Foram encontradas 80 questões.
Mulher, 26a, acompanhada no ambulatório de lesões focais hepáticas, tem diagnóstico confirmado de adenoma hepático em segmento IV (SIV) medindo 5,1cm no maior eixo. Perdeu seguimento e retorna ao ambulatório, gestante (primigesta) no terceiro trimestre de gravidez, tendo realizado pré-natal em posto de saúde, com ultrassonografia trimestral. Último exame, feito há 15 dias evidencia lesão hipoecogênica em SIV, de 6,3cm. Apresenta discreta dor abdominal, incaracterística. Optado por realização de ressonância magnética de abdome confirmando lesão compatível com adenoma em SIV, medindo 6,2cm. A melhor conduta é:
Provas
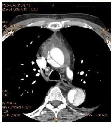
Paciente com dor torácica de forte intensidade há 3 horas, dá entrada no Pronto Socorro com PA= 120x80mmHg, FC= 80bpm, pulsos distais todos presentes e simétricos, sem alterações relevantes em ausculta cardíaca e pulmonar. Foi realizada tomografia de tórax apresentada abaixo:

A conduta para este caso é:
Provas
Paciente no quinto dia pós-infarto agudo do miocárdio (IAM) evoluído em parede inferior, internado desde então, acamado, apresentava boa evolução. Apresentou dispneia súbita, acompanhada de sudorese. Exame físico: sopro cardíaco na borda esternal, FC= 80bpm; PA= 110x70mmHg; FR= 20irpm; saturação O2 (ar ambiente)= 93%; ausculta pulmonar revela murmúrio vesicular presente, com crepitação nas bases. O provável diagnóstico é:
Provas
Paciente em pós-operatório imediato de troca de valva aórtica por prótese metálica devida estenose aórtica grave, apresenta a partir da segunda hora de pós-operatório, o seguinte ritmo cardíaco:

Baseado no eletrocardiograma acima, é correto afirmar:
Provas
A mais frequente complicação no pós-operatório imediato de transplante cardíaco é:
Provas
A anormalidade metabólica comumente associada às derivações urinárias continentes que se utilizam do íleo é:
Provas
Qual nervo deve ser dissecado com cuidado durante procedimentos urológicos na abordagem do canal inguinal?
Provas
Fístula sigmoido-vesical é um diagnóstico relativamente frequente no Ambulatório de Coloproctologia. Entre as diversas etiologias, a causa mais frequente é:
Provas
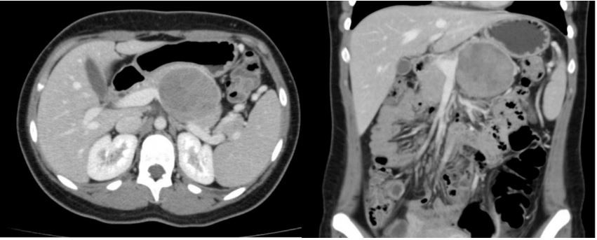
Mulher, 18a, apresenta leve dor em hipocôndrio esquerdo há 4 meses, sem outras queixas. Não possui antecedentes pessoais relevantes. Exame físico: presença de volumosa tumoração palpável em mesogástrio e hipocôndrio esquerdo. Realizada tomografia computadorizada de abdome superior, apresentada abaixo:

Considerando a topografia pancreática da lesão, assinale a alternativa que contenha a hipótese diagnóstica mais provável e o tratamento indicado:
Provas
Em paciente com carcinoma epidermoide de laringe avançado, na falha do tratamento conservador com quimio e radioterapia, está indicada laringectomia total de resgate. Durante o procedimento cirúrgico, o descolador de Freer pode ser utilizado num importante passo intraoperatório. Esta manobra tem como objetivo:
Provas
Caderno Container