Foram encontradas 30 questões.
Em relação aos tumores do trato digestivo assinale a
alternativa INCORRETA.
Provas
Questão presente nas seguintes provas
Paciente sexo feminino, 58 anos, comparece a UBS para
reavaliação com queixa de fadiga e hiporexia, relata ter
realizado tratamento para reumatismo, porém, o
interrompeu há cerca de 2 anos. Apresenta quadro de dor
crônica em mãos, com rigidez matinal durando cerca de 1
hora, evoluindo com cervicalgia. Ao Exame físico:
hiperextensão interfalângica proximal com flexão das
interfalângicas distais em 2° e 3° quirodáctilos. Exames
laboratoriais: Proteína C Reativa: 50mg/dL, VHS 45mm/H,
Anti-CCP 68,0. Anti-Hbs reagente, HbsAg: negativo, AntiHCV: negativo. Anti-HIV 1 e 2 Negativo. Ácido úrico:
5,4mg/dL. Em relação às complicações do quadro clínico
assinale a alternativa correta:
Provas
Questão presente nas seguintes provas
De acordo com a PNAB 2436 de 21/09/2017 assinale a
alternativa correta:
Provas
Questão presente nas seguintes provas
Paciente sexo masculino, 45 anos, dá entrada no Pronto
Socorro com episódio de hematêmese. Ao exame físico:
Regular estado geral, consciente, vígil, orientado,
anictérico, acianótico, afebril. PA: 90 x 65 mmHg, FC: 85
bpm. Sat O2 96% em ar ambiente. Abdome: plano, sem
visceromegalias, indolor a palpação, descompressão
brusca negativa. Demais sistemas: NDN. Sem estigmas de
hepatopatia. Hematimetria a admissão: Hb 8,5 g/dL,
Hematócrito: 29,5%, Plaquetas 158.000. Assinale a
conduta INADEQUADA:
Provas
Questão presente nas seguintes provas
Juan, 13 anos, vem a UBS acompanhado do pai
solicitando atestado de saúde para participar dos jogos
estudantis. Nega antecedentes cardiovasculares, nega
comorbidades e nega uso de medicações. Assinale a
alternativa mais adequada de acordo com o
posicionamento da SBC/SBME:
Provas
Questão presente nas seguintes provas
Paciente, sexo masculino, 60 anos, hipertenso em uso de
Sacubitril/valsartana, clortalidona e anlodipino. Em
seguimento com nutrólogo e nutricionista para
manutenção do peso, atualmente pesando 70kg.
Apresenta-se na consulta preocupado pois seu exame
periódico apresentou alteração: Glicemia jejum 97,
Colesterol total: 195 mg/dL. LDL: 120mg/dL. Triglicérides:
350 mg/dL. Creatinina: 2,0 mg/dL. Nega doença
aterosclerótica e Diabetes Mellitus. Ao exame físico: bom
estado geral, eutrofico, anictérico. PA: 110x60 mmHg, FC:
80bpm. Assinale a alternativa com a conduta adequada.
Provas
Questão presente nas seguintes provas
Paciente, sexo feminino, 55 anos, cozinheira. Encontravase em tratamento para lombalgia, no qual fazia uso de
“coquetéis” mensais aplicados na farmácia de seu bairro.
Informa que devido a estar em dupla jornada a queixa de
lombalgia piorou pois há cerca de 1 mês não conseguiu ir
a farmácia para tomar o coquetel. Evoluindo com astenia e
adinamia nas últimas semanas. Expressa a preocupação
de suas filhas com o fato dela estar alimentando-se de
comida muito salgada. No presente dia comparece ao
Pronto Atendimento com relatando quadro febril há 1 dia,
evoluindo com piora o mal-estar geral. Apresenta-se na
unidade de pronto atendimento com quadro de náuseas,
vômitos e episódio de síncope. Em relação ao caso clínico
assinale a alternativa correta:
Provas
Questão presente nas seguintes provas
Na atenção básica o médico da família se depara com
pacientes comórbidos que requerem cuidados paliativos.
De acordo com o Manual de Cuidados Paliativos do
PROADI-SUS, assinale a alternativa correta:
Provas
Questão presente nas seguintes provas
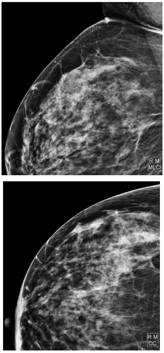
RMC, 58 anos, assintomática, comparece a unidade com
resultado de mamografia de screening realizada há cerca
de 3 meses. Relata que exames não possuem laudos pois
os perdeu em uma enchente. Considerando as imagens,
assinale a conduta mais adequada:


Provas
Questão presente nas seguintes provas
ACM, 30 anos, comparece a unidade com quadro diarreico
associado a produtos patológicos, relata início dos
sintomas há cerca de 7 dias. Queixa-se de dor abdominal
de moderada intensidade. Ao exame físico: REG,
desidratado ++/4+, corado, ictérico ++/4+, acianótico.
Presença manchas do tipo máculas em tronco. Com
relação ao caso clínico, assinale a alternativa incorreta:
Provas
Questão presente nas seguintes provas
Cadernos
Caderno Container