Foram encontradas 50 questões.
Um paciente de 55 anos de idade, tabagista, com antecedente de hipertensão arterial controlada, ao final da primeira semana após a rotura de um aneurisma cerebral congênito, com hemorragia subaracnóidea espontânea, apresentou nítida piora das condições neurológicas.
Com base nesse caso hipotético, é correto afirmar que a evolução é mais provavelmente justificada pela ocorrência de
Provas
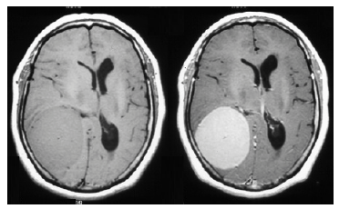
Uma paciente de 57 anos de idade, proveniente do interior de São Paulo, refere cefaleia holocraniana há cerca de quatro anos. Há três meses, houve uma piora da cefaleia, acompanhada de episódios de vômitos e dificuldade para caminhar. Ao exame físico, apresentava fundo de olho com edema de papila bilateral e hemiparesia no hemicorpo esquerdo.
Realizou investigação complementar com exames de ressonância magnética sem e com contraste, que evidenciaram as imagens abaixo.

RM T1 sem contraste RM T1 com contraste
Com base nesse caso hipotético, assinale a alternativa correta.
Provas
Acerca da hérnia paracolostômica, assinale a alternativa correta.
Provas
A respeito do pré e do pós-operatório, assinale a alternativa correta.
Provas
Em um paciente de cinquenta anos de idade, que pesa 80 kg, não é diabético e encontra-se nutrido e imunocompetente, a cirurgia de cólon está relacionada à seguinte antibioticoprofilaxia:
Provas
Com relação à fístula pós-cirurgia bariátrica, julgue os próximos itens.
I O uso de próteses recobertas, plugs absorvíveis, cola biológica e clipagem com grampos metálicos são tratamentos endoscópicos utilizados no tratamento das fístulas pós-Sleeve com resultados semelhantes.
II Nos casos de fístulas pós-Sleeve que não fecharam com tratamentos clínicos e(ou) endoscópicos, faz-se necessário o tratamento cirúrgico com gastrectomia total e esofagojejunoanastomose em Y de Roux, sempre que possível após seis meses do aparecimento da fístula.
III A localização das fístulas na técnica de Sleeve é mais comum no nível do ângulo de Hiss e na derivação gástrica em Y de Roux e é frequente na anastomose gastrojejunal e na linha de grampeamento do pouch gástrico.
IV O diagnóstico da fístula pós-operatória nem sempre é fácil, pois a propedêutica, os exames laboratoriais e os exames de imagem têm limitações importantes no paciente obeso, devendo a drenagem da cavidade ser feita de rotina.
V Em primeiro lugar, quando do diagnóstico ou da suspeita de fístula, a primeira medida será a abordagem cirúrgica com limpeza da cavidade, seguida de ampla drenagem, antibioticoterapia de amplo espectro e nutrição enteral ou parenteral.
Assinale a alternativa correta.
Provas
Um paciente de 56 anos de idade, tabagista há vinte anos, com quadro de disfonia há três meses, há cinco dias, com piora da rouquidão e queixando-se de falta de ar há dois dias, não consegue dormir, sendo encaminhado para o pronto-socorro. Nega disfagia ou odinofagia. Ao exame físico, apresenta-se com dispneia e cornagem, pescoço com linfonodos cervicais palpáveis bilateralmente, sendo o maior de 3 cm, endurecidos, coalescentes e pouco móveis. Foi realizada uma endoscopia digestiva, que revelou lesão ulceroinfiltrativa de prega vocal direita, que se encontra sem mobilidade, estendendo-se para a epiglote e reduzindo a luz glótica em 80%.
Com base nesse caso hipotético, assinale a alternativa correta.
Provas
Um homem de sessenta anos de idade, diabético mal controlado e com hipertensão arterial sistêmica, sem instrumentação urológica prévia, queixa-se de disúria e urgência há muito tempo, mas sem seguimento. Chegou ao pronto-socorro com queixa de dores na região pélvica e disúria intensa, sem febre. O exame físico revelou edema e hiperemia de escroto e região inguinal direita. No exame retal, notou-se uma próstata aumentada de tamanho, amolecida e dolorida ao toque. O hemograma mostrou 18.300 leucócitos, a análise de urina mostrou padrão infeccioso e a cultura de urina foi positiva para Escherichia coli. O valor do PSA foi de 23 ng/mL. A ultrassonografia de partes moles da região inguinal e escrotal revelou adensamento da pele, do tecido subcutâneo da região inguinal direita e da bolsa testicular, hidrocele septada à direita, coleção no canal inguinal direito, orquiepididimite à direita e linfonodomegalia inguinal.
Com base nesse caso hipotético, assinale a alternativa correta.
Provas
Um paciente de 65 anos de idade, com histórico de demência e Alzheimer há dois anos, de grau leve, há quatro meses, tornou-se mais prostrado, apático, queixando-se de uma fraqueza muscular. Deu entrada no pronto-socorro, apresentando delirium e oscilando entre agressividade e sintomas depressivos. Tem histórico de osteoporose e fraturas espontâneas de costelas e coluna vertebral há dois anos. No exame físico inicial, o paciente estava apático, com delirium, conforme os critérios do DSM-IV, e apresentava discreta rigidez muscular, desidratação e taquicardia.
As análises da urina revelaram glicosúria e leucocitúria, sendo que a urocultura demonstrou E. coli. Glicemia de 180 mg/dl, hemoglobina de 11,8 g/dl, cálcio ionizado de 1,51 mmol/l (1,14-1,30 mmol/l) e cálcio total de 11,8 mg/dl (8,5-10,5 mg/dl). Realizou antibioticoterapia e hidratação, com melhora parcial do quadro de delirium.
Iniciou a investigação da hipercalcemia, que revelou PTH intacto de 150 pg/mL (10-65 pg/mL).
Com base nesse caso hipotético, assinale a alternativa correta.
Provas
Um paciente de cinquenta anos de idade, com quadro de dor abdominal em fossa ilíaca direita há quatro meses, acompanhada de emagrecimento, sintomas de empachamento pós-prandial e dispepsia, realizou uma endoscopia digestiva alta, que revelou lesão ulcerada de 4 cm na grande curvatura do antro gástrico, cujo anatomopatológico confirmou se tratar de um adenocarcinoma com expressão de HER2 (3+). Apresentava hemograma, função hepática e enzimas pancreáticas normais. CEA de 70 ng/mL. Tomografia de abdome sem evidência de metástases, mas havia nitidamente contato sem limite definido do tumor com a cabeça do pâncreas. O estadiamento laparoscópico mostrou que não havia disseminação peritoneal ou metástase hepática. O estadiamento clínico foi classificado em IVA.
Com base nesse caso hipotético e considerando as possibilidades de tratamento do câncer gástrico avançado atuais, assinale a alternativa correta quanto à terapia de conversão.
Provas
Caderno Container