Foram encontradas 220 questões.
Os anestésicos dissociativos são amplamente utilizados na contenção química de animais silvestres devido
Provas
Questão presente nas seguintes provas
Doença inflamatória do intestino que apresenta manifestações bucais na forma de úlceras de aspecto linear em região de fundo de sulco e, ao redor da lesão, pode-se observar aspectos hiperplásicos.
A descrição refere-se a
Provas
Questão presente nas seguintes provas
O texto a seguir foi retirado do portal do Ministério da Saúde (http://www.webradio.saude.gov.br/noticia.php?codigo_ noticia=PDMS120177 > acesso em 14.02.2012) e deve ser considerado para responder à questão.
Embora os homens representem 90% dos acidentes fatais com motocicleta no Brasil, a quantidade de mulheres que perdem a vida nesse tipo de acidente vem aumentando cada vez mais. O SIM, Sistema de Informações de Mortalidade do Ministério da Saúde, revela que, de 1996 a 2010, a quantidade de vítimas fatais do sexo feminino em acidentes cresceu 16 vezes. Já o número de homens que morreram nesses acidentes aumentou 13 vezes no mesmo período. O Ministro da Saúde, Alexandre Padilha, afirma que o País está passando por uma epidemia de acidentes de trânsito.
Leia as afirmações a seguir.
I. A proibição de motocicletas para mulheres com o intuito de diminuir as mortes femininas poderia ser uma proposta do Ministério da Saúde.
II. A prevenção de acidentes de motocicletas e mortes exige uma política pública intersetorial.
III. Um maior treinamento das mulheres para dirigir motocicleta é urgente para diminuir as mortes por acidentes.
Está correto o contido em
Provas
Questão presente nas seguintes provas
Para atendimento exclusivo a seus usuários, os estabelecimentos hoteleiros e similares poderão dispor de medicamentos, que não dependam de receita médica, observada a relação elaborada pelo órgão sanitário federal.
Esses medicamentos são denominados
Provas
Questão presente nas seguintes provas
1116285
Ano: 2012
Disciplina: Direito do Trabalho
Banca: VUNESP
Orgão: Pref. São José Campos-SP
Disciplina: Direito do Trabalho
Banca: VUNESP
Orgão: Pref. São José Campos-SP
Provas:
Em uma empresa situada no município de São José dos Campos, um trabalhador recusa-se a entrar em uma parte da construção, cujo teto desabou parcialmente por causa da chuva que cai torrencialmente. Propõe chamar por socorro externo imediatamente.
Considerando o exposto, assinale a alternativa correta.
Provas
Questão presente nas seguintes provas
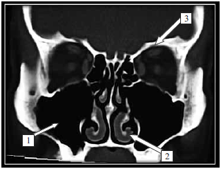
Observe o que segue:

Na imagem radiológica, as estruturas/regiões sinalizadas são, correta e respectivamente,
Provas
Questão presente nas seguintes provas
Considere o texto para responder à questão.
Ladrão invade casas em Osasco só para “assaltar” geladeiras
Nada de dinheiro, joias ou eletrodomésticos. O bandido que tem despertado preocupação e também admiração nos moradores da Vila Quitaúna, bairro de Osasco (Grande São Paulo), quer saber mesmo é de furtar guloseimas das geladeiras de suas vítimas. Pelas contas dos moradores da região, cerca de dez casas já foram invadidas pelo ladrão esfomeado.
O jeito de agir é sempre o mesmo. Ele entra, come, troca de roupas e depois vai embora, deixando a casa desarrumada e muitos bens de valor para trás. Quando encontra alguém em casa, não é violento. Termina sua refeição e vai embora.
Na manhã de ontem, o ladrão de geladeiras pulou o muro da casa de uma bancária e entrou mesmo com o filho dela, de 10 anos, lá dentro. Chegou, abriu o refrigerador, tomou um suco direto da jarra. Depois, foi até o quarto.
“Ele disse para o meu filho que ia se trocar. Mas o menino disse que não, que no meu quarto só tinha roupas de mulher. Então, o ladrão simplesmente desistiu sem reclamar”. “Existiam coisas de valor, mas ele nem se interessou”, afirma surpresa a bancária.
Um dia antes, o excêntrico bandido havia entrado na casa do vizinho da bancária. Ele pulou um muro alto, foi à cozinha para fritar um ovo e foi embora. “Descobrimos só depois, porque ele deixou um pedaço de ovo jogado no quintal, embrulhado em um guardanapo igual aos que uso”, diz o analista de crédito. Segundo ele, no mesmo dia, o invasor foi mais uma vez até sua casa. Desta vez, abriu exceção e acabou levando R$ 20.
O criminoso passou dois dias em uma outra casa da vizinhança. Lá, ele comeu, bebeu e até chegou a sentar na laje da casa, de frente para a rua. Foi agarrado por um morador, mas fugiu.
Segundo vítimas, ele é branco, tem 1,60 m e aparenta 25 anos. A Polícia Civil não tem pistas do ladrão de geladeiras. Segundo o delegado, nenhuma das vítimas fez boletim de ocorrência.
O delegado diz que a suspeita é que o ladrão de geladeiras seja um morador de rua. “A Polícia Militar foi avisada e tem feito rondas na região”, diz o delegado.
(Folha de S. Paulo, 08.02.2008. Adaptado)
Assinale a alternativa que completa, correta e respectivamente, a frase.
O analista de crédito explicou _____ polícia que chegou _____ conclusão de que o ladrão havia entrado em sua casa pela comida e pelo guardanapo deixados _____ porta da cozinha que dá para o quintal.
Provas
Questão presente nas seguintes provas
O recurso indicado para remoção da placa bacteriana localizada na superfície proximal dos dentes, quando a papila interdental não preenche totalmente o espaço interproximal, denomina-se
Provas
Questão presente nas seguintes provas
Em um determinado município de, aproximadamente, 200 000 habitantes, constata-se o crescimento do índice de alcoolismo entre adultos jovens. O principal plano elaborado para prevenir o alcoolismo e seus malefícios à saúde é o treinamento de psiquiatras, psicólogos e assistentes sociais de toda a rede SUS para acolher essa população.
Com base na informação fornecida, assinale a alternativa correta.
Provas
Questão presente nas seguintes provas
Leia a charge.

(www.amarildo.com.br)
Levando-se em consideração os aspectos de concordância nominal e verbal, segundo a norma-padrão da língua portuguesa, um título coerente e corretamente redigido para a charge é:
Provas
Questão presente nas seguintes provas
Cadernos
Caderno Container