Foram encontradas 300 questões.
Paciente do sexo feminino, de 27 anos, apresenta-se
ao pronto atendimento com história de cefaleia súbita
(thunderclap) há 4 horas associada a rigidez de nuca e
mal-estar geral. Realizou uma tomografia de crânio sem
contraste com 4,5 horas do início dos sintomas que não
apresentaram alterações.
A indicação da investigação diagnóstica correta seria:
A indicação da investigação diagnóstica correta seria:
Provas
Questão presente nas seguintes provas
Paciente procura a UBS com resultados dos exames a
seguir:
HBsAg positivo, anti-HBc total positivo, IgM negativa
HBeAg negativo, anti-HBe positivo
HBV-DNA 18.000 UI/mL
Diante do quadro, a orientação adequada seria informar ao paciente que se trata de
HBsAg positivo, anti-HBc total positivo, IgM negativa
HBeAg negativo, anti-HBe positivo
HBV-DNA 18.000 UI/mL
Diante do quadro, a orientação adequada seria informar ao paciente que se trata de
Provas
Questão presente nas seguintes provas
Sobre distúrbios eletrolíticos, assinale a correta.
Provas
Questão presente nas seguintes provas
Paciente com síndrome do desconforto respiratório
agudo (SDRA) moderada está em ventilação mecânica.
Qual estratégia ventilatória é indicada?
Provas
Questão presente nas seguintes provas
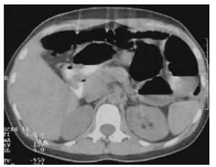
Paciente de 64 anos, portadora de diabetes mellitus tipo
2, hipertensão arterial, hiperuricemia e hipertrigliceridemia, é submetida a colectomia segmentar por neoplasia
de cólon há 5 dias. Evolui com febre persistente, dor
abdominal progressiva e inapetência na enfermaria. Nas
últimas 12 horas, apresentou vômitos biliosos e rebaixamento do nível de consciência sendo transferida para
unidade de terapia intensiva.
Ao exame físico: PA: 78 x 50 mmHg; FC: 124 bpm; FR: 28 irpm; SatO₂: 94% O₂ nasal; temperatura: 38,9 °C; pele fria; tempo de enchimento capilar 5 s; Glasgow: 13; abdome: distendido, doloroso difusamente, sinais de defesa involuntária e descompressão brusca dolorosa. Exames laboratoriais iniciais: lactato: 5,2 mmol/L; leucócitos: 24.000/mm³; plaquetas: 88.000/mm³; creatinina: 2,3 mg/dL (VR <1,2); bilirrubina total: 2,1 mg/dL.
Realizou a tomografia de abdome sem contraste a seguir:
(Arquivo pessoal; imagem usada com autorização)
Qual é a medida fundamental, associada à antibioticoterapia e ao suporte hemodinâmico, para o manejo desse caso?
Ao exame físico: PA: 78 x 50 mmHg; FC: 124 bpm; FR: 28 irpm; SatO₂: 94% O₂ nasal; temperatura: 38,9 °C; pele fria; tempo de enchimento capilar 5 s; Glasgow: 13; abdome: distendido, doloroso difusamente, sinais de defesa involuntária e descompressão brusca dolorosa. Exames laboratoriais iniciais: lactato: 5,2 mmol/L; leucócitos: 24.000/mm³; plaquetas: 88.000/mm³; creatinina: 2,3 mg/dL (VR <1,2); bilirrubina total: 2,1 mg/dL.
Realizou a tomografia de abdome sem contraste a seguir:
(Arquivo pessoal; imagem usada com autorização)
Qual é a medida fundamental, associada à antibioticoterapia e ao suporte hemodinâmico, para o manejo desse caso?
Provas
Questão presente nas seguintes provas
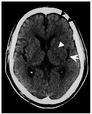
Paciente do sexo feminino, de 71 anos, portadora de
hipertensão arterial e dislipidemia, em uso irregular das
medicações, apresenta início súbito de hemiplegia direita
e afasia há 170 min. Chega ao pronto atendimento apresentando no exame físico: PA: 190 x 100 mmHg; FC:
92 bpm; FR: 20 irpm; SatO₂: 95%; NIHSS: 14 pontos.
Encaminhada para tomografia de crânio, que apresentou
a imagem a seguir:
(Arquivo pessoal; imagem usada com autorização)
Qual é a conduta imediata?
(Arquivo pessoal; imagem usada com autorização)
Qual é a conduta imediata?
Provas
Questão presente nas seguintes provas
Sobre os diferentes tipos de choque, assinale a alternativa correta.
Provas
Questão presente nas seguintes provas
Leia o caso clínico a seguir para responder à questão:
Paciente jovem de 22 anos, portador de diabetes mellitus
tipo 1 há 6 anos, chega ao pronto-socorro com história de
náuseas, vômitos e dor abdominal difusa há 12 horas. Refere
poliúria nos últimos dias. Ao exame físico: PA: 94 x 60 mmHg;
FC: 118 bpm; FR: 32 irpm (respiração de Kussmaul); temperatura axilar: 37,5 °C; com mucosas secas, pulsos periféricos
filiformes.
Apresenta nos exames complementares iniciais: glicemia:
468 mg/dL; gasometria arterial com pH: 7,12 e HCO₃⁻:
9 mEq/L; sódio: 135 mEq/L; potássio: 3,1 mEq/L e cetonemia:
positiva.
Provas
Questão presente nas seguintes provas
Leia o caso clínico a seguir para responder à questão:
Paciente jovem de 22 anos, portador de diabetes mellitus
tipo 1 há 6 anos, chega ao pronto-socorro com história de
náuseas, vômitos e dor abdominal difusa há 12 horas. Refere
poliúria nos últimos dias. Ao exame físico: PA: 94 x 60 mmHg;
FC: 118 bpm; FR: 32 irpm (respiração de Kussmaul); temperatura axilar: 37,5 °C; com mucosas secas, pulsos periféricos
filiformes.
Apresenta nos exames complementares iniciais: glicemia:
468 mg/dL; gasometria arterial com pH: 7,12 e HCO₃⁻:
9 mEq/L; sódio: 135 mEq/L; potássio: 3,1 mEq/L e cetonemia:
positiva.
Provas
Questão presente nas seguintes provas
Paciente do sexo masculino, de 58 anos, tabagista, portador de hipertensão arterial sistêmica, apresenta-se ao pronto
atendimento com história de dor torácica opressiva irradiando para braço esquerdo e mandíbula iniciada há 130 minutos,
associada a sudorese fria e náuseas. Apresenta como sinais vitais iniciais: PA: 98 x 64 mmHg, FC: 92 bpm, SatO₂: 95%
AA. Realizou o eletrocardiograma a seguir:
(Arquivo pessoal; imagem usada com autorização)
Qual é a abordagem terapêutica para esse paciente?
(Arquivo pessoal; imagem usada com autorização)
Qual é a abordagem terapêutica para esse paciente?
Provas
Questão presente nas seguintes provas
Cadernos
Caderno Container