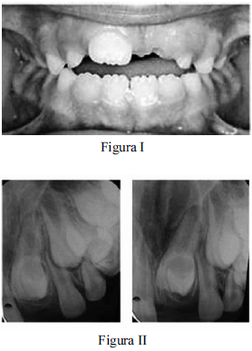
Uma paciente de seis anos de idade foi levada a um consultório odontológico para a realização de uma consulta de rotina. Ao examinar a arcada dentária da criança, o cirurgião-dentista observou que, apesar de ter havido a erupção do dente 11, ainda não havia ocorrido a erupção do elemento 21, conforme mostrado na figura I. Após a realização de radiografia da região periapical, constatou-se a presença de dente supranumerário impedindo a erupção do elemento 21, conforme apresentado na figura II, motivo pelo qual o cirurgião-dentista recomendou a remoção cirúrgica do dente supranumerário.
Tendo como referência as imagens apresentadas, julgue o item subsecutivo, relativo ao caso clínico descrito.
Se a exodontia não for realizada na paciente desse caso clínico, haverá possibilidade de os mesiodentes inclusos retardarem ou impedirem a erupção dos dentes permanentes sucessores, bem como de causarem desvios de erupção, giroversões, reabsorção radicular de dentes adjacentes e formação de cistos com destruição óssea.
Provas
Questão presente nas seguintes provas
Um fisioterapeuta foi contratado por uma indústria para gerenciar uma equipe de vigilância da saúde dos seus empregados, composta também por um psicólogo, um técnico de enfermagem e um médico do trabalho. No ato da contratação, assinou um termo de sigilo acerca dos acontecimentos internos da empresa e foi informado de que, por questões sanitárias, as normas da empresa determinam que os empregados não portem quaisquer objetos no ambiente de trabalho, tais como bolsas, carteiras, documentos e crachás de identificação. As atribuições do fisioterapeuta incluíam a realização de ginástica laboral com os trabalhadores da empresa e o treinamento do técnico de enfermagem, para que o substituísse em eventual ausência. Durante os intervalos da ginástica laboral, o fisioterapeuta tinha como função induzir e prover orientações sobre aspectos relativos a saúde, política, qualidade de vida e meio ambiente, bem como divulgar os últimos recursos terapêuticos experimentais para tratamento de lesões laborais publicados em artigos científicos.
A respeito da situação hipotética apresentada e dos aspectos legais a ela relacionados, julgue o item a seguir.
O fisioterapeuta da equipe de vigilância da saúde poderá ser substituído por outro fisioterapeuta, desde que o registro da atividade e a assinatura sejam feitos pelo fisioterapeuta responsável, conforme prevê o código de ética da profissão.
Provas
Questão presente nas seguintes provas

Syed Nasar. Máquinas elétricas. São Paulo: McGrawHill, 1984, p. 126 (com adaptações).
Tendo como referência a figura apresentada, que mostra a seção transversal de uma máquina síncrona trifásica com enrolamentos concentrados operando como gerador, julgue o item seguinte, relativo a máquinas síncronas.
Se a tensão induzida, na fase A, for dada, em Volts, por va(t) ' 120sen(377t), a tensão induzida, na fase B, será dada, em Volts, por vb(t) ' 120sen(377t % 120º).
Provas
Questão presente nas seguintes provas
Com relação à evolução da administração, julgue o item a seguir.
A organização racional do trabalho, uma importante contribuição da teoria ou escola da administração científica à melhoria da produtividade das organizações, teve como base os estudos de tempos e movimentos, o estudo da fadiga humana, a divisão do trabalho, a especialização do operário e o desenho de cargos e salários.
Provas
Questão presente nas seguintes provas
Julgue o próximo item, acerca de design gráfico.
A criação de uma marca visual exige três versões fundamentais: a cores, meio-tom e traço (claro/escuro).
Provas
Questão presente nas seguintes provas
1800895
Ano: 2016
Disciplina: TI - Desenvolvimento de Sistemas
Banca: CESPE / CEBRASPE
Orgão: TCE-PA
Disciplina: TI - Desenvolvimento de Sistemas
Banca: CESPE / CEBRASPE
Orgão: TCE-PA
Acerca dos conceitos e das técnicas necessários à construção de sítios web em que se utilizam CSS e HTML, julgue o item que se segue.
A regra CSS é composta pela seguinte sintaxe. seletor {propriedade: valor
Provas
Questão presente nas seguintes provas
1800734
Ano: 2016
Disciplina: TI - Desenvolvimento de Sistemas
Banca: CESPE / CEBRASPE
Orgão: TCE-PA
Disciplina: TI - Desenvolvimento de Sistemas
Banca: CESPE / CEBRASPE
Orgão: TCE-PA
A propósito de análise e projeto orientados a objetos, julgue o item subsequente.
Na UML, a representação de uma classe de objetos ocorre por meio de um retângulo em que há a seguinte representação: na parte superior, os atributos de objeto; e na parte inferior, as operações associadas ao objeto.
Provas
Questão presente nas seguintes provas
No que concerne a responsabilidade técnica e recursos orçamentários, julgue o item subsecutivo.
O autor do projeto deve entregar um produto que tenha qualidade e atenda aos requisitos da licitação.
Provas
Questão presente nas seguintes provas
Cadernos
Caderno Container