Foram encontradas 270 questões.
Paciente sabidamente hipertenso com diagnóstico tomográfico de AVC isquêmico e que chega à urgência 5 horas após o início dos sintomas neurológicos. Nenhuma contraindicação a uso de trombolítico. A PA agora é de 200/105 mmHg. Marque a abordagem CORRETA para o manejo da hipertensão arterial deste paciente.
Provas
Os cistos de colédoco em crianças são classificados, utilizando os mesmo critérios de quando diagnosticados em adultos, assim como para o tratamento cirúrgico do cisto. Marque a alternativa CORRETA.
Provas
Qual dos seguintes é, isoladamente, o teste de triagem mais útil para complicações clinicamente significativas do trauma cardíaco fechado?
Provas
Uma mulher de 55 anos com DPOC apresenta-se com dispneia aguda, tosse purulenta e febre. Os sinais vitais são: Tax 38°C, FC 110 bpm, FR 22 irpm, PA 175/90 mmHg, SpO2 98% com oxigênio a 4L por cânula nasal. Ela tem tiragem discreta e roncos bilaterais. A radiografia de tórax não mostra infiltrados focais. A mesma recebeu inalação com salbutamol, metilprednisolona 125mg EV e levofloxacina 500mg EV, com mínima melhora do desconforto respiratório. Qual dos seguintes é a próxima conduta acertada?
Provas
Em crianças recém-nascidas é muito comum a associação de doenças, sendo que, em algumas anomalias congênitas, a ocorrência de malrotação intestinal está presente em 100% dos casos. Marque a alternativa CORRETA sobre as doenças que sempre estão associadas à malrotação intestinal.
Provas
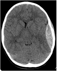
Um paciente de 23 anos chega ao pronto-socorro com perda de consciência após ser chutado na cabeça. Ele agora se encontra consciente e alerta e se queixa de cefaleia. A TC de crânio mostra a imagem ao lado. Logo após a TC, o paciente se torna não responsivo. Qual das seguintes é o próximo passo adequado na conduta?

Provas
Um tabagista de 65 anos de idade chega ao SPS, com início súbito de dispneia há 2 horas. Ele nega dor torácica, febre, tosse produtiva ou edema de membros inferiores. Os sinais vitais são: Tax 37°C, FC 95 irpm, FR 24 irpm, PA 200/95 mmHg, SpO2 92% em ar ambiente. A ausculta pulmonar revela sibilos bilaterais. Qual das seguintes melhor diferencia entre doença pulmonar obstrutiva crônica e insuficiência cardíaca congestiva?
Provas
Uma das dificuldades diagnóstica é a diversidade de doenças que se apresentam com quadro de dores abdominais, onde menos de 10% são de tratamento cirúrgico. Dentre essas doenças, marque a INCORRETA em relação aos diagnósticos diferenciais da apendicite aguda.
Provas
A apresentação clínica de apendicite aguda na infância é muito ampla e de difícil diagnóstico, sendo, por isto, diagnosticada e tratada tardiamente, devendo sempre ser conduzida por um especialista, pois os cuidados diferem muito dos pacientes adultos. Sobre esta doença, marque a alternativa INCORRETA.
Provas
Uma mulher de 56 anos apresenta-se com intoxicação aguda por organofosforado, com broncorreia severa, bradicardia e coma. Ela é entubada para proteção das vias aéreas e inicia-se atropina endovenosa. Após 10mg de atropina, a sua FC é de 130 bpm, a PA 160/90 mmHg, mas ainda com secreção brônquica abundante. Qual das seguintes é o próximo passo apropriado na conduta?
Provas
Caderno Container