Magna Concursos

Foram encontradas 990 questões.

598724 Ano: 2018
Disciplina: Medicina
Banca: IBADE
Orgão: Pref. Ji-Paraná-RO

Paciente de 25 anos, procura a Unidade Básica de Saúde queixando-se de “dor à relação sexual”. Em sua história patológica pregressa salienta-se tratamento incompleto para linfogranuloma venéreo. Ao exame pélvico, o ginecologista encontrou a seguinte alteração:

enunciado 598724-1

Considerando a história clínica atual e pregressa, assim como o exame pélvico, pode-se afirmar que a paciente encontra-se com que alteração?

 

Provas

Questão presente nas seguintes provas
598723 Ano: 2018
Disciplina: Medicina
Banca: IBADE
Orgão: Pref. Ji-Paraná-RO
Provas:
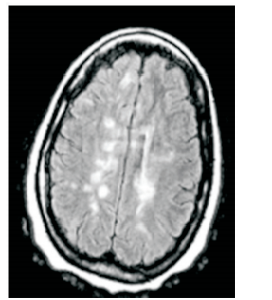
Paciente do sexo feminino, 30 anos, previamente hígida. Apresentou quadro súbito de perda da visão do olho direito com recuperação total em 15 dias. À época não foi feita nenhuma avaliação neurológica. Após seis meses, a paciente apresentou quadro de tonteira e a seguinte imagem é encontrada em sua ressonância magnética de crânio: enunciado 598723-1

Com base na história clínica e na imagem, é necessário investigar qual doença neurológica?
 

Provas

Questão presente nas seguintes provas
598722 Ano: 2018
Disciplina: Medicina
Banca: IBADE
Orgão: Pref. Ji-Paraná-RO
Provas:

Paciente do sexo masculino, 65 anos, hipertenso e diabético, apresentou episódio súbito de hemiparesia em dimídio esquerdo. Foi solicitado Ressonância Magnética de crânio com a imagem a seguir.

enunciado 598722-1

Com relação à topografia da lesão vascular, a artéria afetada foi :

 

Provas

Questão presente nas seguintes provas
598721 Ano: 2018
Disciplina: Medicina
Banca: IBADE
Orgão: Pref. Ji-Paraná-RO
Provas:

O eletrocardiograma (ECG) foi inventado por Willen Einthoven no ano de 1902 e ainda permanece como importante ferramenta diagnóstica para avaliação de pacientes nos mais variados contextos clínicos.

Com base no ECG a seguir, responda a questão.

enunciado 598721-1

Analisado o registro de ECG, na pagina anterior, contendo nove derivações simultâneas com cinco ciclos, aponte a única alteração que está AUSENTE.

 

Provas

Questão presente nas seguintes provas
598720 Ano: 2018
Disciplina: Medicina
Banca: IBADE
Orgão: Pref. Ji-Paraná-RO
Provas:

A deficiência prolongada de ferro na infância pode levar a um retardo do crescimento e déficit intelectual.

A criança com este quadro pode estar infectada por:

 

Provas

Questão presente nas seguintes provas
598718 Ano: 2018
Disciplina: Medicina
Banca: IBADE
Orgão: Pref. Ji-Paraná-RO
Provas:
Alimentos com alto teor de tiramina como queijos maturados ou envelhecidos, linguiça seca, peixe defumado, molho de soja e levedo de cerveja devem ser evitados em pacientes utilizando:
 

Provas

Questão presente nas seguintes provas
598717 Ano: 2018
Disciplina: Medicina
Banca: IBADE
Orgão: Pref. Ji-Paraná-RO
Qual o principal músculo responsável pela extensão do quadril é:
 

Provas

Questão presente nas seguintes provas
598715 Ano: 2018
Disciplina: Psiquiatria
Banca: IBADE
Orgão: Pref. Ji-Paraná-RO
Provas:
Em relação aos benzodiazepínicos, é correto afirmar que:
 

Provas

Questão presente nas seguintes provas
598714 Ano: 2018
Disciplina: Medicina
Banca: IBADE
Orgão: Pref. Ji-Paraná-RO
Provas:
Paciente do sexo masculino, 70 anos, apresentando tremor nas mãos há dois anos. O tremor é de baixa frequência e o incomoda principalmente para escrever e se alimentar. Há piora do sintoma com atividade física, estresse emocional e fadiga e melhora do sintoma após ingerir bebida alcoólica. Nega história familiar. Exame físico demonstra tremor predominantemente de ação, sem rigidez em roda denteada e sem bradicinesia. O diagnóstico mais provável é:
 

Provas

Questão presente nas seguintes provas
Um ecocardiograma, realizado em um paciente de 26 anos, assintomático e sem morbidades prévias, demonstrou importante disfunção sistólica ventricular esquerda e insuficiência mitral grave com efeito coanda pelo refluxo sanguíneo em átrio esquerdo. O exame físico é normal, com ausculta cardíaca em ritmo regular em 2 tempos e sem sopros. Qual é a conduta mais adequada nesse momento?
 

Provas

Questão presente nas seguintes provas