Foram encontradas 1.914 questões.
No trabalho de pré-impressão, alguns elementos gráficos precisam constar da matriz e ser impressos na folha para auxiliar na impressão e no acabamento. São marcas de impressão:
1) marcas de corte.
2) áreas de máxima.
3) marcas de dobra.
4) marcas de meia-folha.
5) marcas de registro.
Estão corretas:
Provas
Questão presente nas seguintes provas
No final do século XVIII e início do século XIX, destacavam-se os pianos de fabricação vienense e o piano de fabricação inglesa, Broadwood. Algumas diferenças são apontadas entre estes dois tipos de piano, que contribuíram para que o piano Broadwood se mostrasse como um instrumento mais sonoro, mais pesado e resistente do que o piano Vienense. Dentre estas diferenças, inclui-se o fato de que:
- o tampo harmônico dos pianos ingleses era mais espesso do que o dos vieneses.
- o piano Broadwood utilizava três cordas, onde os Vienenses só empregavam duas.
- o diâmetro das cordas dos pianos ingleses era duas vezes maior do que o dos pianos vienenses.
- os martelos dos pianos ingleses eram mais pesados do que os dos vienenses, e, por isso, sua ação não era tão veloz quanto a dos pianos vienenses.
Estão corretas:
Provas
Questão presente nas seguintes provas
Sobre Internet e intranet, assinale a alternativa correta.
Provas
Questão presente nas seguintes provas
A parte manipulada na técnica do voicing é:
Provas
Questão presente nas seguintes provas
Quando um(a) bibliotecário(a) não encontrar na Classificação Decimal de Dewey (CDD) uma notação específica ou explícita para o assunto de uma obra, deve proceder da seguinte forma:
Provas
Questão presente nas seguintes provas
No que diz respeito à legitimação da Arquivística, assinale a alternativa correta.
Provas
Questão presente nas seguintes provas
Qual será o meio de consulta ao histórico funcional para os servidores públicos federais efetivos, comissionados ou a estes equiparados, no âmbito dos órgãos e entidades integrantes do Sistema de Pessoal Civil da Administração Federal – Sipec?
Provas
Questão presente nas seguintes provas
No período de Natal, um gerente concedeu um prêmio no valor de R$ 6.390,00 para seus três funcionários, dividindo-o em partes, inversamente proporcionais ao número de faltas que cada funcionário teve ao longo do ano. Se os funcionários faltaram 3, 5 e 7 dias, quanto recebeu o que faltou 5 dias?
Provas
Questão presente nas seguintes provas
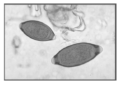
Observe a imagem de um exame parasitológico de fezes contendo ovos de um helminto e marque a alternativa correta quanto ao parasita em questão.

Provas
Questão presente nas seguintes provas
1814915
Ano: 2016
Disciplina: TI - Desenvolvimento de Sistemas
Banca: COVEST-COPSET
Orgão: UFPE
Disciplina: TI - Desenvolvimento de Sistemas
Banca: COVEST-COPSET
Orgão: UFPE
Provas:
Sistemas de gerenciamento de conteúdo (CMS) têm sido cada vez mais utilizados por gastar menos tempo na programação do site e sobrar maior dedicação com a aparência e atualização do conteúdo. Estão entre os mais populares:
1) Fireworks.
2) Wordpress.
3) Drupal.
4) Joomla.
5) InDesign.
Estão corretas:
Provas
Questão presente nas seguintes provas
Cadernos
Caderno Container