Foram encontradas 59 questões.
Paciente feminina de 26 anos com diagnóstico de anemia aplástica grave. Tipo sanguíneo O positivo, receberá um transplante alogênico aparentado HLA idêntico de irmão com tipo sanguíneo A positivo. Apresenta titulação de anticorpos anti-A de 256. Assinale a alternativa que apresenta qual a melhor conduta a ser tomada em relação a receptora, ao processamento do enxerto e a transfusão de hemácias.
Provas
Paciente masculino de 45 anos de idade com diagnóstico de Leucemia Mielóide Aguda (LMA) com pesquisa de BCR-ABL positiva. Ao diagnóstico apresentava em hemograma Hb: 7,2 g/dL, leucócitos 210.000 cel/mm³ com 15% de blastos e plaquetas de 40.000/mm³. Recebeu tratamento de indução com citarabina, doxorrubicina e dasatinibe. Ao final da indução apresentou recuperação hematológica e mielograma com 3% de blastos. Assinale a alternativa que apresenta a melhor indicação terapêutica.
Provas
Paciente masculino de 62 anos, com diagnóstico de Mieloma Múltiplo IgG kappa com infiltração difusa de medula óssea, realizou tratamento de indução com protocolo VRd por 8 ciclos com programação de transplante autólogo de consolidação. Submetido à mobilização de células progenitoras com G-CSF na dose de 20 μg/Kg/dia, com programação de coleta no dia 5. A quantificação de CD34+ no dia 4 de mobilização foi de 2 céls/μL. A melhor conduta a seguir é:
Provas
Paciente feminina de 18 anos, com diagnóstico de Leucemia Linfóide Aguda em segunda remissão, submetida a Transplante Alogênico de Células Tronco (TCTH) aparentado HLA idêntico com fonte de células de sangue periférico após doença residual mensurável (DRM) negativa. Não apresentou doença do enxerto contra o hospedeiro (DECH) e encontra-se hoje sem imunossupressão, 6 meses após TCTH. Orientada em relação à imunização, assinale a alternativa que apresenta as vacinas que podem ser administradas para esta paciente.
Provas
Paciente masculino de 40 anos com diagnóstico de anemia aplástica muito grave, politransfundido, tratado em primeira linha com ciclosporina, ATG, prednisona e agonista de trombopoetina sem resposta. Submetido a Transplante Alogênico de Células Tronco (TCTH) não aparentado HLA idêntico de doador masculino, fonte medula óssea. Atualmente no dia + 180 de TCTH em uso de corticóide tópico para tratamento de doença do enxerto contra o hospedeiro crônica leve de pele, apresenta alteração de exames de função hepática, transaminases acima de 5x o limite superior da normalidade e canaliculares acima de 3x limite superior. Bilirrubina total de 1,4 mg/dL. Hemograma com Hb 14,8 g/dL, leucócitos de 6.350 céls/mm³ e plaquetas de 180.000/mm³. Sorologias não reagentes e ferritina de 1500 µg /l. Acerca do quadro clínico descrito, assinale a alternativa que apresenta a conduta mais adequada.
Provas
Paciente feminina com diagnóstico de Leucemia Mielóide Aguda de alto risco em terceira remissão, submetida a múltiplas linhas de quimioterapia prévia além de extenso histórico de transfusão. Internada para realização de transplante alogênico não aparentado HLA idêntico de células tronco com fonte de células de sangue periférico. Condicionamento mieloablativo com bussulfano e fludarabina, profilaxia de doença do enxerto contra o hospedeiro (DECH) com ciclosporina e metotrexato. Evoluiu no dia + 10 com quadro de edema, ganho de peso de 8kg, aumento de circunferência abdominal e icterícia com dosagem de bilirrubinas totais de 5 mg/dL, indireta de 1,2 mg/dL. Ultrassonografia de abdome com presença de ascite e hepatomegalia. Sobre a complicação apresentada e o seu fator de risco, assinale a alternativa correta.
Provas
Paciente de 58 anos de idade submetido a transplante alogênico aparentado HLA idêntico de medula óssea devido Leucemia Linfóide Aguda (LLA) B BRC-ABL positivo. Hoje no dia + 17 de infusão, com enxertia de neutrófilos confirmada no dia + 15. Apresenta crise convulsiva com estado de mau epilético refratário. Exame de imagem sem sinais de sangramento, com edema de região límbica. Em relação às infecções virais, assinale a alternativa que apresenta qual agente etiológico mais provável.
Provas
Paciente do sexo feminino de 40 anos com diagnóstico de leucemia mielóide aguda de alto risco. Atualmente no dia + 180 de transplante alogênico não aparentado mieloablativo de sangue periférico com interrupção de imunossupressão há 2 semanas. Retorna em consulta com queixa de sensação de corpo estranho e prurido ocular, disfagia e lesão tipo líquen plano em mucosa jugal, eritema de face tronco e pescoço acometendo 10% de superfície corpórea. Sobre a Doença do Enxerto Contra o Hospedeiro (DECH), a forma apresentada mais provável é:
Provas
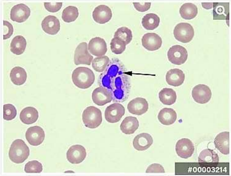
Um homem de 32 anos com diagnóstico de Leucemia Linfóide Aguda B comum de alto risco finalizou tratamento de indução com protocolo Hyper-CVAD sendo realizado outro tratamento na sequência. A figura 1 exibe o esfregaço de sangue periférico deste paciente após esta terapia. Assinale a alternativa que apresenta qual o tratamento realizado se relaciona com esse achado de esfregaço.

Figura 1. Fonte: Jon Fukumoto 07/01/2016 – arquivo imagens ASH. https://imagebank.hematology.org/
Provas
São recomendações para o uso de ciclofosfamida (CY) pós Transplante Alogênico de Células Tronco (TCTH) para profilaxia da Doença do Enxerto Contra o Hospedeiro (DECH), exceto:
Provas
Caderno Container