Foram encontradas 80 questões.
Homem 35a, vítima de colisão de moto contra anteparo fixo em alta velocidade, deu entrada na Unidade de Emergência Referenciada. Exame Físico: PA= 66x44mmHg; FC= 138bpm; FR= 22irpm; oximetria de pulso (ar ambiente)= 91%; Escala de Glasgow= 8 pontos; Abdome: dor e escoriação em hipocôndrio direito; sínfise púbica com abertura de 4cm. Na sala de emergência: Exame radiográfico de pelve com diversas fraturas no anel pélvico e em “livro aberto”; FAST (Focused Assessment with Sonography for Trauma): negativo. Realizadas fixação/estabilização do anel pélvico com lençol, intubação orotraqueal e reanimação volêmica com cristaloide aquecido e hemoderivados, evoluindo com: PA= 83x59mmHg; FC= 131 bpm; oximetria de pulso= 97%. A conduta, a seguir, é:
Provas
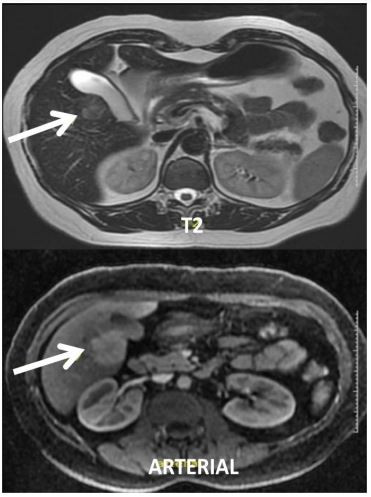
Paciente com antecedente de hepatopatia por vírus da hepatite C, tratado em 2017. Apresenta carga viral negativa. Em acompanhamento ambulatorial, ultrassonografia de abdome demonstra lesão em periferia de segmento V e endoscopia digestiva alta sem sinais de hipertensão portal. Exames laboratoriais: Hb= 12,3g/dL; Leucócitos= 3.500mm³ ; Plaquetas= 236.000mm³ ; Bilirrubina Total= 0,89mg/dL; Albumina= 4,8g/dL; RNI= 1,21; Na= 145mEq/L; Creatinina= 0,87mg/dL; Alfa fetoproteína= 1,4 mg/dL (MELD= 9) Realizou ressonância magnética com gadolíneo:

Mediante aos achados descritos, a hipótese diagnóstica e a conduta são:
Provas
Atualmente, no tratamento da doença de Crohn, damos importância não apenas a remissão clínica da doença, mas também sua remissão endoscópica. Em pacientes submetidos à ileotiflectomia, a avaliação da recidiva endoscópica é dada por meio da classificação de:
Provas
Homem, 49a, foi submetido à cirurgia bariátrica (Duodenal Switch) há 4 anos. Apresentava IMC= 54,3 kg/m2 e diabetes tipo 2 há 5 anos, em uso de insulina NPH, com irregular controle glicêmico. Atualmente, com IMC de 27,7 kg/m2 e euglicêmico, sem necessidade de medicamentos. Em relação a este caso, assinale a alternativa correta:
Provas
Homem em pós-operatório tardio de colectomia esquerda por adenocarcinoma de cólon T3N1M0. Avaliado em serviço de dermatologia que evidenciou cisto subcutâneo na fossa poplítea direita. Laudo anatomopatológico da ressecção: melanoma amelanótico metastático. O PET-CT de estadiamento mostrou múltiplas imagens pulmonares subpleurais, bilateralmente. A próxima conduta indicada no caso é:
Provas
Lactente, criada como menina, realizou cariótipo (46XX), não tem gônadas palpáveis e trouxe ultrassonografia com evidência de útero.

Qual é a hipótese diagnóstica e conduta apropriada?
Provas
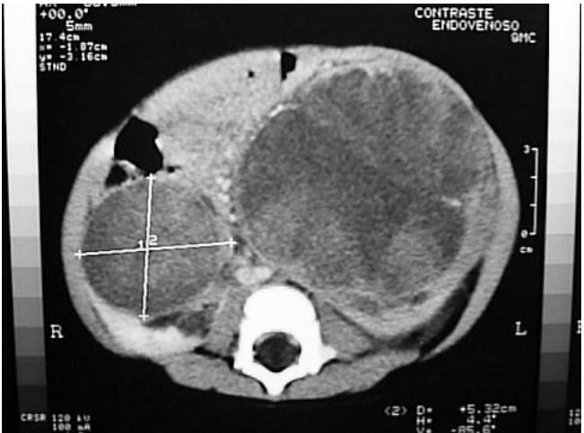
Lactente, 2a, assintomático, foi observado aumento de volume abdominal pela família. Procurou o pediatra que palpou “uma massa” em flanco esquerdo e solicitou a tomografia apresentada abaixo.

Qual é a hipótese diagnóstica e conduta inicial mais apropriada?
Provas
Durante a dissecção do esôfago torácico por via toracoscópica direita, faz-se a ligadura de uma veia que cruza o esôfago, no sentido posterior para anterior no mediastino. Esta veia denomina-se:
Provas
Homem, 57a, é atendido no ambulatório com quadro de disfagia progressiva há 6 meses acompanhada por emagrecimento de 20% do peso habitual. Refere conseguir ingerir apenas líquidos, com bastante dificuldade e regurgitação. Traz endoscopia digestiva alta que evidencia carcinoma do esôfago que se inicia a 32cm da arcada dentária superior, não permitindo a passagem do aparelho. Qual a conduta inicial para este paciente:
Provas
Em relação ao Delirium, podemos afirmar que:
Provas
Caderno Container