Magna Concursos

Foram encontradas 1.020 questões.

3798842 Ano: 2025
Disciplina: Física
Banca: VUNESP
Orgão: SEDUC-SP
A figura ilustra um dispositivo de irrigação, fixado no solo, que lança água em uma trajetória parabólica a uma velocidade inicial de 10 m/s com um ângulo de 40º com a horizontal.


Enunciado 4678240-1

(https://oceanoaguas.com.br/caminhao-pipa-para-irrigacao-de- -jardim-oceano-aguas/. Modificado. Acesso em 31.12.2024)

Desprezando a resistência do ar e admitindo g = 10 m/s2, sen 40º = 0,64 e cos 40º = 0,77, a distância máxima d que o jato de água atinge é aproximadamente de
 

Provas

Questão presente nas seguintes provas
3798841 Ano: 2025
Disciplina: Física
Banca: VUNESP
Orgão: SEDUC-SP
O movimento circular uniforme é amplamente observado no cotidiano, como no caso dos ponteiros do relógio. Em trajetórias circulares, é possível analisar o deslocamento angular de um corpo em função do ângulo descrito por ele, medido em radianos, por meio da razão entre a distância s ao longo do arco e o raio r da circunferência.
Adote: r = 3,14.

A extremidade de um relógio cujo ponteiro dos minutos possui 10 cm, em um intervalo de tempo de meia hora, percorre a distância s de:
 

Provas

Questão presente nas seguintes provas
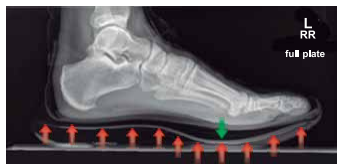
3798840 Ano: 2025
Disciplina: Física
Banca: VUNESP
Orgão: SEDUC-SP
Observe a radiografia lateral do pé esquerdo de uma pessoa de 90 kg, usando um par de tênis com placa de carbono. As setas indicam o sentido da força quando a pessoa está em movimento, ou seja, correndo, quando apenas um de seus pés toca o solo.


Enunciado 4678238-1


(https://ge.globo.com/eu-atleta/saude/post/2023/02/26/tenis-de-placa-de- -carbono-entenda-beneficios-e-riscos.ghtml. Acesso em 30.12.2024)

Considere que a placa de carbono funcione como uma mola única e sofra uma deformação de 5 mm no instante em que a pessoa toca o solo, conforme o ilustrado. Ao admitir g = 10 m/s², a constante elástica da placa será, em kN/m, de
 

Provas

Questão presente nas seguintes provas
3798839 Ano: 2025
Disciplina: Física
Banca: VUNESP
Orgão: SEDUC-SP
A figura ilustra milhares de partículas de areia que saem do deserto do Saara e atingem o solo da floresta amazônica. Os cientistas detectaram que essas partículas se deslocam pela estratosfera a uma altura aproximada de 18 km em relação ao solo.

Enunciado 4678237-1

(https://www.bbc.com/portuguese/geral-46927856. Modificado. Acesso 30.12.2024)

Admita que essa partícula de areia segue a equação de movimento dada pela função polinomial y = t4 – 8t3 – 9t2 + 38, 59 que considera forças de resistência. A partir dessa função, a velocidade é descrita corretamente pela equação:
 

Provas

Questão presente nas seguintes provas
3798838 Ano: 2025
Disciplina: Física
Banca: VUNESP
Orgão: SEDUC-SP
Uma prensa hidráulica, utilizada para elevar automóveis em oficinas mecânicas, opera com cilindros de diâmetro D1 e D2 .

Enunciado 4678236-1

(https://www.alamy.com/hydraulic-lift-illustration-this-hydraulic-machine- -depends-on-pascals-law-which-states-that-a-change-in-pressure- -at-any-point-in-an-enclosed-fluid-image335290017.html. Adaptado)

A força aplicada em 1 para equilibrar o carro corresponde a:
 

Provas

Questão presente nas seguintes provas
3798837 Ano: 2025
Disciplina: Física
Banca: VUNESP
Orgão: SEDUC-SP

A figura ilustra o looping dado pelo skatista de massa m.

Enunciado 4678235-1

(https://www.redbull.com/br-pt/looping-da-morte. Adaptado)

Desprezando todos os atritos, o menor valor da rampa h para que o skatista, partindo do repouso, realize a manobra de looping completa, ou seja, não caia no ponto mais alto do looping, é de

 

Provas

Questão presente nas seguintes provas
3798836 Ano: 2025
Disciplina: Física
Banca: VUNESP
Orgão: SEDUC-SP
A Teoria da Relatividade Geral prevê que, em escala astronômica, sob ação de um campo gravitacional, a trajetória da luz pode ser curva. Essa curvatura foi observada pela primeira vez em um experimento na cidade de Sobral, no Ceará, em 1919. Considere um exemplo simplificado e aproximado do efeito dessa curvatura em um fóton que passa próximo à Terra, como ilustra a imagem a seguir:

Enunciado 4678234-1

(https://midia.atp.usp.br/impressos/lic/ modulo01/luz_ondas_PLC0004/LUZ_top02.pdf. Adaptado)

Dado que a velocidade da luz no vácuo é igual a 3,0 x 108 m/s, e o raio da Terra RT é aproximadamente 6,3 x 106 m, o tempo, em segundos, que o fóton fica sujeito à atração gravitacional da Terra é de
 

Provas

Questão presente nas seguintes provas
3798835 Ano: 2025
Disciplina: Física
Banca: VUNESP
Orgão: SEDUC-SP
A figura ilustra um desvio para o vermelho nos espectros de absorção de uma galáxia, em uma medição realizada em 1930 pelo astrônomo Edwin Hubble.

Enunciado 4678233-1

(https://commons.wikimedia.org/wiki/File:Redshift.svg. Adaptado)

A partir dessas evidências, Hubble formulou a lei que leva seu nome, estabelecendo uma relação linear entre a velocidade de afastamento das galáxias e sua distância da Terra. Esse fenômeno foi explicado com
 

Provas

Questão presente nas seguintes provas
3798834 Ano: 2025
Disciplina: Física
Banca: VUNESP
Orgão: SEDUC-SP
A descoberta de que os núcleos atômicos são formados de partículas menores revolucionou a Física. Em 1964, os físicos Murray Gell-Mann e George Zweig propuseram que prótons e nêutrons, antes considerados indivisíveis, eram constituídos de partículas subatômicas chamadas quarks. Essa descoberta foi essencial para o desenvolvimento do Modelo Padrão da Física de Partículas, que descreve as partículas fundamentais e suas interações, incluindo a força nuclear forte, responsável por manter os prótons unidos no núcleo atômico, apesar de sua repulsão eletrostática.

Essa força nuclear forte é
 

Provas

Questão presente nas seguintes provas
3798833 Ano: 2025
Disciplina: Física
Banca: VUNESP
Orgão: SEDUC-SP
Um produtor rural quer instalar uma bomba de água em seu poço residencial. Para ter uma ideia do consumo de energia desse equipamento, ele observou as informações presentes no catálogo deste tipo de bomba:

Enunciado 4678231-1

(https://anauger.com.br/wp-content/uploads/ 2024/11/MANUAL_MOTOBOMBA_3_PORTUGUES_ REV-16-JUL-24-CURVAS.pdf. Adaptado)

O produtor estima que a bomba funcione durante 6 horas por dia. Nesse contexto, ele espera que seu consumo de energia, em kWh, durante 30 dias, seja de aproximadamente
 

Provas

Questão presente nas seguintes provas