Magna Concursos

Foram encontradas 1.030 questões.

993649 Ano: 2012
Disciplina: Geologia
Banca: COVEST-COPSET
Orgão: UFPE
Provas:
O processo de remoção dos produtos de intemperismo é conhecido por erosão e a movimentação destes materiais é chamada de transporte. Os processos fundamentais de transporte de partículas sedimentares em meio fluído são:
 

Provas

Questão presente nas seguintes provas
992751 Ano: 2012
Disciplina: Arquitetura
Banca: COVEST-COPSET
Orgão: UFPE
Provas:
O Programa de necessidades faz parte da etapa de Levantamento de dados para arquitetura. As informações técnicas a produzir nesta etapa são:
 

Provas

Questão presente nas seguintes provas
991376 Ano: 2012
Disciplina: Biologia
Banca: COVEST-COPSET
Orgão: UFPE
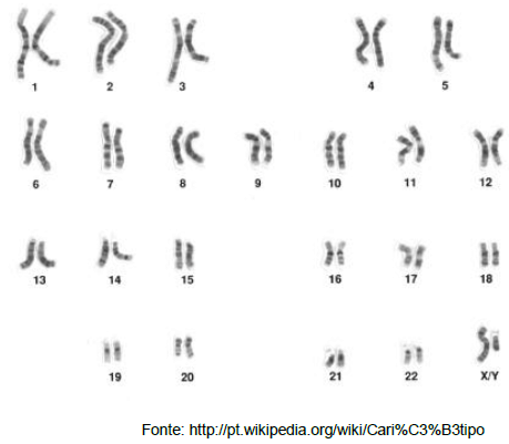
A notação correta, para o cariótipo ilustrado abaixo, pode ser descrita como:
Enunciado 991376-1
 

Provas

Questão presente nas seguintes provas
990015 Ano: 2012
Disciplina: Contabilidade Geral
Banca: COVEST-COPSET
Orgão: UFPE
Provas:
O benefício econômico futuro como potencial em contribuir direta ou indiretamente para o fluxo de caixa ou equivalentes de caixa para a entidade representa:
 

Provas

Questão presente nas seguintes provas
989741 Ano: 2012
Disciplina: Arquivologia
Banca: COVEST-COPSET
Orgão: UFPE
Provas:
As pragas de insetos podem ser um enorme problema para museus, arquivos e bibliotecas. Mesmo com tratamentos reiterados contra infestações de insetos, o problema ressurge quando não há um ambiente apropriado e seguro para armazenagem e exposição do acervo. Para impedir ou controlar os problemas com insetos, não é recomendável:
 

Provas

Questão presente nas seguintes provas
989729 Ano: 2012
Disciplina: Museologia
Banca: COVEST-COPSET
Orgão: UFPE
Provas:
De acordo com Fernanda de Camargo-Moro, na obra Museus. Aquisição/Documentação, são atributos mínimos de uma Ficha de Registro para objetos museológicos:
 

Provas

Questão presente nas seguintes provas
989715 Ano: 2012
Disciplina: Radiologia
Banca: COVEST-COPSET
Orgão: UFPE
Provas:
A Junção Ileocecal está localizada no:
 

Provas

Questão presente nas seguintes provas
989261 Ano: 2012
Disciplina: Administração Geral
Banca: COVEST-COPSET
Orgão: UFPE
Provas:
Constitui exemplo de ferramenta quantitativa para apoio à tomada de decisão nas organizações:
 

Provas

Questão presente nas seguintes provas
987369 Ano: 2012
Disciplina: Biologia
Banca: COVEST-COPSET
Orgão: UFPE
O cultivo de algumas espécies de estreptococos em Ágar Sangue produz um halo claro ao redor das colônias, indicando a produção de hemolisinas. A hemólise incompleta dos eritrócitos é conhecida como:
 

Provas

Questão presente nas seguintes provas
987306 Ano: 2012
Disciplina: Oceanografia
Banca: COVEST-COPSET
Orgão: UFPE
Provas:
O transporte de Ekman deriva da:
 

Provas

Questão presente nas seguintes provas