Foram encontradas 288 questões.
- Outros NormativosLINDB: Lei de Introdução às Normas do Direito BrasileiroEficácia da Lei no Tempo (Art. 2º)
Estabelece a Lei de Introdução às Normas do Direito Brasileiro que, não se destinando à vigência temporária, a lei terá vigor até que outra a modifique ou revogue, consagrando o denominado Princípio da continuidade da lei. Nesse contexto, numere a coluna da direita de acordo com a da esquerda.
| 1 – Ab-rogação |
( ) Ocorre quando a lei revogada, por expressa disposição legal, se restaura por ter a lei revogadora perdido a vigência.
|
| 2 – Derrogação |
( ) Ato de tornar sem efeito parte de uma norma, com a supressão parcial do seu texto por uma nova norma; revogação parcial de uma norma jurídica.
|
| 3 - Revogação tácita |
( ) Ocorre quando a lei posterior é incompatível com a anterior ou quando regula inteiramente a matéria de que tratava a lei anterior.
|
| 4- Repristinação |
( ) Ato de tornar sem efeito uma norma em caráter integral, com a supressão total do seu texto por uma nova norma; revogação total de uma norma jurídica.
|
Marque a sequência correta.
Provas
Questão presente nas seguintes provas
O Programa de Integração à Saúde da Mulher (PAISM) é uma política pública na área de atenção da saúde da mulher, estabelecendo linhas de ação e estratégias para um modelo assistencial que inclui a integralidade e a equidade. Sobre o PAISM, marque V para as afirmativas verdadeiras e F para as falsas.
( ) O programa nasceu com o objetivo de implantar ou ampliar as atividades de identificação do controle de câncer cérvico-uterino e de mamas e identificação e controle das doenças transmitidas sexualmente.
( ) O programa foi oficializado em 1980 e tem como um dos objetivos aumentar a cobertura e a concentração do atendimento pré-natal, proporcionando iguais oportunidades de utilização do serviço para toda população.
( ) O objetivo principal do programa é promover a saúde integral à mulher e controlar a cobertura de imunização da criança.
( ) Um dos objetivos do programa que nasceu em 1980 é aumentar os índices de aleitamento materno, fornecendo as condições para implantação do alojamento conjunto.
Assinale a sequência correta.
Provas
Questão presente nas seguintes provas
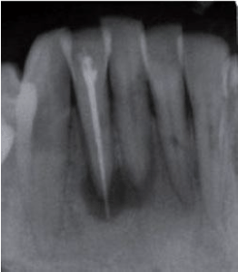
INSTRUÇÃO: A questão é baseada no caso clínico e radiografia abaixo.
Paciente do gênero feminino, 33 anos, procurou atendimento odontológico queixando-se de dor há algum tempo no dente 42 durante a mastigação. Relatou que tinha feito endodontia no dente em questão havia alguns meses. Ao exame radiográfico, verificou-se presença de área radiolúcida no terço apical dos dentes 41 e 42 e sobreobturação no 42. O dente 41 respondeu negativamente ao teste de vitalidade.

Qual o tratamento mais indicado?
Provas
Questão presente nas seguintes provas
INSTRUÇÃO: A questão refere-se à figura abaixo, que apresenta uma tela do Windows Explorer do Windows XP.

No Windows Explorer do Windows XP, NÃO é possível:
Provas
Questão presente nas seguintes provas
A Constituição Federal condiciona o legislador municipal a limites de competência legislativa. Sobre o assunto, assinale a assertiva correta.
Provas
Questão presente nas seguintes provas
Sobre as adenomegalias cervicais na infância, é correto afirmar:
Provas
Questão presente nas seguintes provas
O recurso Favoritos do Microsoft Internet Explorer 8 representa uma maneira conveniente de organizar as páginas da Web que são visitadas com maior frequência, criando links para elas. Sobre o assunto, analise as afirmativas a seguir.
I - Quando o usuário seleciona o menu Favoritos, opção Organizar Favoritos, é apresentada uma lista de links e/ou pastas, previamente armazenados.
II - Dentre as operações de organização dos favoritos podem ser executadas: Nova Pasta, Mover, Renomear ou Excluir.
III - A dificuldade com o recurso Favoritos é a sua dependência da máquina em que foi produzido, não havendo a possibilidade de reaproveitar/transferir para outra máquina.
Está correto o que se afirma em
Provas
Questão presente nas seguintes provas
A apuração e penalização da atitude administrativa ímproba foram contemporaneamente valorizadas em lei especial e de tal sorte que foram atribuídas essas tarefas para além das chefias das unidades administrativas, assim, ao Ministério Público e ao Poder Judiciário. Sobre o assunto, marque V para as afirmativas verdadeiras e F para as falsas.
( ) A Lei de Improbidade Administrativa tem efeito e estabelece penas sobre todos os agentes públicos, servidores públicos ou não, de qualquer instituição pública e mesmo aqueles que atuem em entidades cujo custeio forme mais da metade da receita anual.
( ) Os atos praticados contra o patrimônio de entidade que receba incentivo fiscal de órgão público e daquelas cuja participação do erário concorra com menos da metade da receita anual, a ação dos agentes pode se configurar em improbidade administrativa.
( ) Na descrição do que seja ato de improbidade administrativa, ou seja, da conduta ímproba, a norma especial não consagra modalidade culposa, na esteira da doutrina que se fundamenta no chamado direito administrativo sancionador, de acordo com majoritária posição jurisprudencial, no que se refere à perda patrimonial ou dano ao erário.
( ) As ideias de “má fé” ou de “dolo genérico” são costumeira e doutrinariamente precursoras da caracterização da ausência de modalidade culposa na conduta do agente público enquadrada em disposições da norma especial sobre improbidade administrativa.
Assinale a sequência correta.
Provas
Questão presente nas seguintes provas
1346611
Ano: 2011
Disciplina: Direito Cultural, Desportivo e da Comunicação
Banca: UFMT
Orgão: Câm. Cuiabá-MT
Disciplina: Direito Cultural, Desportivo e da Comunicação
Banca: UFMT
Orgão: Câm. Cuiabá-MT
Provas:
Levando em consideração os livros onde se fará o Registro de Bens Culturais de Natureza Imaterial que constituem patrimônio cultural brasileiro, numere a coluna da direita de acordo com a da esquerda.
| 1 – Registro dos Saberes |
( ) Conhecimentos e modos de fazer enraizados no cotidiano das comunidades.
|
| 2 – Registro das Celebrações |
( ) Mercados, feiras, santuários, praças e demais espaços onde se concentram e reproduzem práticas culturais coletivas.
|
| 3 – Registro das Formas de Expressão |
( ) Manifestações literárias, musicais, plásticas, cênicas e lúdicas.
|
| 4 – Registro dos Lugares |
( ) Rituais e festas que marcam a vivência coletiva do trabalho, da religiosidade, do entretenimento e de outras práticas da vida social.
|
Marque a sequência correta.
Provas
Questão presente nas seguintes provas
A hipertensão arterial é um dos principais fatores associados ao desenvolvimento de doenças cardiovasculares. O programa de atividade física tem como objetivo levar o paciente a alcançar um condicionamento físico satisfatório melhorando a eficiência cardíaca. A reabilitação cardíaca está indicada para paciente
Provas
Questão presente nas seguintes provas
Cadernos
Caderno Container