Foram encontradas 949 questões.
2291066
Ano: 2015
Disciplina: Engenharia Elétrica
Banca: VUNESP
Orgão: Pref. São José Campos-SP
Disciplina: Engenharia Elétrica
Banca: VUNESP
Orgão: Pref. São José Campos-SP
Provas:
Acerca das lâmpadas elétricas, assinale a alternativa correta.
Provas
Questão presente nas seguintes provas
No arcabouço jurídico normativo que contém as disposições sobre a saúde do trabalhador no SUS – Sistema Único de Saúde,
Provas
Questão presente nas seguintes provas
A primeira imagem cartográfica de uma região, obtida por meio da montagem por superposição de fotografias em escala reduzida, utilizada como insumo para controle de qualidade de aerolevantamentos utilizados na produção de cartas, é denominada
Provas
Questão presente nas seguintes provas
2291055
Ano: 2015
Disciplina: Segurança e Saúde no Trabalho (SST)
Banca: VUNESP
Orgão: Pref. São José Campos-SP
Disciplina: Segurança e Saúde no Trabalho (SST)
Banca: VUNESP
Orgão: Pref. São José Campos-SP
Entre as possibilidades de intervenção no ambiente de trabalho, para prevenção e controle da exposição ocupacional aos agentes ambientais, tem-se a ventilação, que
Provas
Questão presente nas seguintes provas
As dosagens das atividades séricas da alanina aminotransferase (ALT) e da aspartato aminotransferase (AST) empregadas para o diagnóstico de doenças hepatobiliares apoiam-se no princípio de
Provas
Questão presente nas seguintes provas
A ação do terapeuta ocupacional junto a crianças com deficiência intelectual e/ou transtornos invasivos do desenvolvimento no contexto escolar deve se pautar
Provas
Questão presente nas seguintes provas
De acordo com Philippi (2014), a Técnica Dietética é a sistematização e o estudo dos procedimentos para tornar possível a plena utilização dos alimentos. Sobre os objetivos de Técnica Dietética, pode-se afirmar que
Provas
Questão presente nas seguintes provas
Com a intenção de inovar na oferta de experiências esportivas na cidade e compor um espaço único onde os jovens possam se encontrar para aprimorar habilidades técnicas, jogar, dançar, torcer, ver moda e criar comportamento, uma prefeitura municipal organizou competições de basquete 3 X 3.
De acordo com a Confederação Brasileira de Basquetebol, o basquete 3 X 3 é uma modalidade jogada em espaços
Provas
Questão presente nas seguintes provas
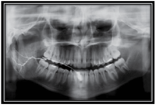
Observe a figura a seguir e responda à questão.

Na imagem a(s) estrutura(s) evidenciada(s) é(são) de
Provas
Questão presente nas seguintes provas
Leia o texto a seguir para responder à questão.
Faz diferença beber aos 17 ou aos 18 anos?
A venda de bebida alcoólica para menores pode deixar de ser uma contravenção penal para se tornar crime. Mas, afinal de contas, faz tanta diferença assim deixar alguém beber antes ou depois dos 18 anos?
Em termos fisiológicos, as diferenças entre um garoto de 17 e um de 18 anos são sutis e podem variar bastante entre as populações. Mas está claro que, quanto mais jovem for o indivíduo, mais exposto ele estará aos riscos do consumo de álcool.
O cérebro só se forma completamente no fim da adolescência. E substâncias químicas como o álcool e as drogas podem afetar de forma mais acentuada as vias neurais em desenvolvimento.
Por outro lado, muitos jovens são mais imunes aos efeitos tóxicos da bebida – você já deve ter reparado que a ressaca parece piorar com a idade. Assim, existe uma tendência a consumir quantidades maiores, o que aumenta o risco da dependência.
É pouco provável que criminalizar a venda de álcool para menores faça com que os adolescentes deixem de beber. Apesar de provocar danos cognitivos, acidentes graves e causar vício, essa é a substância à qual eles ainda têm maior acesso.
A questão é que ainda prevalece, no país, uma cultura de que não tem nada de mais um garoto de 15 ou 16 anos tomar cerveja ou vinho no almoço de família. Para alguns pais, é até sinal de virilidade.
Essa noção é que pode, sim, ser modificada com regras mais claras para a venda e consumo de bebida. Isso não se modifica da noite para o dia, mas pode fazer a diferença no futuro, da mesma forma que ninguém mais, hoje, ousa acender um cigarro na sala de aula.
(http://doutorjairo.blogosfera.uol.com.br/2015/02/25/faz-diferenca-beber-aos-17-ou-aos-18-anos. Acessado em 26.02.2015)
Assinale a alternativa em que a frase está correta do ponto de vista da regência nominal e da concordância verbal.
Provas
Questão presente nas seguintes provas
Cadernos
Caderno Container