Foram encontradas 539 questões.
O processo saúde-doença é uma expressão usada para fazer referência a todas as variáveis que envolvem a saúde e a doença de um indivíduo ou população e considera que ambas estão interligadas e são consequência dos mesmos fatores.
O que é um determinante comportamental da saúde?
Provas
Questão presente nas seguintes provas
Infecções relacionadas a procedimentos hospitalares são
aquelas que ocorrem como resultado de intervenções
médicas invasivas ou procedimentos realizados durante a
estadia de um paciente em uma instituição de saúde. As
infecções relacionadas aos procedimentos hospitalares
constituem mais um problema de saúde pública causando
aumento da morbidade, mortalidade e custos
assistenciais. Sobre os produtos usados na desinfecção de
artigos e superfícies nos diversos estabelecimentos de
saúde, assinale com V as afirmativas verdadeiras e com F
as falsas.
( ) Álcoois e derivados: são exemplos desta classe o álcool etílico e o álcool isopropílico. O álcool etílico na concentração de 70% é muito conhecido pela sua rápida ação bactericida. Também o álcool gel é frequentemente produzido na farmácia hospitalar.
( ) Clorexidina: a clorexidina é um dos melhores produtos antissépticos para aplicar em tecidos orgânicos, com ação em bactérias gram-positivas e gram-negativas. Alguns exemplos de formulações são clorexidina degermante 2%, clorexidina aquosa 0,2% e clorexidina solução alcoólica 0,5%.
( ) Derivados do iodo: os compostos iodados têm uma função predominantemente antisséptica, embora também sejam utilizados como desinfetantes de materiais médicos. São exemplos desta classe a tintura de iodo e o álcool iodado, mais conhecido como lugol.
Assinale a sequência correta:
( ) Álcoois e derivados: são exemplos desta classe o álcool etílico e o álcool isopropílico. O álcool etílico na concentração de 70% é muito conhecido pela sua rápida ação bactericida. Também o álcool gel é frequentemente produzido na farmácia hospitalar.
( ) Clorexidina: a clorexidina é um dos melhores produtos antissépticos para aplicar em tecidos orgânicos, com ação em bactérias gram-positivas e gram-negativas. Alguns exemplos de formulações são clorexidina degermante 2%, clorexidina aquosa 0,2% e clorexidina solução alcoólica 0,5%.
( ) Derivados do iodo: os compostos iodados têm uma função predominantemente antisséptica, embora também sejam utilizados como desinfetantes de materiais médicos. São exemplos desta classe a tintura de iodo e o álcool iodado, mais conhecido como lugol.
Assinale a sequência correta:
Provas
Questão presente nas seguintes provas
Paciente do sexo masculino, 67 anos, comparece ao
consultório odontológico queixando-se de dor na região do
dente 48. À anamnese, paciente relata dor pulsátil,
intermitente, espontânea e com início há 5 dias. Também
relata hipertensão arterial e utilização de anti-hipertensivo,
apesar da ausência de acompanhamento médico
cardiológico há pelo menos 2 anos. Ao exame clínico, notase que o dente 48 é pilar de uma prótese parcial removível
satisfatória, possui uma pequena lesão cariosa na
superfície oclusal, teste de sensibilidade pulpar positivo,
teste de percussão vertical com sintomatologia dolorosa e
ausência de mobilidade. Ao exame radiográfico, observase cárie profunda, de pequeno diâmetro, e discreto
espessamento do espaço do ligamento periodontal nas
raízes do 48. À aferição de pressão, paciente apresentou
valores de 180/120 mmHg. De acordo com essas
informações, qual seria a correta conduta imediata do
cirurgião-dentista?
Provas
Questão presente nas seguintes provas
Os direitos sociais e o serviço social são indissociados
para o enfrentamento das expressões da questão social na
realidade social brasileira. Entretanto, estes possuem
limitações, em especial, quando revelam que a
desigualdade social e a pobreza são imanentes as
relações sociais de produção capitalista, que incidem nas
condições gerais de vida da classe trabalhadora com o
aprofundamento da desigualdade social. Neste sentido, a
partir das reflexões mobilizadas por (BEHRING; SANTOS,
2009) e (GUERRA, 2011), atribua V para a(s) afirmativa(s)
verdadeira(s) e F para a(s) falsa(s):
( ) Quando os direitos são conquistados e regulados na forma da lei, tem-se a superação da desigualdade social e das formas de opressão vigentes na vida cotidiana.
( ) O que se põe no Brasil é a necessidade do reconhecimento legal-positivo dos direitos, condição que garante a efetivação dos mesmos.
( ) A questão social expressa a fragilidade dos direitos individuais civis e políticos e de uma concepção de direito natural, de caráter universalizante.
( ) O discurso do direito na sociedade burguesa tem sido um instrumento de regulação que participa das estratégias de controle do Estado sobre a classe trabalhadora.
( ) Pode-se se dizer que é preciso reconhecer o limite do direito na sociedade de classes, e, ao mesmo tempo, e contraditoriamente, buscar a sua universalização.
Assinale a sequência CORRETA:
( ) Quando os direitos são conquistados e regulados na forma da lei, tem-se a superação da desigualdade social e das formas de opressão vigentes na vida cotidiana.
( ) O que se põe no Brasil é a necessidade do reconhecimento legal-positivo dos direitos, condição que garante a efetivação dos mesmos.
( ) A questão social expressa a fragilidade dos direitos individuais civis e políticos e de uma concepção de direito natural, de caráter universalizante.
( ) O discurso do direito na sociedade burguesa tem sido um instrumento de regulação que participa das estratégias de controle do Estado sobre a classe trabalhadora.
( ) Pode-se se dizer que é preciso reconhecer o limite do direito na sociedade de classes, e, ao mesmo tempo, e contraditoriamente, buscar a sua universalização.
Assinale a sequência CORRETA:
Provas
Questão presente nas seguintes provas
Sabe-se que o Serviço Social brasileiro tem uma
perspectiva teórico-metodológica e ético-política vinculada
a valores, indiscutivelmente, democráticos que reconhece
a liberdade como valor central e reafirma a defesa
intransigente dos direitos humanos e recusa do arbítrio e
do autoritarismo. Essa perspectiva da categoria
profissional é decorrência:
Provas
Questão presente nas seguintes provas
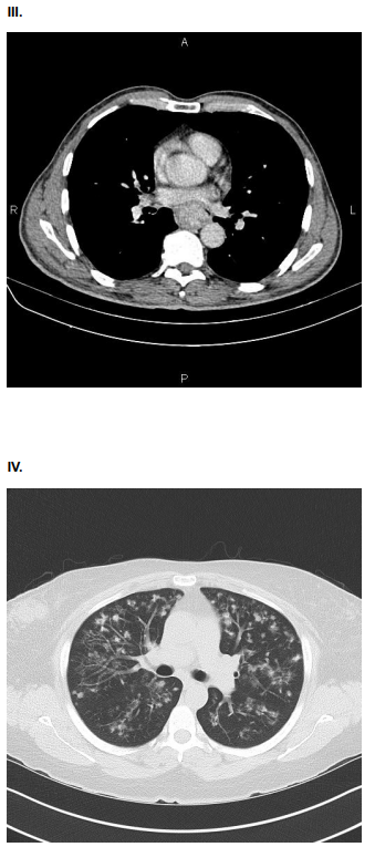
AMV, 75 anos, tabagista, com queixa de dor torácica
súbito, do tipo lancinante. Ao exame físico: Regular estado
geral. ACV: RCR em 2T, pulsos radiais assimétricos. PA:
150x80 mmHg. FC 110. Sat O2 90%. Solicitado ECG e
Tomografia de Tórax e Abdome com contraste.
Assinale a alternativa que contenha o achado compatível com o quadro clínico da paciente.
Assinale a alternativa que contenha o achado compatível com o quadro clínico da paciente.
Provas
Questão presente nas seguintes provas
A amamentação é considerada uma das maneiras mais
eficientes de proporcionar aporte nutricional, imunológico
e psicológico a uma criança em seu primeiro ano de vida.
Assinale a alternativa correta:
Provas
Questão presente nas seguintes provas
Para uma coleta adequada dos exames de sangue, deve-se obedecer a uma ordem correta dos tubos, evitando
contaminação e alteração dos resultados obtidos. Os
principais tubos para a coleta são os seguintes:
I – Tubo de EDTA, com tampa roxa.
II – Tubo de heparina, com tampa verde.
III – Tubo de citrato de sódio, com tampa azul.
IV – Frasco para hemocultura.
V – Tubo com ativador de coágulo, com ou sem gel, para obtenção de soro, com tampa amarela ou vermelha.
VI – Tubo de fluoreto/EDTA, com tampa cinza.
Qual a ordem correta de coleta para amostras adequadas?
I – Tubo de EDTA, com tampa roxa.
II – Tubo de heparina, com tampa verde.
III – Tubo de citrato de sódio, com tampa azul.
IV – Frasco para hemocultura.
V – Tubo com ativador de coágulo, com ou sem gel, para obtenção de soro, com tampa amarela ou vermelha.
VI – Tubo de fluoreto/EDTA, com tampa cinza.
Qual a ordem correta de coleta para amostras adequadas?
Provas
Questão presente nas seguintes provas
Leia o texto a seguir para responder à questão..
Crianças mimadas ou sem educação?
Recentemente, durante uma viagem ao Chile, me
deparei com uma situação que me fez refletir sobre as
diferenças geracionais. Uma criança, aparentemente com
cerca de 12 anos, agiu de forma bastante desrespeitosa
com seus pais durante o voo, o que me fez lembrar de
outras ocasiões semelhantes que já testemunhei. O
comportamento dessa criança foi marcado por gritos,
exigências e uma atitude que parecia considerar seus pais
como servos, a ponto de a aeromoça intervir para pedir que
a controlassem. Ao longo do voo, esse padrão de
comportamento persistiu, com a criança impondo suas
vontades e os pais cedendo a suas demandas após uma
série de gritos, lágrimas e chantagem emocional.
[...]
Se a resiliência é uma competência e habilidade
altamente valorizada pelas empresas, como essa criança
lidará com situações em que receber um "não" de seu líder
ou quando perder o controle da situação? É evidente que
a falta de resiliência muitas vezes está associada a um
baixo controle emocional.
Talvez essa criança se torne o próximo chefe
narcisista ou tóxico a adentrar as empresas. No entanto, é
importante ressaltar que profissionais com esse perfil têm
uma vida útil cada vez mais curta nas organizações
atualmente, o que levanta questões sobre sua viabilidade
a longo prazo.
Neste cenário, os pais desempenham um papel
fundamental, sendo em sua maioria os responsáveis por
moldar esse contexto. Vivemos numa época em que a
presença da babá tem ganhado uma importância
desproporcional na criação e educação das crianças, enquanto a participação dos pais nos ensinamentos sobre
respeito e outras questões básicas das relações humanas
é limitada, muitas vezes devido ao foco em suas carreiras
ou outros compromissos.
(Fonte: https://www.terra.com.br/economia/geracao-z-queesta-nas-empresas-e-mais-fragil-do-que-seimagina,48f07a3c003cb8d08f8b94bb9ed26f26tiz67kaj.html)
“O comportamento dessa criança foi marcado por gritos, exigências e uma atitude que parecia considerar seus pais como servos, a ponto de a aeromoça intervir para pedir que a controlassem.”
Assinale a alternativa em que a forma do verbo destacado no trecho foi usada em desacordo com as normas prescritas pela gramática padrão da língua portuguesa.
Provas
Questão presente nas seguintes provas
Cadernos
Caderno Container