Foram encontradas 60 questões.
Adolescente de 14 anos, sexo masculino, procura atendimento no seu consultório com queixa de urina com cor de coca-cola recorrente. Refere que quadro se iniciou há 1 ano, com duração de 2 a 3 dias, com remissão espontânea, cerca de 1 episódio por mês. Nega quaisquer queixas urinárias ou queda do estado geral associados. Exame físico: nenhuma anormalidade (peso, est, FC, FR, PA normais). Urina tipo 1 colhida no município de origem: pH 5,5; densidade 1,023; sangue 2+; 50 hemácias/campo. Em relação ao caso clínico, assinale a alternativa correta.
Provas
Menina de 6 anos, previamente hígida, foi encaminhada ao serviço de nefrologia devido a quadro de edema de membros inferiores (MMII) e periorbitário simétrico, há 1 semana, associado a oligúria. Mãe refere quadro de tosse e coriza nasal concomitante ao quadro. Exames laboratoriais: sorologias (HIV, hepatites, toxoplasmose, rubéola, CMV) negativas; Fator anti-núcleo não reagente; C3 e C4 normais; ureia 40mg/dL; creatinina 0,4mg/dL; eletrólitos normais; colesterol total 500mg/dL; albumina 1,2g/dL; urina tipo 1 com proteínas 3+/ LE 2+/ hemácias 100 (até 3). Exame físico: PA 100/70mmHg (abaixo do percentil 90 para idade e estatura), FC 90 bpm, FR 20 ipm, satO2 98% em ar ambiente, edema perirobitário bilateral, edema de MMII simétricos, com cacifo 3+, edema de genitália e ascite moderada, aparelhos respiratório e cardiovascular sem alterações. Assinale a alternativa correta em relação a hipótese diagnóstica e conduta.
Provas
A Norma Operacional de Controle Disciplinar da Empresa Brasileira de Serviços Hospitalares (EBSERH) tem como objetivo estabelecer os procedimentos relativos à apuração de possível irregularidade. De acordo com a mencionada norma operacional, assinale a alternativa que apresenta uma circunstância atenuante:
Provas
Segundo o Regulamento de Pessoal da EBSERH, licença é o afastamento de empregado do serviço ativo assegurado por lei ou autorizado pela Empresa. Sobre o assunto, assinale a alternativa que apresenta corretamente a modalidade e prazo da licença prevista do regulamento.
Provas
De acordo com o Estatuto Social da Empresa Brasileira de Serviços Hospitalares (EBSERH), assinale a alternativa que apresenta incorretamente um dos objetos sociais da EBSERH.
Provas
Lactente de 6 meses de idade, sexo masculino, apresenta evacuação com fezes líquidas e febre alta há 3 dias, com apatia e queda do estado geral. Exame físico: pulsos finos, extremidades frias, TEC 5 seg, FR 20ipm, FC 170bpm, PA 60/30mmHg. Gasometria arterial: pH 7,11, pCO2 32mmHg, bicarbonato 10 mEq/L, Na 132 mEq/L, K 2,5 mEq/L, Cl 107 mEq/L, albumina 3,0 g/dL. Assinale a alternativa que apresenta corretamente os distúrbios acidobásicos apresentados.
Provas
De acordo com KDIGO, a definição de doença renal crônica (DRC) em crianças ≥ 2 anos de idade é definida pela Taxa de Filtração Glomerular (TFG) <60ml/min/1.73m2 por no mínimo 3 meses ou a presença de dano estrutural ou marcadores de função renal reduzida (Albuminuria, alteração histológica) mesmo com TFG>60ml/min/1.73m2. A evolução para DRC terminal (DRCT) acarreta redução na expectativa de vida, sendo a doença cardiovascular a principal causa de mortalidade entre adultos e crianças. Em relação a DRC em crianças, assinale a alternativa correta.
Provas
A uropatia obstrutiva na infância decorre principalmente de anormalidades congênitas do trato urinário. Assinale a alternativa que apresenta corretamente o processo de fisiopatologia da obstrução, acarretando na cessação do processo de filtração glomerular.
Provas
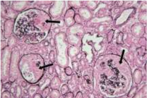
Menina de 6 anos de idade, previamente hígida, apresenta febre, mal-estar, dor abdominal e vômitos. Referia episódios febris recorrentes autolimitados, iniciados há 6 meses, associados a queda do estado geral e sintomas de vias aéreas superiores (resfriado, sinusite) ou gastrointestinais (vômitos, diarreia), além de perda de peso no período. Exame físico: sem apresentava nenhuma alteração. Exames laboratoriais: creatinina 1mg/dL (TFGe Schwartz 60ml/min/1.73m2), ureia 45mg/dL, ANCA-Mieoperoxidade 39 (VR <5), urina 1 com acantócitos e codócitos, hemácias incontáveis, Índice proteinúria/creatininúria amostra isolada (P/C) de 6,7, complemento e sorologias dentro da normalidade. Foi Realizada biópsia renal percutânea guiada por US renal (imagem), com Imunofluorescência negativa.

(Arquivo Uptodate)
Assinale a alternativa que apresenta corretamente o provável diagnóstico e a melhor conduta no caso
Provas
Pacientes portadores de síndrome nefrótica córtico-dependentes e/ou recidivantes frequentes podem apresentar efeitos colaterais decorrentes do uso de corticoide, como baixa estatura e desmineralização óssea. Em relação aos poupadores de corticoide, assinale a alternativa incorreta.
Provas
Caderno Container