Foram encontradas 80 questões.
Homem, 21 anos, encaminhado para investigação por apresentar tosse, dispneia, febre nas últimas duas semanas, mal estar geral e sudorese noturna. Nega antecedentes mórbidos. Exame físico: emagrecido, adenomegalia em cadeia cervical anterior direita. Realizada biopsia de linfonodo: presença de células de Reed-Sternberg, com positividade para CD15 e CD30.
Considerando a hipótese de Linfoma de Hodgkin, a forma mais comum é:
Provas
Homem, 63 anos, comparece a unidade de emergência apresentando dispneia progressiva e, em repouso, há dois dias. Há um mês percebeu edema de membros inferiores e ganho de peso. Antecedentes pessoais: hipertensão arterial de difícil controle e doença renal crônica. Há dois meses, ao esquema inicial de clonidina, atenolol e hidroclorotiazida, foi associado minoxidil 10 mg/dia. Exame físico: PA 92/64 mmHg, FC 112 bpm, FR 28 irpm, saturação O2 91% (ar ambiente). Pulso paradoxal. Turgência jugular bilateral a 45º. Ausculta cardiopulmonar: estertores finos em bases. Bulhas rítmicas hipofonéticas. Ausência de atrito pericárdico. Edema de membros inferiores (+++/4) até raiz de coxa. Exames laboratoriais: ureia 156 mg/dL; creatinina 3,6 mg/dL; potássio 5 mEq/L; HCO3 19mmol/l.
A hipótese diagnóstica e a etiologia para o quadro atual do paciente são:
Provas
Mulher, 58 anos, submetida a tireoidectomia total por carcinoma papilífero de tireoide há oito meses. No pós-operatório imediato apresentou quadro de tetania, revertido. Atualmente assintomática. Medicações de uso crônico: carbonato de cálcio, levotiroxina e calcitriol. Exame físico normal. Exames laboratoriais: Cálcio 9,6 mg/dL; fósforo 4,6 mg/dL; creatinina 0,9mg/dL; magnésio 2,5 mg/dL; PTH <10 pg/mL.
O exame laboratorial necessário no acompanhamento ambulatorial é:
Provas
Mulher, 62 anos, procura unidade de emergência referendo que há três semanas apresenta dispneia, ortopneia, dor precordial difusa, moderada, sem relação com esforço e tosse seca. Nega febre ou edema de membros inferiores. Antecedentes pessoais: carcinoma ductal invasivo estádio II em mama direita há 3 anos. Perfil imunohistoquímica: receptor de estrógeno e progestágeno negativos e humam epidermal growth factor receptor 2-positivo. Recebeu quimioterapia neoadjuvante com docetaxel, carboplatina, e trastuzumabe, seguida de cirurgia e radioterapia. Desde então sem seguimento da neoplasia. Exame físico: PA 82/50 mmHg; FC 120 bpm, estase jugular e auscultacardíaca com bulhas abafadas. Eletrocardiograma abaixo:

A hipótese diagnóstica é:
Provas
Homem, 28 anos, deu entrada em unidade de emergência com história de ter sido ferroado por abelha há 10 minutos. Relata ter sido ferroado antes, mas sem reação. Reside em zona rural. Exame físico: FC 120 bpm, PA178/90mmHg (pressão habitual do paciente 110/70 mmHg), muito ansioso, tegumento com lesões eritematosas pruriginosas em tronco e ambos membros superiores, edema de face. Presença de ferrão da abelha em região posterior de pescoço. Ausculta pulmonar sem ruídos adventícios. Após 5 minutos em observação, relata que sua língua está grossa, tem coceira na palma da mão, está meio zonzo e com a vista turva. PA 90/42 mmHg.
Frente ao diagnostico de anafilaxia ao veneno de abelha, a conduta é:
Provas
Homem, 65 anos, é trazido à Emergência pelo SAMU por quadro de afasia, hemianopsia homônima D, hemiplegia e hemi-hipoestesia D há 1 hora. Antecedente pessoais: acidente vascular cerebral (AVC) há quatro anos, sem sequelas. Fibrilação atrial crônica em uso de varfarina. Exame físico: PA 154/112 mmHg, NHISS 21. Exames laboratoriais: glicemia 108 mg/dL; INR 2,8. Tomografia computadorizada de crânio: ausência de sangramentos, escore Aspects 9. A contraindicação para trombólise endovenosa, neste caso é:
Provas
Homem, 42 anos, refere dispneia aos esforços há cinco meses, com sensação de opressão no tórax há uma semana. Nega tosse, expectoração ou chiado. Nega tabagismo. Exame físico: PS 120/79 mmHg; FC 86 bpm; saturação de O2 (ar ambiente) 91%. Ausculta cardíaca: hierfonese e desdobramento de segunda bulha em foco pulmonar. Turgência jugular bilateral. Pulmões limpo. Exames laboratoriais: hemoglobina 12,2 g/dL; leucocitos 8.500/mm³ plaquetas 152.000/mm³. Radiograma de toráx:

O exame indicado para iniciar a investigação da dispneia desta paciente é:
Provas
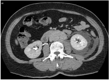
Mulher, 45 anos, apresenta dor abdominal progressiva há 4 meses e edema de membros inferiores há três semanas. Antecedentes pessoais: tireoidectomia por bócio há 6 anos. Anatomopatológico tireoide: fibrose extensa. Medicamentos em uso: levotiroxina 75mcg/dia. Exame físico: PA 152/99mmHg, FC 92 bpm, edema (2+/4) de membros inferiores. Ausculta cardiopulmonar normal. Exames laboratoriais: creatinina 2,4mg/dL; exame de urina: proteína ausente, hemácias 4/campo, leucócitos 12/campo. Tomografia computadorizada de abdome:
Imagem abaixo.

A hipótese diagnóstica e conduta são:
Provas
Homem, 45 anos, comparece em consulta de rotina, assintomático. Antecedentes pessoais: diabete melito tipo 1 desde os 27 anos, em uso de insulina basal/bolo. Fototerapia em ambos os olhos. Exames laboratoriais: hemoglobina glicada 7,6%; Colesterol total 210mg/dL; HDL52mg/dL; LDL137mg/dL; VLDL21mg/dL; NHDL 128mg/dL; triglicérides 118mg/dL; creatina 1,1mg/dL; relação albumina/creatinina urinária 65 mg/g. Realizada mdeida do ITB= 0,7.
A conduta para reduzir risco cardiovascular é:
Provas
Mulher, 26 anos, adquiriu o hábito de provocar vômitos após as refeições para não engordar. Após os vômitos, tem muita sede e toma água, “porque água não engorda”.
As alterações laboratoriais esperadas são
Provas
Caderno Container