Foram encontradas 320 questões.
2237103
Ano: 2015
Disciplina: Direito Constitucional
Banca: FAU-UNICENTRO
Orgão: Pref. Palmeira-PR
Disciplina: Direito Constitucional
Banca: FAU-UNICENTRO
Orgão: Pref. Palmeira-PR
Provas:
De acordo com a Lei Orgânica do Município de Palmeira, são símbolos do Município, além dos nacionais e estaduais, os constantes na alternativa:
Provas
Questão presente nas seguintes provas
2237102
Ano: 2015
Disciplina: Direito Tributário
Banca: FAU-UNICENTRO
Orgão: Pref. Palmeira-PR
Disciplina: Direito Tributário
Banca: FAU-UNICENTRO
Orgão: Pref. Palmeira-PR
Provas:
A legislação brasileira que trata das normas tributárias prevê hipóteses de vedação em relação à instituição e cobrança de tributos, seja em função do sujeito passivo, a vigência ou do material comercializado. Assinale, dentre as alternativas abaixo, a única que apresenta uma hipótese em que a instituição e cobrança são permitidas:
Provas
Questão presente nas seguintes provas
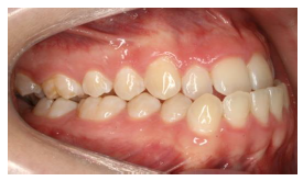
Assinale a alternativa que apresenta o tipo de maloclusão presente abaixo:

Provas
Questão presente nas seguintes provas
Assinale a alternativa que apresenta o nome do anestésico oral injetável que é metabolizado pelos pulmões e fígado, e sua excreção é renal:
Provas
Questão presente nas seguintes provas
O sistema de coagulação consiste numa cascata de enzimas proteolíticas e co-fatores.
Uma determinada vitamina é essencial para formação dos fatores da coagulação II, VII, IX e X. A vitamina é:
Provas
Questão presente nas seguintes provas
2237098
Ano: 2015
Disciplina: Direito Tributário
Banca: FAU-UNICENTRO
Orgão: Pref. Palmeira-PR
Disciplina: Direito Tributário
Banca: FAU-UNICENTRO
Orgão: Pref. Palmeira-PR
Provas:
Assinale a única alternativa que apresenta uma hipótese prevista no Código Tributário Nacional que exclui o crédito tributário:
Provas
Questão presente nas seguintes provas
Assinale a alternativa que apresenta o nome da técnica de incisão descrita abaixo:
“Possui uma incisão relaxante, que segue do ramo ascendente mandibular à distal do segundo molar inferior, contornando-o intrasulcularmente junto com o primeiro molar inferior e o segundo pré-molar inferior. Sendo que não possui nenhuma relaxante na região vestibular. Sendo o retalho rebatido a seguir.”
Provas
Questão presente nas seguintes provas
O RDW (amplitude da distribuição de hemácias). Sobre esta parâmetro hematológico assinale a alternativa correta:
Provas
Questão presente nas seguintes provas
Sobre os objetivos do Programa de Erradicação ao Trabalho Infantil analise as afirmativas abaixo:
I - Possibilitar o acesso, a permanência e o bom desempenho de crianças e adolescentes na escola.
II - Priorizar os filhos das famílias com renda per capita de até um salário mínimo.
III - Retirar crianças e adolescentes do trabalho perigoso, penoso, insalubre e degradante.
Está CORRETO o que se afirma em:
Provas
Questão presente nas seguintes provas
- Legislação EspecialLei 9.605/1998: Crimes e Infrações AmbientaisDa Aplicação da Pena (arts. 6º ao 24)
No dia 05 de novembro de 2015, aconteceu em Mariana/MG, um dos maiores desastres ambientais da história do país, devido ao rompimento de uma barragem de rejeitos sob responsabilidade de uma grande mineradora.
Para tratar de questões relativas à valoração de danos ambientais como este, foi publicada em 1998, a Lei nº 9.605, que dispõe sobre as sanções penais e administrativas derivadas de condutas e atividades lesivas ao meio ambiente.
Considerando a Lei nº 9.605, marque (F) para afirmativas falsas e (V) para verdadeiras, em seguida assinale a alternativa correta:
( ) Prestação de serviços à comunidade e recolhimento domiciliar são exemplos de penas restritivas de direito.
( ) A imposição e gradação da penalidade desconsideram a situação econômica do infrator, no caso de multa.
( ) As penas restritivas de direitos são autônomas e substituem as privativas de liberdade quando trata-se de crime doloso.
( ) O baixo grau de instrução ou escolaridade do agente podem atenuar a pena.
Provas
Questão presente nas seguintes provas
Cadernos
Caderno Container