Foram encontradas 1.710 questões.
Disciplina: Medicina
Banca: GUALIMP
Orgão: Pref. Comendador Levy Gasparian-RJ
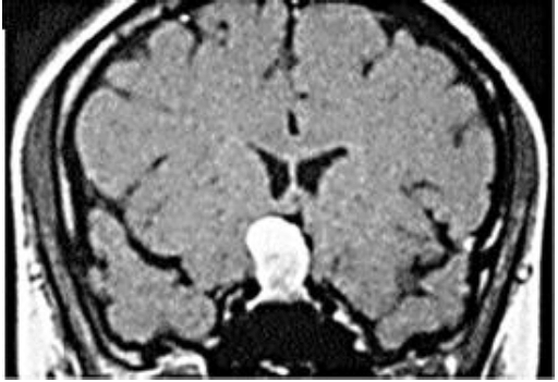
Observe a ressonância magnética, abaixo:

A imagem acima indica Cisto da bolsa de Rathke - RM com uso de gadolíneo, corte coronal. Observa-se massa hiperintensa, em T1 de crescimento:
Provas
Disciplina: Medicina
Banca: GUALIMP
Orgão: Pref. Comendador Levy Gasparian-RJ
O Adenoma Hipofisário Cístico pode ter como localização anatômica:
Provas
Disciplina: Medicina
Banca: GUALIMP
Orgão: Pref. Comendador Levy Gasparian-RJ
Adipsia, em casos de lesões hipotalâmicas, se enquadra como:
Provas
Disciplina: Medicina
Banca: GUALIMP
Orgão: Pref. Comendador Levy Gasparian-RJ
Aumento de peso, principalmente, com aumento da gordura, na face e no tronco, mas com membros finos, pele fina com estrias largas e violáceas e hematomas. Diabetes mellitus e hipertensão arterial de difícil controle também são comuns, nesta síndrome. Trata-se da Doença de:
Provas
Disciplina: Direito Administrativo
Banca: GUALIMP
Orgão: Pref. Comendador Levy Gasparian-RJ
As licitações para a execução de obras e para a prestação de serviços obedecerão ao disposto no artigo 7º da Lei nº 8.666 e, em particular, à seguinte sequência:
I. Projeto básico.
II. Projeto executivo.
III. Execução das obras e serviços.
Dos itens acima:
Provas
Disciplina: Enfermagem
Banca: GUALIMP
Orgão: Pref. Comendador Levy Gasparian-RJ
São características da Sífilis Secundária, exceto:
Provas
Disciplina: Matemática
Banca: GUALIMP
Orgão: Pref. Comendador Levy Gasparian-RJ
Um professor escreveu as letras A, B, C, D e E no quadro e disse para os alunos que cada letra representava um número diferente, dentre os valores 1, 2, 3, 4 e 5 (não necessariamente nessa ordem). Depois fez as seguintes afirmações:
!$ A + B + D = 6 !$ e !$ A + E = 8 !$
Qual é o valor da letra C?
Provas
Na figura abaixo foram representados três conjuntos A, B e C.

O conjunto que representa a região sombreada da figura é:
Provas
Disciplina: Ética e Regulação Profissional
Banca: GUALIMP
Orgão: Pref. Comendador Levy Gasparian-RJ
- Fisioterapia e Terapia OcupacionalCOFFITOResolução COFFITO 423/2013: Código de Processo Ético-Disciplinar
De acordo com o código de ética profissional, é PROIBIDO ao terapeuta ocupacional:
Provas
Disciplina: Terapia Ocupacional
Banca: GUALIMP
Orgão: Pref. Comendador Levy Gasparian-RJ
Na compreensão do terapeuta ocupacional, o desempenho ocupacional ocorre dentro de um ambiente físico e social, situado, em um contexto. Analise, as afirmações e assinale a alternativa correta de acordo com os ambientes citados:
Provas
Caderno Container