Magna Concursos

Foram encontradas 675 questões.

620071 Ano: 2018
Disciplina: Arquivologia
Banca: Consulplan
Orgão: Câm. Belo Horizonte-MG
Provas:
Sobre a Lei Municipal nº 5.900, de 20 de maio de 1991, que dispõe sobre a criação do Arquivo Público da Cidade de Belo Horizonte, assinale a alternativa correta.
Questão Anulada

Provas

Questão presente nas seguintes provas
620069 Ano: 2018
Disciplina: Direito do Trabalho
Banca: Consulplan
Orgão: Câm. Belo Horizonte-MG
Provas:
Segundo o doutrinador Sérgio Pinto Martins, o FGTS “é um depósito bancário destinado a formar uma poupança para o trabalhador, que poderá ser sacada nas hipóteses previstas na lei, principalmente quando é dispensado sem justa causa. Outrossim, servem os depósitos como forma de financiamento para aquisição de moradia pelo Sistema Financiamento da Habitação”. (MARTINS, Sérgio Pinto. Direito do Trabalho. 24. ed. São Paulo: Atlas, 2008. p. 435.)
Sobre o FGTS, assinale a alternativa INCORRETA.
Questão Anulada

Provas

Questão presente nas seguintes provas
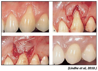
620024 Ano: 2018
Disciplina: Odontologia
Banca: Consulplan
Orgão: Câm. Belo Horizonte-MG
Provas:

Observe as imagens a seguir.

enunciado 620024-1

De acordo com a classificação dos retalhos quanto à espessura e sua posição após a sutura é correto afirmar que nesta técnica foram utilizados:

Questão Anulada

Provas

Questão presente nas seguintes provas
620022 Ano: 2018
Disciplina: Odontologia
Banca: Consulplan
Orgão: Câm. Belo Horizonte-MG
Provas:
As fraturas coronárias que envolvem esmalte, dentina e polpa são consideradas fraturas complicadas e ocorrem, de acordo com Lopes & Siqueira Jr, em cerca de 0,9 a 13% das injúrias dentárias. É correto afirmar que
Questão Anulada

Provas

Questão presente nas seguintes provas
620010 Ano: 2018
Disciplina: Odontologia
Banca: Consulplan
Orgão: Câm. Belo Horizonte-MG
Provas:

Uma das técnicas de cirurgia paraendodôntica é a apicetomia combinada. Nesta técnica, além da remoção do ápice radicular, é realizado também o tratamento endodôntico ortógrado ou retrógrado (Puricelli, 2013). Diante do exposto, analise as afirmativas a seguir.


I.
A retrocavidade deve ser realizada preferencialmente em visão direta sobre a superfície radicular amputada. Durante a remoção do material obturador, as paredes do conduto são ampliadas.


II.
A obturação retrógrada tem como objetivo o selamento da região apical. O material deve apresentar adequado vedamento, compatibilidade biológica, atividade antimicrobiana, radiolucidez e fácil manipulação.


III.
Devido à sua facilidade de manipulação, inserção e liberação de flúor o cimento de ionômero de vidro é indicado para vedamento da cavidade apical.

Está(ão) correta(s) apenas a(s) afirmativa(s)

Questão Anulada

Provas

Questão presente nas seguintes provas
619985 Ano: 2018
Disciplina: Engenharia Civil
Banca: Consulplan
Orgão: Câm. Belo Horizonte-MG
Provas:
O almoxarifado de uma obra deve dispor de um cadastro dos trabalhadores lotados no canteiro de obras e nesse cadastro devem constar os EPIs (Equipamentos de Proteção Individual) fornecidos aos mesmos, com data de entrega e assinatura. A partir dos dados fornecidos pelo fabricante, é possível ter uma ideia de vida útil dos EPI’s. Os EPI’s utilizados em obras e serviços devem, EXCETO:
Questão Anulada

Provas

Questão presente nas seguintes provas
619978 Ano: 2018
Disciplina: Engenharia Civil
Banca: Consulplan
Orgão: Câm. Belo Horizonte-MG
Provas:
Para a drenagem pluvial de edifícios, as calhas de beiral ou platibandas devem ter inclinação uniforme e, no mínimo, 0,5%. Quando a saída dessas calhas estiver a menos de 4,0 metros de uma mudança de direção, a vazão de projeto deve ser multiplicada por fatores multiplicativos. Quanto ao tipo de canto e distância de saída das calhas para a vazão de projeto, assinale a alternativa INCORRETA.
Questão Anulada

Provas

Questão presente nas seguintes provas
619945 Ano: 2018
Disciplina: Direito Constitucional
Banca: Consulplan
Orgão: Câm. Belo Horizonte-MG
Considerando as regras de seguridade social do servidor, vigentes até a EC nº 88/2015, uma servidora pública efetiva da Câmara Municipal que conta dez anos de serviço público, que possui mais de 5 anos de exercício no cargo efetivo, conta em 2018 com 28 anos totais de tempo de contribuição e 54 anos de idade, poderá se aposentar voluntariamente a partir do ano de
Questão Anulada

Provas

Questão presente nas seguintes provas
619940 Ano: 2018
Disciplina: Direito Constitucional
Banca: Consulplan
Orgão: Câm. Belo Horizonte-MG
Provas:
O Prefeito do Município X, no mês de março, decidiu realizar viagem para o exterior; para tanto, ausentou-se do Município por prazo superior ao permitido em lei, afastando-se da Prefeitura sem a necessária autorização da Câmara Municipal. Após o término do período de férias, retornou ao Município e reassumiu suas funções junto à Prefeitura Municipal. O Prefeito ilustrado no caso hipotético do enunciado incorreu em
Questão Anulada

Provas

Questão presente nas seguintes provas
619920 Ano: 2018
Disciplina: Direito Administrativo
Banca: Consulplan
Orgão: Câm. Belo Horizonte-MG
Provas:

Analise o seguinte trecho de julgamento:

Ementa: AGRAVO REGIMENTAL EM MEDIDA CAUTELAR EM RECLAMAÇÃO. NOMEAÇÃO DE IRMÃO DE GOVERNADOR DE ESTADO. CARGO DE SECRETÁRIO DE ESTADO. NEPOTISMO. Súmula Vinculante n. 13. (...)

Rei 6650 MC-AgR./PR – PARANÁ. AG.REG. NA MEDIDA CAUTELAR NA RECLAMAÇÃO. Relator(a): Min. ELLEN GRACIE. Julgamento: 16/10/2008. Órgão Julgador: Tribunal Pleno.

A nomeação de parentes para o exercício de função pública é considerada ofensa direta ao princípio da:

Questão Anulada

Provas

Questão presente nas seguintes provas