Foram encontradas 60 questões.
Recentemente, uma nova vacina para dengue foi licenciada no Brasil, no serviço privado. Em relação a esta vacina, assinale a alternativa correta.
Provas
Sobre as doenças de notificação compulsória, assinale a alternativa incorreta.
Provas
Casos esporádicos de febre maculosa vêm sendo descritos em algumas cidades do estado de SP, como Campinas, Americana e Jundiaí em 2023. Sobre as manifestações desta doença, assinale a alternativa correta.
Provas
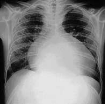
Lactente de 6 meses, previamente hígido, é levado à emergência pediátrica com quadro de tosse produtiva há 2 dias, associado com febre de 39 graus e dispneia. Ao exame físico: regular estado geral, descorado 1+, hidratado, acianótico, anictérico e afebril. FC = 180 bpm, FR = 65 ipm, SatO2 95% em ar ambiente. Murmúrio vesicular normodistribuído, com estertores subcrepitantes difusos, com tiragem subcostal moderada, 2 bulhas rítmicas hipofonéticas, sem sopros cardíacos. Pulsos periféricos cheios e TEC 4 segundos. Abdome com fígado palpável a 4 cm abaixo do rebordo costal direito. Restante sem alterações. Foi solicitado Rx tórax
(vide abaixo – fonte: Medscape®).

Assinale a alternativa que apresenta a principal hipótese diagnóstica.
Provas
Os pacientes portadores de suscetibilidade mendeliana a micobactérias apresentam quadro clínico de reação adversa à vacina BCG (BCGite ou BCGose), além de infecções recorrentes por Salmonella e Leishmania. Assinale a alternativa que apresenta o defeito imunológico característico deste erro inato da imunidade.
Provas
Considerando as alterações laboratoriais presentes na Síndrome Inflamatória Multissistêmica Pediátrica (SIM-P) pós-covid, assinale a alternativa correta.
Provas
Adolescente de 14 anos, vítima de violência sexual, é atendida na emergência pediátrica, devido a prática sexual não consentida realizada com o vizinho de 40 anos, há 36 horas. Considerando que ela tem vacinação incompleta para hepatite B, assinale alternativa que apresenta o tempo máximo de recomendação dela receber a imunoglobulina hiperimune anti-hepatite B no CRIE.
Provas
Paciente de 6 anos apresenta queixa de adenomegalia cervical unilateral de 6 cm de diâmetro, consistência endurecida, dolorosa a palpação, sem outras alterações, com evolução progressiva há 8 semanas. Tem contato com gatos em casa. Hemograma evidenciou Hb 11,5 Ht 31,5% plaquetas 400 mil GB 10800 (neutrófilos 80% linfócitos 12%), PCR 20, ácido úrico 3,2, DHL 340. Foi realizada biópsia excisional ganglionar, com evidenciação de formação de granuloma não caseoso. Assinale a alternativa que apresenta o diagnóstico mais provável.
Provas
Sobre o quadro clínico da Chikungunya na criança, assinale a alternativa correta.
Provas
Sobre a infecção perinatal pelo herpes simples, assinale a alternativa correta.
Provas
Caderno Container