Foram encontradas 429 questões.
Um paciente de 82 anos de idade, com antecedente de hipertensão e demência em investigação, foi admitido no pronto-socorro com quadro de confusão mental e hiponatremia de 110 mEq/l. São de uso contínuo do paciente as seguintes medicações: quetiapina; hidroclorotiazida; fluoxetina; e anlodipino.
Assinale a alternativa que apresenta todas as medicações associadas à hiponatremia de uso do paciente.
Provas
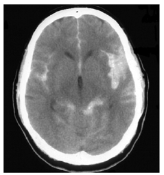
Uma paciente de 34 anos de idade procurou o serviço de emergência com quadro de cefaleia de forte intensidade, associado à rigidez de nuca e a vômitos há uma hora.
Realizou a tomografia de crânio mostrada a seguir.

Com base nesse caso hipotético, assinale a alternativa correta.
Provas
A insuficiência cardíaca aguda é uma condição heterogênea cujo manejo pode variar de acordo com a apresentação clínica principal. A abordagem inicial demanda a busca das causas ou etiologias da insuficiência cardíaca aguda. Para tanto, a Sociedade Europeia de Cardiologia organizou as causas no acrônimo CHAMPIT.
Sendo assim, assinale a alternativa que apresenta as principais causas de insuficiência cardíaca aguda.
Provas
Um paciente procurou o serviço de emergência com quadro de dor torácica típica e foi encaminhado para o setor de hemodinâmica. O procedimento evidenciou lesão coronariana única, representada nas imagens a seguir, antes (A) e após (B) o tratamento da lesão.

Com base nesse caso hipotético, assinale a alternativa que apresenta as alterações encontradas no eletrocardiograma da admissão do paciente.
Provas
Um paciente de 62 anos de idade, com antecedente de arritmia de longa data, procurou o pronto-socorro com relato de palpitações há dois dias. Na admissão, apresentava-se com frequência cardíaca de 140 bpm, frequência respiratória de 18 ipm e pressão arterial de 140 x 80 mmHg. Ao exame, vigil e orientado, bom estado geral, sem sinais de desconforto respiratório, ausculta respiratória normal e tempo de enchimento capilar de 2 segundos.
Realizou o eletrocardiograma mostrado a seguir.

Com base nesse caso hipotético e considerando que, após avaliação, a equipe médica tenha optado por terapêutica com controle de frequência ventricular, assinale a alternativa que apresenta a terapia de escolha.
Provas
Um paciente de 55 anos de idade, tabagista, com antecedente de hipertensão arterial controlada, ao final da primeira semana após a rotura de um aneurisma cerebral congênito, com hemorragia subaracnóidea espontânea, apresentou nítida piora das condições neurológicas.
Com base nesse caso hipotético, é correto afirmar que a evolução é mais provavelmente justificada pela ocorrência de
Provas
Uma paciente de 57 anos de idade, proveniente do interior de São Paulo, refere cefaleia holocraniana há cerca de quatro anos. Há três meses, houve uma piora da cefaleia, acompanhada de episódios de vômitos e dificuldade para caminhar. Ao exame físico, apresentava fundo de olho com edema de papila bilateral e hemiparesia no hemicorpo esquerdo.
Realizou investigação complementar com exames de ressonância magnética sem e com contraste, que evidenciaram as imagens abaixo.

RM T1 sem contraste RM T1 com contraste
Com base nesse caso hipotético, assinale a alternativa correta.
Provas
Acerca da hérnia paracolostômica, assinale a alternativa correta.
Provas
A respeito do pré e do pós-operatório, assinale a alternativa correta.
Provas
Em um paciente de cinquenta anos de idade, que pesa 80 kg, não é diabético e encontra-se nutrido e imunocompetente, a cirurgia de cólon está relacionada à seguinte antibioticoprofilaxia:
Provas
Caderno Container