Foram encontradas 80 questões.
Paciente vítima de trauma facial. A tomografia mostra traço de fratura segundo indicado na imagem abaixo.

Trata-se de uma fratura do tipo:
Provas
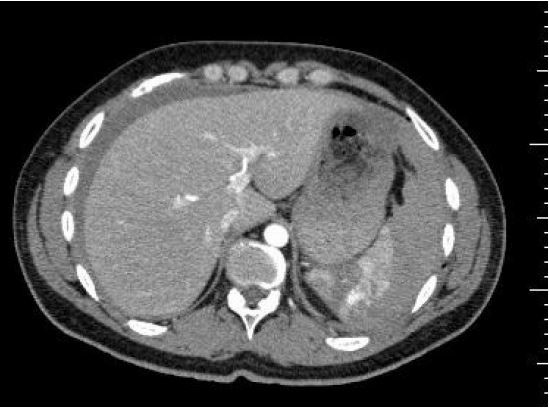
Homem 21a, vítima de agressão interpessoal é encaminhado para Unidade de Emergência Referenciada de um hospital terciário devido dor em hipocôndrio esquerdo para avaliação da equipe cirúrgica. Apresenta-se consciente e orientado; PA= 102x72mmHg; FC= 103bpm; FR= 18irpm; oximetria de pulso (ar ambiente): 99%. Realizou Tomografia Computadorizada com o seguinte achado:

Mediante o quadro clínico e exame complementar, a conduta é:
Provas
Mulher 40a, vitima de capotamento, apresenta traumatismo craniano grave. É encaminhada para UTI, onde se encontra há 12 horas em ventilação mecânica com sedação e analgesia. Apresenta: FiO2= 40%; Positive End Expiratory Pressure (PEEP)= 8; Saturação O2= 98%; Pressão Intracraniana (PIC)= 23mmHg; Pressão Arterial Média (PAM)= 70mmHg, K= 3,9mEq/L; Na= 149mEq/L. A conduta é:
Provas
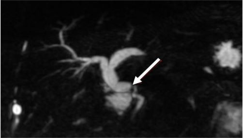
Paciente foi submetido a transplante hepático em outubro de 2016. Teve boa evolução no pós-operatório, com seguimento ambulatorial regular. Outros antecedentes: Infarto Agudo do Miocárdio há 4 meses e Doença Pulmonar Obstrutiva Crônica. Dois anos pós-transplante, paciente retorna com prurido progressivo, colúria, acolia fecal e icterícia há 15 dias. Traz consigo exames recentes: Hb= 10,5g/dl; Leucócitos= 8.500mm³ ; Plaquetas= 145.000mm³ ; Bilirrubinas total= 10,9mg/dL; Albumina= 4,5gdL; Fosfatase alcalina= 365U/L; Gamaglutamiltransferase= 1320U/L; AST= 34U/L; ALT= 24U/L; RNI=1,12; Creatinina= 0,8mg/dL. Ultrassonografia Doppler de abdome com achado de perviedade de vasos em hilo hepático e dilatação de árvore biliar intra-hepática. Solicitado colangiorressonância com imagem abaixo:

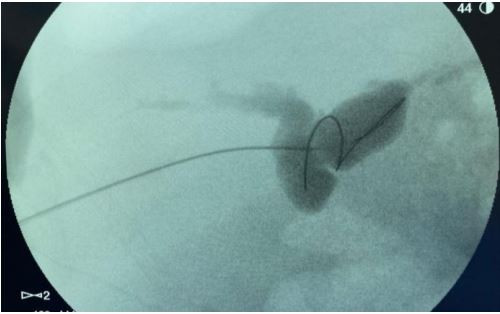
Realizada Colangiopancreatografia Retrógrada Endoscópica (CPRE) com achado abaixo, onde se observa dificuldade de passagem de fio guia devido tortuosidade de colédoco do receptor:

Frente ao presente caso, a melhor conduta é:
Provas
Em relação ao dispositivo abaixo apresentado, pode-se afirmar que:

Provas
Mulher, 41a, apresenta queixa de incontinência urinária aos esforços que se iniciou após o ultimo parto vaginal, há 3 anos. Nega urgência miccional e noctúria; utiliza um absorvente higiênico durante as atividades diárias para sua proteção. Exame físico: não apresenta significativo prolapso de órgãos pélvicos e foi observada perda urinária, a manobra de Valsalva. A fisiopatologia mais provável que justifica a queixa e o tratamento inicial, são respectivamente:
Provas
Qual a condição urodinâmica relaciona-se ao maior risco de deterioração do trato urinário em crianças com mielodisplasia?
Provas
Homem, 35a, se apresenta com queixa de dor peniana e detumescência imediata durante a relação sexual. No exame físico observa-se hematoma na região ventral da base do pênis, confirmado por meio de ultrassonografia peniana, realizada na admissão. Negou uretrorragia. O diagnóstico mais provável e a conduta são, respectivamente:
Provas
Homem, 42a, é encaminhado ao Ambulatório de Proctologia com quadro de anemia e tumor palpável em quadrante inferior direito do abdome. Refere avô paterno e um tio com neoplasia colorretal, aos 55 e 60 anos respectivamente, além de uma tia com neoplasia de útero. Podemos afirmar que se trata de:
Provas
A procidência retal é a exteriorização de todas as camadas do reto através do ânus. Em relação a esta enfermidade, é correto afirmar:
Provas
Caderno Container