Foram encontradas 80 questões.
Mulher, 64a, em investigação de nefrolitíase assintomática, foi diagnosticada com hiperparatireoidismo. Exames laboratoriais mostram: paratormônio= 121ng/dL e cálcio sérico= 10,9ng/dL. Na sequência diagnóstica, a cintilografia de paratireoides (Sestamibi) não evidenciou hipercaptação anômala. O próximo passo na propedêutica é:
Provas
Homem, 79a, branco. Antecedente de inúmeras ressecções de tumores de pele, todas com margens negativas. Última ressecção de lesão papulosa, esbranquiçada pré-tibial esquerda que revelou melanoma amelanótico, Breslow 1,6mm, sem ulceração. Submetido à ampliação de margens e pesquisa de linfonodo sentinela inguinal, sendo ambos negativos para melanoma. No seguimento tardio, evoluiu com lesão nodular subcutânea perimaleolar ipsilateral, cuja biópsia excisional revelou melanoma. Estadiamento com exames de imagem não mostrou doença visceral. O próximo passo na conduta é:
Provas
Paciente do sexo masculino apresenta fístula traqueoesofágica pós-intubação orotraqueal. Em relação a este quadro, é INCORRETO afirmar:
Provas
Mulher, 54a, tabagista, apresenta nódulo pulmonar em lobo superior direito. É correto afirmar:
Provas
Paciente é submetido a videotoracoscopia diagnóstica, à direita. O nervo assinalado pela seta é:

Provas
Paciente com diagnóstico de linfoma apresenta derrame pleural volumoso à direita, cuja toracocentese demonstrou quilotórax. Em relação a este achado podemos afirmar:
Provas
Menino com diagnóstico de anomalia anorretal, com colostomia, interna para investigação e possível correção da anomalia.

Pode-se afirmar que:
Provas
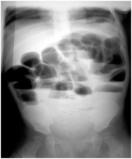
Menino, 4a, sem queixas anteriores, é atendido no pronto socorro, afebril, com dor abdominal intensa, tipo cólica, acompanhada de vômitos biliosos e parada de eliminação de gases e fezes. Realizou este radiograma de abdome em ortostática. Qual é a hipótese diagnóstica mais provável?

Provas
Lactente masculino apresenta infecção urinária de repetição e sepse. Tem diagnóstico pré-natal de hidronefrose bilateral. Realizou este exame radiológico contrastado.

Pode-se afirmar que:
Provas
Neonato prematuro de 1.000g apresenta abdome agudo perfurativo, com acidose metabólica e hipotensão. Foi submetido à laparotomia exploradora, com o diagnóstico de enterocolite necrosante. Em relação a esta doença, é correto afirmar:
Provas
Caderno Container