Com base nas disposições acerca das Regiões de Saúde, analise as afirmativas a seguir.
I.As Regiões de Saúde devem ser estritamente intermunicipais, sendo vedada a criação de regiões interestaduais. II. As Regiões de Saúde serão referência para as transferências de recursos entre os entes federativos. III. Serviços de atenção primária e psicossocial são os principais critérios para a instituição de uma Região de Saúde.
O maracatu é uma das tradições afro-brasileiras que
marcam os primórdios da música brasileira, do qual
se encontram relatos desde o século XIX e que
continuam ainda hoje muito presentes na cultura
nacional. Tipicamente pernambucano, o maracatu é
tocado variando um pouco sua instrumentação e
seus toques de acordo com cada “nação”. A dança
possui uma grande riqueza de significados,
simbolizando a:
A dança é manifestação social, fenômeno estético,
cultural e simbólico que expressa e constrói sentidos
através dos movimentos corporais. Como expressão
de uma cultura, está inserida em um(a):
Criança de 12 meses de idade apresenta febre,
irritabilidade, disfagia e salivação excessiva.
Inicialmente não há sinais de desconforto
respiratório. Observa-se recusa à ingestão de
alimentos sólidos, estridor e sinais de obstrução de
vias aéreas superiores. A suspeita diagnóstica é:
Paciente do sexo masculino, 35 anos, obeso, com queixa de déficit de memória, cansaço, dificuldade de perder peso e dificuldade de prestar atenção em suas tarefas diárias. Nega roncos noturnos porém relata que não se sente revigorado após dormir à noite. Seu médico assistente solicitou uma polissonografia e dentre outros achados seu IAH (Índice de Apneia-Hipopneia) foi de 40/h.
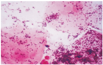
Paciente procurou a clínica da família com queixa de
corrimento com odor muito desagradável. O médico
que a atendeu fez uma lâmina a fresco compatível
com a imagem a seguir:
Paciente de 51 anos procurou o ginecologista para
mostrar os resultados de seus exames de rotina. Ao
avaliar a mamografia, a orientação correta dada por
seu médico foi:
Paciente de 58 anos procura o ginecologista com
queixa de “perda de xixi involuntária”. Após realizar o
exame de urodinâmica a seguir, qual tratamento
deverá ser instituído para essa paciente?