Foram encontradas 60 questões.
Sobre declínio cognitivo subjetivo, comprometimento cognitivo leve e demências, assinale a alternativa correta.
Provas
A Norma Operacional de Controle Disciplinar da Empresa Brasileira de Serviços Hospitalares (EBSERH) tem como objetivo estabelecer os procedimentos relativos à apuração de possível irregularidade. De acordo com a mencionada norma operacional, assinale a alternativa que apresenta uma circunstância atenuante:
Provas
Segundo o Regulamento de Pessoal da EBSERH, licença é o afastamento de empregado do serviço ativo assegurado por lei ou autorizado pela Empresa. Sobre o assunto, assinale a alternativa que apresenta corretamente a modalidade e prazo da licença prevista do regulamento.
Provas
De acordo com o Estatuto Social da Empresa Brasileira de Serviços Hospitalares (EBSERH), assinale a alternativa que apresenta incorretamente um dos objetos sociais da EBSERH.
Provas
A sonolência diurna excessiva (SDE) é um problema comum que é importante reconhecer e resolver. As etapas iniciais do tratamento são geralmente simples e apenas os casos mais avançados exigem encaminhamento para um subespecialista. Sobre a SDE, analise as afirmativas abaixo.
I. A pontuação na escala de sonolência de Epworth acima de 10 sugere sonolência significante.
II. O exame de neuroimagem deve ser pedido em toda investigação de SDE.
III. A presença de cataplexia pode sugerir o diagnóstico de narcolepsia.
IV. O uso da cafeína ao final da tarde é indicado.
Assinale a alternativa correta.
Provas
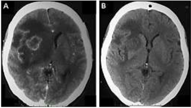
Paciente 44 anos, com perda de peso há 2 meses, em investigação de cefaleia, sonolência e crise convulsiva. Caso apresentasse essa imagem (imagem), assinale a alternativa que apresenta qual seria o diagnóstico e conduta adequadas.

Ressonância magnética de crânio
Provas
As ataxias cerebelares autossômicas recessivas são um grupo de doenças pouco conhecidas e frequentemente negligenciadas. Dentre as ataxias cerebelares autonômicas recessivas descritas abaixo, assinale a alternativa que apresenta a que cursa com atrofia cerebelar.
Provas
A neuropatia motora multifocal (NMM) é uma neuropatia inflamatória de baixa prevalência (0,6/100.000 pacientes), caracterizada por uma fraqueza muscular progressiva, assimétrica e distal, sem comprometimento sensitivo. Em relação ao diagnóstico, assinale a alternativa correta.
Provas
A monitorização da pressão intracraniana através da aferição do diâmetro da bainha nervo óptico tem sido cada vez mais utilizada pela acessibilidade do ultrassom e por ser um método não invasivo. Assinale a alternativa que apresenta a melhor descrição do método de aferição.
Provas
A meningoencefalite criptocócica é causada por fungos do gênero Cryptococcus, podendo infectar indivíduos imunossuprimidos e imunocompetentes. Sobre essa infecção do sistema nervoso central, analise as afirmativas abaixo.
I. A vasculite parainfecciosa relacionada a criptococose é comum e acomete igualmente pacientes imunocompetentes e imunossupressos.
II. Em indivíduos imunocompetentes, o Cryptococcus gattii pode ser mais frequente.
III. O tratamento é dividido entre indução, consolidação e manutenção.
IV. Déficit focal súbito é uma forma de apresentação clínica, dessa forma, é um diagnóstico diferencial que deve ser considerado no AVC agudo, principalmente em jovens imunossupressos.
Assinale a alternativa correta.
Provas
Caderno Container