Foram encontradas 270 questões.
Paciente de 39 anos, G5P4 submetida a um parto vaginal não complicado e após a liberação da placenta tem significativo sangramento e você suspeita de atonia uterina como causa. Qual do seguinte plano de manuseio está CORRETO?
Provas
Paciente de 22 anos, sexo masculino, vítima de acidente motociclístico, evoluindo com traumatismo cranioencefálico, rebaixamento do nível de consciência, submetido a intubação orotraqueal e ventilação mecânica. Apresentou fratura exposta de fêmur com realização de fixação cirúrgica externa. Observado hérnia diafragmática traumática que foi corrigida cirurgicamente, sem lesão de vísceras ocas, porém, durante cirurgia apresentava edema de alças com retorno das vísceras a cavidade abdominal sob tensão. Instalado monitorização de pressão intra-abdominal (PIA). Ao exame físico: abdome distendido e tenso, taquipnéico (FR: 35ipm), Pressão Pico: 50cmH2O, complacência pulmonar: 20ml/cmH2O; hipotenso: PA: 75/40mmHg (necessitando de vasopressores), oligúrico: diurese: 0,2ml/Kg/h, PIA > 30mmHg. O próximo passo no manuseio do paciente deve ser:
Provas
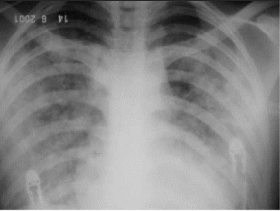
Paciente de 65 anos, sexo feminino, 50 kg, com história de diabetes, HAS e neoplasia de mama foi admitida com insuficiência respiratória aguda e diagnóstico de broncopneumonia, iniciado antimicrobianos, coletado culturas e subsequentemente intubada, após tentativa de ventilação não invasiva sem sucesso. Está ventilando com VC: 300ml, peep: 8, FR: 22. A gasometria arterial com FIO2: 70% é a seguinte: pH: 7,28, pCO2: 62, pO2: 84 e o RX tórax encontra-se em anexo abaixo. Submetida à punção de acesso venoso central com PVC: 16. Iniciado baixa dose de vasopressores (noradrenalina) por hipotensão e no momento PAM: 65mmHg. A diurese diminuiu para 0,3ml/Kg nas últimas 6 horas. Qual será o próximo passo no manuseio da paciente?
RX tórax 24 hrs após a admissão da paciente

Figura 2 - Radiografia de tórax 24 horas após internação mostrando maior confluência das consolidações
Avaliação do diâmetro veia cava inferior

Provas
Com relação à intoxicação exógena aguda e a síndrome clínica por ela ocasionada, correlacione a coluna da esquerda com a direita e assinale a alternativa CORRETA.
I. Antidepressivos
II. Organofosforados
III. Cocaína
IV. Alfa bloqueadores
(a) Ansiedade, alucinação, agitação, confusão mental, delirium, coma, convulsão, mioclonia, midríase, hipertermia, taquicardia, hipertensão, taquipneia, retenção urinária e redução dos ruídos intestinais, pele seca quente e avermelhada e mucosas secas.
(b) Ansiedade, agitação, alucinação, sudorese, tremor, hiperreflexia, convulsão, midríase, hipertermia, taquicardia, hipertensão, taquipneia, arritmias, dor precordial.
(c) Rebaixamento do nível de consciência, bradicardia, hipotensão, vômitos.
(d) Confusão, coma, convulsão, miose, bradicardia, hipotensão ou hipertensão, taquipneia ou bradipnéia, hipersalivação, broncorréia, broncoespasmo, lacrimejamento, incontinência fecal e urinária, diarreia, vômitos, sudorese, fasciculações musculares e fraqueza.
Provas
A respeito do choque, correlacione a coluna da esquerda com a direita e assinale a alternativa CORRETA:
I. Choque hipovolêmico
I. Choque cardiogênico
II. Choque distributivo
III. Choque obstrutivo
(a) PVC variável, POAP variável, SvO2 aumentada, DC aumentado, RVS reduzida
(b) PVC variável, POAP: variável, SvO2: reduzida, DC reduzido, RVS aumentada
(c) PVC reduzida, POAP: reduzida, SvO2: diminuída, DC: reduzido, RVS: aumentada
(d) PVC: aumentada, POAP: aumentada, SvO2: reduzida, DC: reduzido e RVS: aumentada
Provas
Paciente do sexo feminino, 22 anos, admitida na emergência, após acidente envolvendo esmagamento de seu carro contra uma árvore. chegada seus sinais vitais são os seguintes: PA: 70/40 mmHg; FC: 150 bpm; FR: 8 irpm e SaO2: 72%. Ao exame físico encontra-se não responsiva e cianótica. Apresenta murmúrio vesicular diminuído no hemitórax direito e tem uma grande laceração na coxa esquerda com sangramento pulsátil. Qual será a sua primeira conduta?
Provas
Considere as seguintes afirmações em relação ao choque hipovolêmico. Estão CORRETAS as seguintes alternativas:
I. Os dois órgãos mais comumente afetados no trauma fechado são o baço e o fígado;
II. Fraturas de fêmur resultarão em sangramento na coxa, mas a perda sanguínea é usualmente insignificante;
III. O estágio II do choque hipovolêmico está associado com uma redução de 15 a 30% do volume intravascular;
IV. O estágio III do choque hipovolêmico está associado com aumento de mortalidade.
Provas
Paciente do sexo masculino, 49 anos, PO tireoidectomia, apresenta queixas de palpitações com o início agudo de taquicardia, porém estável hemodinamicamente. Ao exame físico: FC: 160bpm, PA: 125/70mmHg, cujo ECG encontra-se abaixo demostrado. Que conduta se deve adotar?

Provas
Paciente do sexo masculino, 27 anos, 70 kg, apresenta queimaduras em aproximadamente 40% da área de superfície corporal total. Pela fórmula de Parkland qual a estimativa de fluidos nas primeiras 24h para esse paciente:
Provas
Com relação ao sangramento gastrointestinal podemos afirmar:
Provas
Caderno Container