Magna Concursos

Foram encontradas 300 questões.

3988907 Ano: 2025
Disciplina: Medicina
Banca: VUNESP
Orgão: FAMEMA
Qual o padrão laboratorial clássico da anemia ferropriva?
 

Provas

Questão presente nas seguintes provas
3988906 Ano: 2025
Disciplina: Medicina
Banca: VUNESP
Orgão: FAMEMA
Paciente, 42 anos, com história familiar de pai falecido de infarto agudo do miocárdio aos 57 anos, apresenta sobrepeso e nega atividade física regular. Realizou exames que apresentaram colesterol total: 252 mg/dL; HDL: 38 mg/dL; LDL: 167 mg/dL; triglicerídeos: 180 mg/dL.
Glicemia: 105 mg/dL e PCR us: 4,2 mg/dL. Na avaliação ambulatorial, apresentava escore PREVENT (AHA/ACC 2023): risco cardiovascular global estimado: 14% em 10 anos e SCORE2 (ESC 2024): risco estimado ≈ 11% em 10 anos.

Com base nos dados clínicos e laboratoriais, qual a classificação de risco cardiovascular global e o diagnóstico mais adequado, segundo as diretrizes atuais?
 

Provas

Questão presente nas seguintes provas
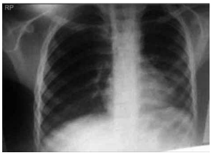
3988905 Ano: 2025
Disciplina: Medicina
Banca: VUNESP
Orgão: FAMEMA
Leia o caso clínico a seguir para responder à questão:
Paciente de 67 anos, tabagista 40 maços/ano, ex- -fumante há 3 anos, diagnosticado com doença pulmonar obstrutiva crônica (DPOC), classificado como GOLD D há 4 anos (VEF₁: 38% do previsto). Faz uso de tiotrópio e formoterol regularmente, sem oxigenoterapia domiciliar. Chega ao pronto atendimento com dispneia intensa e aumento de volume de escarro purulento há 3 dias, evoluindo com cansaço progressivo e confusão mental nas últimas horas.
Ao exame físico: FR: 28 irpm, uso de musculatura acessória SatO₂: 82% em ar ambiente. PA: 138 × 86 mmHg; FC: 112 bpm; T: 37,8 °C.
Ausculta pulmonar com roncos difusos e sibilos esparsos.
Gasometria arterial pH: 7,28; PaCO₂: 68 mmHg; PaO₂: 54 mmHg; HCO₃⁻: 31 mEq/L.
Radiografia de tórax a seguir:
Enunciado 4926059-1
(Arquivo pessoal; imagem usada com autorização)
Qual é a conduta inicial para esse paciente?
 

Provas

Questão presente nas seguintes provas
3988904 Ano: 2025
Disciplina: Medicina
Banca: VUNESP
Orgão: FAMEMA
Leia o caso clínico a seguir para responder à questão:
Paciente de 67 anos, tabagista 40 maços/ano, ex- -fumante há 3 anos, diagnosticado com doença pulmonar obstrutiva crônica (DPOC), classificado como GOLD D há 4 anos (VEF₁: 38% do previsto). Faz uso de tiotrópio e formoterol regularmente, sem oxigenoterapia domiciliar. Chega ao pronto atendimento com dispneia intensa e aumento de volume de escarro purulento há 3 dias, evoluindo com cansaço progressivo e confusão mental nas últimas horas.
Ao exame físico: FR: 28 irpm, uso de musculatura acessória SatO₂: 82% em ar ambiente. PA: 138 × 86 mmHg; FC: 112 bpm; T: 37,8 °C.
Ausculta pulmonar com roncos difusos e sibilos esparsos.
Gasometria arterial pH: 7,28; PaCO₂: 68 mmHg; PaO₂: 54 mmHg; HCO₃⁻: 31 mEq/L.
Radiografia de tórax a seguir:
Enunciado 4926058-1
(Arquivo pessoal; imagem usada com autorização)
Qual o diagnóstico funcional mais provável, segundo a gasometria arterial?
 

Provas

Questão presente nas seguintes provas
3988903 Ano: 2025
Disciplina: Medicina
Banca: VUNESP
Orgão: FAMEMA
Paciente de 27 anos, sexo feminino, previamente saudável, com história de disúria, polaciúria e urgência urinária há 24h. Nega febre, lombalgia, náusea ou corrimento vaginal. Sem comorbidades.

Assinale a alternativa que apresenta a conduta médica apropriada.
 

Provas

Questão presente nas seguintes provas
3988902 Ano: 2025
Disciplina: Medicina
Banca: VUNESP
Orgão: FAMEMA
Sobre a profilaxia antibiótica para endocardite em procedimentos odontológicos, assinale a alternativa correta.
 

Provas

Questão presente nas seguintes provas
3988901 Ano: 2025
Disciplina: Medicina
Banca: VUNESP
Orgão: FAMEMA
Paciente, 45 anos, admitido no pronto-socorro após relatar náuseas intensas, vômitos, dor epigástrica e visão turva (“visão de névoa”) nas últimas 12 horas, após ingesta de bebida alcoólica em um bar em São Paulo. Ao exame físico: PA: 110 × 70 mmHg; FC: 98 bpm.
Agitado, queixa de dor em epigastro, sem sinais de hepatomegalia ou icterícia.
Fundo de olho: pupilas midriáticas, sem reflexo fotomotor preservado.
Sem alterações focais neurológicas evidentes.
Exames laboratoriais:

Gasometria arterial: pH: 7,12; PaCO₂: 24 mmHg | HCO₃⁻: 8 mEq/L; Anion gap: elevado.
Etanol plasmático = 0,5 g/L (nível baixo).

Diante do aumento epidemiológico no Brasil, qual a abordagem terapêutica nesse caso?
 

Provas

Questão presente nas seguintes provas
3988900 Ano: 2025
Disciplina: Medicina
Banca: VUNESP
Orgão: FAMEMA
Leia o caso clínico a seguir para responder à questão:
Paciente jovem, sexo masculino, 32 anos, procura a Unidade Básica de Saúde com história de úlcera genital indolor há 10 dias, bordas endurecidas, base limpa e indolor, associada a linfonodos inguinais aumentados, elásticos, indolores. Nega febre. Tem parceiro fixo, relata relação sexual sem preservativo há 4 semanas.
Ao exame físico: lesão única em sulco balanoprepucial, 1,2 cm; não exsudativa. Sem outras lesões.
Qual é a conduta terapêutica nesse momento?
 

Provas

Questão presente nas seguintes provas
3988899 Ano: 2025
Disciplina: Medicina
Banca: VUNESP
Orgão: FAMEMA
Leia o caso clínico a seguir para responder à questão:
Paciente jovem, sexo masculino, 32 anos, procura a Unidade Básica de Saúde com história de úlcera genital indolor há 10 dias, bordas endurecidas, base limpa e indolor, associada a linfonodos inguinais aumentados, elásticos, indolores. Nega febre. Tem parceiro fixo, relata relação sexual sem preservativo há 4 semanas.
Ao exame físico: lesão única em sulco balanoprepucial, 1,2 cm; não exsudativa. Sem outras lesões.
Assinale a alternativa que apresenta a abordagem diagnóstica.
 

Provas

Questão presente nas seguintes provas
3988898 Ano: 2025
Disciplina: Medicina
Banca: VUNESP
Orgão: FAMEMA
Em relação à fisiopatologia da tireoidite de Hashimoto, assinale a alternativa correta.
 

Provas

Questão presente nas seguintes provas