Foram encontradas 60 questões.
Mulher de 79 anos queixa-se há várias semanas de dores musculares e fraqueza, com dificuldade em se levantar da posição sentada. Seu histórico médico anterior incluía polimialgia reumática, doença renal crônica e infarto do miocárdio. Estava em uso de atorvastatina 40 mg por dia 3 meses antes da apresentação e prednisona 5 mg por dia durante os últimos 2 anos para polimialgia reumática. O exame revelou fraqueza 4+/5 na flexão bilateral do quadril. Exames laboratoriais mostram que quinase (CK) estava elevada em 1.580 U/L. A EMG demonstrou potenciais de fibrilação e ondas agudas positivas com recrutamento precoce de potenciais de ação de unidade motora de baixa amplitude e curta duração em seu deltoide direito e iliopsoas direito. Sobre o caso acima, assinale a alternativa correta.
Provas
Devido ao rápido envelhecimento da população, a epilepsia nos idosos é cada vez mais encontrada na prática clínica e a sua incidência nesta faixa etária tem aumentado nas últimas décadas. Sobre a epilepsia no idoso, assinale a alternativa correta.
Provas
A encefalite anti-receptor NMDA é um distúrbio grave, tratável e potencialmente reversível, caracterizado pela presença de alterações comportamentais, convulsões e transtornos de movimento, e pode estar associada a alguns tumores. Assinale a alternativa que apresenta o mais comum deles.
Provas
As opções de tratamento para a Esclerose Múltipla (EM) expandiram-se notavelmente desde a introdução da primeira terapia modificadora da doença em 1993. As terapias modificadoras da doença mais recentes oferecem maior eficácia e conveniência, mas também têm efeitos secundários graves. Um dos grandes desafios do tratamento da EM é determinar quais pacientes se beneficiarão mais de tratamentos de maior eficácia e maior risco. Sobre o natalizumabe e o tratamento da esclerose múltipla, assinale a alternativa incorreta.
Provas
A síndrome de Susac é um importante diagnóstico diferencial das doenças desmielinizantes. Sobre esta síndrome, assinale a alternativa correta.
Provas
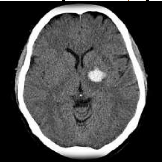
Analise o enunciado abaixo para responder às questões 45 a 49.
Mulher de 54 anos, tabagista, com diagnóstico de hipertensão e diabetes prévio, cursou de forma súbita com hemiparesia proporcionada completa à direita. Procurou serviço de emergência, vigil, consciente, disártrica, desorientada em tempo e orientada em espaço, obedecendo comandos, sensibilidade, coordenação sem alterações, NIHSS 10. Após 1h30 do ictus realizou tomografia de crânio (imagem).

Tomografia de crânio com volume estimado do hematoma menor que 30ml
Ainda sobre o óbito da paciente acima, ao acolher a família, filhos expressam desejo de que mãe fosse cremada. Quanto ao procedimento do médico plantonista, assinale a alternativa correta.
Provas
Analise o enunciado abaixo para responder às questões 45 a 49.
Mulher de 54 anos, tabagista, com diagnóstico de hipertensão e diabetes prévio, cursou de forma súbita com hemiparesia proporcionada completa à direita. Procurou serviço de emergência, vigil, consciente, disártrica, desorientada em tempo e orientada em espaço, obedecendo comandos, sensibilidade, coordenação sem alterações, NIHSS 10. Após 1h30 do ictus realizou tomografia de crânio (imagem).

Tomografia de crânio com volume estimado do hematoma menor que 30ml
Analise o caso abaixo:
Mulher de 26 anos apresenta múltiplas crises focais disperceptivas, de início focal com automatismos. Em investigação clínica, vista imagem de crânio (imagem).

Ressonância magnética de crânio
Em relação à condição clínica da paciente, assinale a alternativa correta.
Provas
Analise o enunciado abaixo para responder às questões 45 a 49.
Mulher de 54 anos, tabagista, com diagnóstico de hipertensão e diabetes prévio, cursou de forma súbita com hemiparesia proporcionada completa à direita. Procurou serviço de emergência, vigil, consciente, disártrica, desorientada em tempo e orientada em espaço, obedecendo comandos, sensibilidade, coordenação sem alterações, NIHSS 10. Após 1h30 do ictus realizou tomografia de crânio (imagem).

Tomografia de crânio com volume estimado do hematoma menor que 30ml
Caso a paciente fizesse uso de dabigatrana, uma das indicações seria reverter a anticoagulação. Quanto ao agente reversor da medicação, assinale a alternativa correta.
Provas
Analise o enunciado abaixo para responder às questões 45 a 49.
Mulher de 54 anos, tabagista, com diagnóstico de hipertensão e diabetes prévio, cursou de forma súbita com hemiparesia proporcionada completa à direita. Procurou serviço de emergência, vigil, consciente, disártrica, desorientada em tempo e orientada em espaço, obedecendo comandos, sensibilidade, coordenação sem alterações, NIHSS 10. Após 1h30 do ictus realizou tomografia de crânio (imagem).

Tomografia de crânio com volume estimado do hematoma menor que 30ml
A respeito dos alvos terapêuticos e medidas iniciais no manejo do AVC hemorrágico agudo, assinale a alternativa incorreta.
Provas
Analise o enunciado abaixo para responder às questões 45 a 49.
Mulher de 54 anos, tabagista, com diagnóstico de hipertensão e diabetes prévio, cursou de forma súbita com hemiparesia proporcionada completa à direita. Procurou serviço de emergência, vigil, consciente, disártrica, desorientada em tempo e orientada em espaço, obedecendo comandos, sensibilidade, coordenação sem alterações, NIHSS 10. Após 1h30 do ictus realizou tomografia de crânio (imagem).

Tomografia de crânio com volume estimado do hematoma menor que 30ml
Sobre o quadro da paciente, assinale a alternativa correta.
Provas
Caderno Container