Foram encontradas 810 questões.
A Biologia de Sistemas propõe uma visão integrada dos sistemas
biológicos, enfatizando que as moléculas em uma célula ou em
um organismo não atuam isoladamente. Em vez disso, elas
interagem em redes complexas, influenciando mutuamente suas
funções. Essa perspectiva holística permite compreender como
a perturbação de um elemento pode impactar todo o sistema.
Dado esse contexto, como o conceito de “rede” dentro da
Biologia de Sistemas amplia nossa compreensão da área em
comparação aos estudos focados em moléculas individuais?
Provas
Questão presente nas seguintes provas
Ao adquirir um novo reagente, a ficha técnica informa que ele
é estável a 4 °C por 1 mês e, para armazenamento de longo
prazo (até 1 ano), deve ser mantido a -20 °C, evitando ciclos
repetidos de congelamento e descongelamento. Você prevê
que não utilizará todo o conteúdo do frasco dentro do primeiro
mês. Qual é a melhor estratégia para garantir a integridade do
reagente ao longo do tempo?
Provas
Questão presente nas seguintes provas
Em experimentos laboratoriais, a utilização de controles
positivos e negativos é fundamental para validar os resultados
e garantir a confiabilidade dos dados obtidos. Sobre esses
controles, assinale a alternativa correta.
Provas
Questão presente nas seguintes provas
No contexto da execução de um projeto de pesquisa ou da
publicação de um artigo científico, diversos procedimentos
são recomendados para garantir a qualidade e a ética do
trabalho. Assinale a alternativa que apresenta um
procedimento ético e recomendado.
Provas
Questão presente nas seguintes provas
A pesquisa científica deve seguir princípios éticos e legais
para garantir a integridade dos estudos e a proteção dos
envolvidos. Em relação a essa temática, assinale a alternativa
correta.
Provas
Questão presente nas seguintes provas
Uma pesquisadora está estudando a heterogeneidade celular
em um tumor de mama agressivo e deseja identificar
variações genômicas e transcriptômicas entre as células do
tumor. Ela pretende investigar quais mutações específicas
podem estar associadas à resistência a tratamentos e como
diferentes subpopulações celulares contribuem para a
progressão tumoral. Considerando a complexidade do tecido,
a pesquisadora decide utilizar uma abordagem de
sequenciamento de células únicas (single-cell sequencing).
Após a análise dos dados, ela observa que algumas células
apresentam mutações raras que não foram detectadas em
sequenciamentos convencionais de DNA tumoral a granel
(bulk sequencing). Além disso, a expressão gênica varia
significativamente entre diferentes populações celulares
dentro do mesmo tumor. Com base nesse caso, assinale a
alternativa que apresenta a principal vantagem do single-cell
sequencing em relação ao sequenciamento convencional.
Provas
Questão presente nas seguintes provas
Uma equipe de pesquisadores está investigando novas
abordagens terapêuticas para a Leucemia Mieloide Aguda
(LMA). Para entender melhor os mecanismos da doença e
testar novos tratamentos, eles utilizam um modelo de
camundongo geneticamente modificado, no qual foi inserida
uma mutação específica no gene FLT3, frequentemente
encontrada em pacientes com LMA. Após a introdução da
mutação, os camundongos desenvolvem características
clínicas semelhantes às observadas em humanos com a
doença, incluindo proliferação descontrolada de células
hematopoiéticas imaturas. Os pesquisadores então começam
a testar um novo inibidor de FLT3 nesses camundongos,
avaliando sua eficácia na redução da carga tumoral e na
melhora da sobrevida. Com base no caso apresentado,
assinale a alternativa que apresenta a principal vantagem no
uso de animais geneticamente modificados no estudo de
doenças hematopoiéticas.
Provas
Questão presente nas seguintes provas
A respeito da citometria de alta dimensão, é correto afirmar:
Provas
Questão presente nas seguintes provas
Um paciente de 65 anos apresentou fadiga, esplenomegalia e
infecções recorrentes. O hemograma revelou pancitopenia e
um aumento discreto de linfócitos circulantes. O médico
solicitou uma citometria de fluxo para caracterizar a população
celular, e os achados laboratoriais revelaram uma população
monoclonal de células B expressando CD19, CD20 forte,
CD22, CD11c, CD25 e CD103. Com base nesses achados,
assinale a alternativa que apresenta o diagnóstico mais
provável.
Provas
Questão presente nas seguintes provas
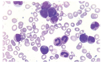
Paciente do sexo masculino, 42 anos, apresenta fadiga
progressiva e dor no abdômen superior nos últimos 3 meses.
Relata perda de peso não intencional e episódios de febre
baixa. O paciente tem antecedentes de hipertensão
controlada e não apresenta histórico familiar relevante de
câncer. Ao exame físico, apresenta esplenomegalia moderada
(baço palpável a 3 cm abaixo do rebordo costal) e
linfadenopatia discreta (gânglios palpáveis, mas não
dolorosos).
• Hemograma:
Leucócitos elevados (25.000/μL, com desvio à esquerda); Hemoglobina ligeiramente reduzida (11,5 g/dL); Plaquetas aumentadas (450.000/μL); Presença de mielócitos, metamielócitos e bastões.
O resultado do esfregaço de sangue periférico pode ser observado na imagem a seguir:
Com base na imagem do esfregaço de sangue periférico e nos achados clínicos e laboratoriais, assinale a alternativa que apresenta o diagnóstico mais provável.
• Hemograma:
Leucócitos elevados (25.000/μL, com desvio à esquerda); Hemoglobina ligeiramente reduzida (11,5 g/dL); Plaquetas aumentadas (450.000/μL); Presença de mielócitos, metamielócitos e bastões.
O resultado do esfregaço de sangue periférico pode ser observado na imagem a seguir:
Com base na imagem do esfregaço de sangue periférico e nos achados clínicos e laboratoriais, assinale a alternativa que apresenta o diagnóstico mais provável.
Provas
Questão presente nas seguintes provas
Cadernos
Caderno Container