Foram encontradas 1.268 questões.
É cada vez mais comum o número de organizações que se preocupam de alguma forma com o ambiente ao seu redor. As organizações não são entidades isoladas e não devem ser voltadas apenas aos seus problemas internos, pelo contrário, elas devem ser éticas, transparentes e precisam se preocupar com diversos fatores que fazem parte de seu ambiente externo como, por exemplo, o bem-estar da sociedade. Uma organização socialmente responsável é aquela que desempenha as seguintes obrigações, EXCETO:
Provas
Questão presente nas seguintes provas
A classificação orçamentária das despesas é apresentada como Institucional e Funcional. A Classificação Institucional agrupa as despesas conforme as instituições autorizadas a realizá-las, relacionando os órgãos da administração pública direta ou indireta responsáveis pela dotação aprovada. Como vantagem dessa classificação, é INCORRETO afirmar que:
Provas
Questão presente nas seguintes provas
Mesmo nos processos de avaliação mais simples, sabemos que para tomar determinadas decisões faz-se necessário que alguns critérios e princípios sejam considerados seriamente. Na escola, na maioria das vezes, a tomada de decisão fica sob a responsabilidade dos professores e/ou do conselho de classe. Isso faz com que o peso da avaliação fique redobrado e coloca o professor no lugar daquele que deve realizar tal tarefa a partir de critérios previamente estabelecidos, de preferência, coletivamente. Nesse sentido, a avaliação é uma atividade que envolve
Provas
Questão presente nas seguintes provas
Um dos temas mais abordados no âmbito das relações humanas, principalmente dentro de ambientes corporativos, é a motivação. Para lidar adequadamente com este tema, requer-se, antes de qualquer outro fator, a identificação de quem está motivado e de quem não está, uma espécie de “régua” própria para aferir o nível motivacional daqueles que convivem cotidianamente no ambiente da organização. Para tanto, a observação do comportamento manifestado pelas pessoas constitui, na maioria dos casos, o único meio disponível para esta aferição. Desta forma, qual o tipo de comportamento, após uma análise da expressão corporal cuidadosamente aplicada, pode apontar sinais de desmotivação em um profissional?
Provas
Questão presente nas seguintes provas
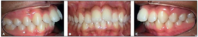
Observe as imagens a seguir.

(Janson et al, 2013.)
Considerando que as fotos são do mesmo indivíduo, é correto afirmar que apresentam uma
Provas
Questão presente nas seguintes provas
Qual é a altura mínima ao ser utilizado um biombo dentro da sala de exames no qual o técnico comanda o exame?
Provas
Questão presente nas seguintes provas
“Apresentada como um construto multidimensional formado por: exaustão emocional, despersonalização (ou cinismo) e diminuição da realização pessoal.” Trata-se de:
Provas
Questão presente nas seguintes provas
Relacione adequadamente as colunas a seguir.
1. Fratura coronária não complicada.
2. Fratura coronária complicada.
3. Fratura radicular.
4. Luxação extrusiva.
5. Avulsão.
2. Fratura coronária complicada.
3. Fratura radicular.
4. Luxação extrusiva.
5. Avulsão.
( ) Deslocamento total do dente do seu alvéolo.
( ) Fratura de esmalte e dentina.
( ) Fratura envolvendo cemento, dentina e polpa.
( ) Deslocamento parcial do dente do seu alvéolo.
( ) Fratura de esmalte, dentina e envolvimento pulpar.
( ) Fratura de esmalte e dentina.
( ) Fratura envolvendo cemento, dentina e polpa.
( ) Deslocamento parcial do dente do seu alvéolo.
( ) Fratura de esmalte, dentina e envolvimento pulpar.
A sequência está correta em
Provas
Questão presente nas seguintes provas
Marco é funcionário de uma empresa que trabalha com consultorias relacionadas a finanças, o que significa que ele precisa de um conhecimento sólido em matemática básica para manter seu cargo nesta empresa. Em um determinado dia, o chefe de Marco lhe ofereceu um aumento salarial em forma de um teste, no qual Marco poderia escolher entre três reajustes:
1. aumento de !$ 30 \% !$
2. aumento de !$ \sqrt{ 16 \%} !$
2. aumento de !$ \sqrt{ 16 \%} !$
3. aumento de !$ ( 50 \%)^2 !$
Colocando-se tais valores em ordem crescente, tem-se a seguinte organização:
Provas
Questão presente nas seguintes provas
Estradas para a perdição?
Numa época em que quase todo mundo carrega um GPS facílimo de operar no bolso ou na bolsa, imagens de satélite nunca foram tão banais. Dois toques na tela do celular são suficientes para que o sujeito consiga examinar uma representação mais ou menos realista e atualizada da Terra vista do espaço.
Mesmo assim, uma forma inovadora de enxergar o nosso planeta, bolada por uma equipe internacional de cientistas, é capaz de deixar surpreso – e cabreiro – quem ainda tem um pouco de imaginação. O trabalho revela um globo retalhado por estradas, um “bolo planetário” cortado em 600 mil pedacinhos.
Note, aliás, que essa estimativa do número de fatias separadas pela ação humana provavelmente é conservadora – ainda faltam dados a respeito de certas áreas, o que significa que o impacto global das estradas deve ser ainda maior. De qualquer jeito, se você achava que a Terra ainda está repleta de vastas áreas intocadas pela nossa espécie, pense de novo.
A pesquisa, que acaba de sair na revista “Science”, indica que mais da metade dos pedaços de chão não atravessados por estradas têm área de menos de 1 km², e 80% desses trechos medem menos de 5 km² de área. Grandes áreas contínuas (com mais de 100 km²), sem brechas abertas especificamente para o tráfego humano, são apenas 7% do total.
E daí? Decerto uma estradinha passando nas vizinhas não faz tão mal assim, faz? Muito pelo contrário, indica a literatura científica avaliada pela equipe do estudo, que inclui a brasileira Mariana Vale, do Departamento de Ecologia da UFRJ.
Para calcular as fatias em que o planeta foi picado, Mariana e seus colegas utilizaram como critério uma distância de pelo menos 1 km da estrada mais próxima – isso porque distâncias iguais ou inferiores a 1 km estão ligadas a uma série de efeitos negativos das estradas sobre os ambientes naturais que cortam.
Estradas são, é claro, vias de acesso para caçadores e gente munida de motosserras; trazem poluentes dos carros e caminhões para as matas e os rios; além de trazer gente, trazem espécies invasoras (não nativas da região) que muitas vezes deixam as criaturas nativas em maus lençóis. Considere ainda que estradas, em certo sentido, dão cria: a abertura de uma rodovia em regiões como a Amazônia quase inevitavelmente estimula a abertura de ramais secundários, dos quais nascem outras picadas, num processo que vai capilarizando a devastação. [...]
(Reinaldo José Lopes. Folha de S. Paulo. 18 de dezembro de 2016.)
A locução empregada para introduzir o 2º§ estabelece, em relação ao parágrafo anterior, um sentido que seria preservado havendo substituição da mesma por:
Provas
Questão presente nas seguintes provas
Cadernos
Caderno Container