Foram encontradas 2.521 questões.

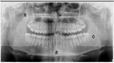
Julgue o item seguinte, a respeito dos pontos anatômicos assinalados pelos números de 1 a 4 na radiografia panorâmica apresentada.
O número 1 assinala o local em que se insere o músculo responsável pela elevação e retrusão da mandíbula.
Provas
Questão presente nas seguintes provas

A partir das figuras I e II, que ilustram a relação de fatores para a formação da cárie, julgue o item a seguir.
A fluorterapia é a principal estratégia adotada na saúde pública para a redução da formação de lesões de cárie.
Provas
Questão presente nas seguintes provas

A partir das figuras I e II, que ilustram a relação de fatores para a formação da cárie, julgue o item a seguir.
Estudos recentes mostram que os aminoácidos são os principais componentes da dieta cariogênica, uma vez que servem de substrato para que os microrganismos da cavidade bucal sintetizem a matriz formadora da placa.
Provas
Questão presente nas seguintes provas

A partir das figuras I e II, que ilustram a relação de fatores para a formação da cárie, julgue o item a seguir.
A formação da doença cárie ocorre, inicialmente, pela ação isolada de microrganismos que desmineralizam o esmalte dentário, ocorrendo posteriormente intensificação da lesão pela atuação simultânea dos demais fatores indicados nessas figuras.
Provas
Questão presente nas seguintes provas
Com referência ao papel estratégico e ao crescimento da área de recursos humanos (RH) nas organizações, julgue o item que se segue.
O RH só será considerado parceiro estratégico se estiver localizado no staff da organização; permitindo-lhe isso acompanhar ativamente o processo organizacional de planejamento e propor ações voltadas ao sucesso do empreendimento.
Provas
Questão presente nas seguintes provas
Considerando as regras constitucionais nacionais e os regimes jurídicos dos servidores públicos civis, julgue o item a seguir.
Conforme disposto em lei estadual, a contribuição previdenciária incidirá sobre a remuneração total do servidor público do estado do Pará, incluindo os adicionais e o salário-família, com a consequente repercussão em benefícios.
Provas
Questão presente nas seguintes provas
Considerando as regras constitucionais nacionais e os regimes jurídicos dos servidores públicos civis, julgue o item a seguir.
Após cinco anos de efetivo exercício, o servidor público do estado do Pará terá direito a triênios, no limite de quinze, conforme disposto em legislação estadual.
Provas
Questão presente nas seguintes provas
A respeito dos processos e atividades relativos à gestão de pessoas, julgue o item a seguir.
As taxas de rotatividade de servidores em organizações públicas podem ser reduzidas com processos de alocação de pessoal que investiguem a convergência das atribuições e responsabilidades inerentes ao cargo com os conhecimentos técnicos dos indivíduos recém-admitidos.
Provas
Questão presente nas seguintes provas
Um fisioterapeuta foi contratado por uma indústria para gerenciar uma equipe de vigilância da saúde dos seus empregados, composta também por um psicólogo, um técnico de enfermagem e um médico do trabalho. No ato da contratação, assinou um termo de sigilo acerca dos acontecimentos internos da empresa e foi informado de que, por questões sanitárias, as normas da empresa determinam que os empregados não portem quaisquer objetos no ambiente de trabalho, tais como bolsas, carteiras, documentos e crachás de identificação. As atribuições do fisioterapeuta incluíam a realização de ginástica laboral com os trabalhadores da empresa e o treinamento do técnico de enfermagem, para que o substituísse em eventual ausência. Durante os intervalos da ginástica laboral, o fisioterapeuta tinha como função induzir e prover orientações sobre aspectos relativos a saúde, política, qualidade de vida e meio ambiente, bem como divulgar os últimos recursos terapêuticos experimentais para tratamento de lesões laborais publicados em artigos científicos.
A respeito da situação hipotética apresentada e dos aspectos legais a ela relacionados, julgue o item a seguir.
O fisioterapeuta comete delito ético ao divulgar tratamentos experimentais e terapias infalíveis cuja eficácia ainda não tenha sido comprovada.
Provas
Questão presente nas seguintes provas
Um fisioterapeuta foi contratado por uma indústria para gerenciar uma equipe de vigilância da saúde dos seus empregados, composta também por um psicólogo, um técnico de enfermagem e um médico do trabalho. No ato da contratação, assinou um termo de sigilo acerca dos acontecimentos internos da empresa e foi informado de que, por questões sanitárias, as normas da empresa determinam que os empregados não portem quaisquer objetos no ambiente de trabalho, tais como bolsas, carteiras, documentos e crachás de identificação. As atribuições do fisioterapeuta incluíam a realização de ginástica laboral com os trabalhadores da empresa e o treinamento do técnico de enfermagem, para que o substituísse em eventual ausência. Durante os intervalos da ginástica laboral, o fisioterapeuta tinha como função induzir e prover orientações sobre aspectos relativos a saúde, política, qualidade de vida e meio ambiente, bem como divulgar os últimos recursos terapêuticos experimentais para tratamento de lesões laborais publicados em artigos científicos.
A respeito da situação hipotética apresentada e dos aspectos legais a ela relacionados, julgue o item a seguir.
Ao induzir e prover, ainda que genérica e superficialmente, orientações de caráter político durante a ginástica laboral o fisioterapeuta desrespeita o Código de Ética da profissão.
Provas
Questão presente nas seguintes provas
Cadernos
Caderno Container