Magna Concursos

Foram encontradas 300 questões.

3988877 Ano: 2025
Disciplina: Medicina
Banca: VUNESP
Orgão: FAMEMA
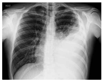
Leia o caso clínico a seguir para responder à questão:
Paciente do sexo masculino, 58 anos, tabagista de 40 maços/ano, portador de DPOC moderado.
Procura pronto-socorro com febre há 3 dias, tosse produtiva com expectoração purulenta e dispneia progressiva. Nas últimas 6 horas, evoluiu com rebaixamento do sensório e intensa dificuldade respiratória. O exame físico na sala de emergência apresenta: PA: 92 × 60 mmHg; FC: 128 bpm; FR: 38 irpm; SatO₂: 82% em cateter nasal 5 L/min; T: 38,6 °C.
Escala de Glasgow: 12.
Estertores crepitantes difusos em hemitórax esquerdo e abolido em base.
Uso de musculatura acessória e tiragem intercostal.
Apresenta exames complementares: leucócitos: 18.400/mm³; creatinina: 1,9 mg/dL.
Gasometria em O₂: 5 L/min; pH: 7,28; PaO₂: 52 mmHg; PaCO₂: 58 mmHg; HCO₃⁻: 20 mEq/L; relação PaO₂/ FiO₂:110.
Radiografia de tórax a seguir:
Enunciado 4926031-1
(Arquivo pessoal; imagem usada com autorização)
Qual a conduta ventilatória mais adequada para esse paciente?
 

Provas

Questão presente nas seguintes provas
3988876 Ano: 2025
Disciplina: Medicina
Banca: VUNESP
Orgão: FAMEMA
Paciente do sexo feminino, 48 anos, previamente saudável, apresenta nódulo tireoidiano de 1,8 cm identificado em ultrassonografia cervical solicitada por disfagia leve. As características ultrassonográficas de um nódulo sólido, hipoecoico, com microcalcificações e margens irregulares. Não há adenomegalias cervicais. Apresenta TSH e T4 livre normais.

No seguimento dessa paciente, assinale a alternativa que apresenta corretamente a orientação das diretrizes atuais.
 

Provas

Questão presente nas seguintes provas
3988875 Ano: 2025
Disciplina: Medicina
Banca: VUNESP
Orgão: FAMEMA
Leia o caso clínico a seguir para responder à questão:
Paciente, sexo masculino, 62 anos, etilista, cirrose hepática (child-pugh B) em acompanhamento há 3 anos, chega ao pronto atendimento por hematêmese volumosa e melena de início há 4h, associadas a tontura, sudorese, lipotimia, há 30 minutos.
Ao exame físico: PA: 86 × 54 mmHg, FC: 122 bpm, pele fria, Glasgow 14. Abdome ascítico, circulação colateral, baqueteamento digital.
Exames complementares: Hb: 7,4 g/dL, plaquetas: 86.000, INR: 1,8, creatinina: 1,6 mg/dL, bilirrubina total: 4,0 mg/dL, Na⁺: 131 mEq/L.
Realizou a tomografia de abdome a seguir:
Enunciado 4926029-1
(Arquivo pessoal; imagem usada com autorização)
Em qual situação o Transjugular Infrahepatic Portosystemic Shunt (TIPS) deve ser considerado de forma apropriada, segundo as diretrizes atuais?
 

Provas

Questão presente nas seguintes provas
3988874 Ano: 2025
Disciplina: Medicina
Banca: VUNESP
Orgão: FAMEMA
Leia o caso clínico a seguir para responder à questão:
Paciente, sexo masculino, 62 anos, etilista, cirrose hepática (child-pugh B) em acompanhamento há 3 anos, chega ao pronto atendimento por hematêmese volumosa e melena de início há 4h, associadas a tontura, sudorese, lipotimia, há 30 minutos.
Ao exame físico: PA: 86 × 54 mmHg, FC: 122 bpm, pele fria, Glasgow 14. Abdome ascítico, circulação colateral, baqueteamento digital.
Exames complementares: Hb: 7,4 g/dL, plaquetas: 86.000, INR: 1,8, creatinina: 1,6 mg/dL, bilirrubina total: 4,0 mg/dL, Na⁺: 131 mEq/L.
Realizou a tomografia de abdome a seguir:
Enunciado 4926028-1
(Arquivo pessoal; imagem usada com autorização)
A conduta terapêutica inicial é:
 

Provas

Questão presente nas seguintes provas
3988873 Ano: 2025
Disciplina: Medicina
Banca: VUNESP
Orgão: FAMEMA
Leia o caso clínico a seguir para responder à questão:
Paciente do sexo feminino, 64 anos, portadora de diabetes mellitus insulino dependente, foi submetida à colectomia segmentar por neoplasia de cólon há 5 dias. Evoluiu com febre persistente, inapetência e dor abdominal progressiva nas últimas 48 horas na enfermaria. Nas últimas 9 horas, apresentou vômitos biliosos, rebaixamento do nível de consciência e piora clínica, sendo transferida para UTI.
Exame físico na admissão: T: 38,9 °C, PA: 82 × 54 mmHg, FC: 124 bpm. Responsiva a solicitações, com escala de Glasgow: 12. Abdome: distendido, dor difusa com defesa involuntária, descompressão brusca dolorosa.
Pele fria, tempo de enchimento capilar: 5 s.
Exames laboratoriais: leucócitos: 22.800/mm³; plaquetas: 92.000/mm³.
Creatinina: 2,1 mg/dL; lactato: 5,4 mmol/L; bilirrubina total: 2,2 mg/dL.
Tomografia computadorizada de abdome com contraste: líquido livre difuso, múltiplas coleções perianastomóticas com presença de gás e extravasamento de contraste.
Qual deve ser a prioridade terapêutica para essa paciente, considerando os achados clínicos e tomográficos?
 

Provas

Questão presente nas seguintes provas
3988872 Ano: 2025
Disciplina: Medicina
Banca: VUNESP
Orgão: FAMEMA
Leia o caso clínico a seguir para responder à questão:
Paciente do sexo feminino, 64 anos, portadora de diabetes mellitus insulino dependente, foi submetida à colectomia segmentar por neoplasia de cólon há 5 dias. Evoluiu com febre persistente, inapetência e dor abdominal progressiva nas últimas 48 horas na enfermaria. Nas últimas 9 horas, apresentou vômitos biliosos, rebaixamento do nível de consciência e piora clínica, sendo transferida para UTI.
Exame físico na admissão: T: 38,9 °C, PA: 82 × 54 mmHg, FC: 124 bpm. Responsiva a solicitações, com escala de Glasgow: 12. Abdome: distendido, dor difusa com defesa involuntária, descompressão brusca dolorosa.
Pele fria, tempo de enchimento capilar: 5 s.
Exames laboratoriais: leucócitos: 22.800/mm³; plaquetas: 92.000/mm³.
Creatinina: 2,1 mg/dL; lactato: 5,4 mmol/L; bilirrubina total: 2,2 mg/dL.
Tomografia computadorizada de abdome com contraste: líquido livre difuso, múltiplas coleções perianastomóticas com presença de gás e extravasamento de contraste.
Qual a principal condição que explica o quadro clínico-laboratorial da paciente?
 

Provas

Questão presente nas seguintes provas
3988871 Ano: 2025
Disciplina: Medicina
Banca: VUNESP
Orgão: FAMEMA
Paciente, sem comorbidades, apresenta sorologia: HBsAg positivo, anti-HBc total positivo, anti-HBc IgM negativo, anti-HBs negativo, HBeAg positivo.

Qual a interpretação do quadro infeccioso?
 

Provas

Questão presente nas seguintes provas
3988870 Ano: 2025
Disciplina: Medicina
Banca: VUNESP
Orgão: FAMEMA
Uma paciente internada na unidade de terapia intensiva com quadro séptico de foco urinário, sem história de diarreia, vômitos ou uso de diuréticos, que apresenta os seguintes exames laboratoriais pH: 7,25; PaCO₂: 28 mmHg; HCO₃⁻: 12 mEq/L; Na⁺: 140; Cl⁻: 102; albumina: 4 g/dL. N. lactato sérico: 6,1 mmol/L.

Qual a interpretação correta do distúrbio ácido-básico?
 

Provas

Questão presente nas seguintes provas
3988869 Ano: 2025
Disciplina: Medicina
Banca: VUNESP
Orgão: FAMEMA
Leia o caso clínico a seguir para responder às questão:

Paciente do sexo masculino, 64 anos, portador de hipertensão arterial, obesidade grau 2, diabetes mellitus tipo 2, com história de dor torácica retroesternal opressiva iniciada há 90 minutos, irradiando para braço esquerdo e mandíbula, associada a náuseas, vômitos e sudorese intensa. Foi levado ao pronto-socorro pelo SAMU. Na chegada, encontra-se ansioso, dispneico e sudorese fria. Ao exame físico: PA: 86 × 58 mmHg FC: 112 bpm. Consciente e orientado, sem déficits motores. Ritmo cardíaco regular 2 tempos sem sopros. Murmúrio vesicular presente com estertores crepitantes bibasais. Extremidades frias, tempo de enchimento capilar de 5 s.

Realizou o eletrocardiograma a seguir:
Enunciado 4926023-1
(Arquivo pessoal; arquivo usado com autorização)

Qual a conduta correta em relação à reperfusão nesse paciente?
 

Provas

Questão presente nas seguintes provas
3988868 Ano: 2025
Disciplina: Medicina
Banca: VUNESP
Orgão: FAMEMA
Leia o caso clínico a seguir para responder à questão:

Paciente do sexo masculino, 64 anos, portador de hipertensão arterial, obesidade grau 2, diabetes mellitus tipo 2, com história de dor torácica retroesternal opressiva iniciada há 90 minutos, irradiando para braço esquerdo e mandíbula, associada a náuseas, vômitos e sudorese intensa. Foi levado ao pronto-socorro pelo SAMU. Na chegada, encontra-se ansioso, dispneico e sudorese fria. Ao exame físico: PA: 86 × 58 mmHg FC: 112 bpm. Consciente e orientado, sem déficits motores. Ritmo cardíaco regular 2 tempos sem sopros. Murmúrio vesicular presente com estertores crepitantes bibasais. Extremidades frias, tempo de enchimento capilar de 5 s.

Realizou o eletrocardiograma a seguir:
Enunciado 4926022-1
(Arquivo pessoal; arquivo usado com autorização)

Qual a conduta correta em relação à antiagregação plaquetária nesse paciente?
 

Provas

Questão presente nas seguintes provas