Foram encontradas 490 questões.
De acordo com as Diretrizes da Sociedade Brasileira de Diabetes (2023), responda às questões de números 32 a 44.
Homem de 59 anos, hipertenso, apresenta os seguintes valores laboratoriais: glicemia de jejum = 105 (VR até 99mg/dL), hemoglobina glicada = 5,9 (VR até 5.6%), HDL colesterol = 47 (VR > 40mg/dL) e LDL colesterol = 175 (VR até 130mg/dL). Ao exame físico, apresenta índice de massa corporal (IMC) = 38kg/m2. O uso da metformina deve ser considerado, nesse caso, devido ao(à):
Provas
De acordo com as Diretrizes da Sociedade Brasileira de Diabetes (2023), responda às questões de números 32 a 44.
Com base na monitorização contínua da glicose, o tempo no alvo refere-se ao tempo relacionado ao número de leituras de glicemias que permaneceram dentro de um intervalo de glicemia considerado ideal (70-180mg/dL). Dessa forma, 70% do tempo no alvo equivale a um valor percentual de hemoglobina glicada de:
Provas
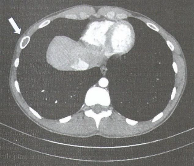
Paciente de 28 anos, apresenta achado tomográfico em arco costal revelado pela seta na figura a seguir.

Fonte: Locicero e col. (2019).
O provável diagnóstico é:
Provas
O prognóstico da ressecção de timoma relaciona-se, principalmente, ao(à):
Provas
A resolução CNS nº 553/2017 aprova a atualização da Carta dos Direitos e Deveres da Pessoa Usuária da Saúde. Sobre os direitos dos usuários do SUS, responda às questões de números 29 e 30.
Toda pessoa tem direito, em tempo hábil, ao acesso a bens e serviços ordenados e organizados para a garantia da promoção, prevenção, proteção, tratamento e recuperação da saúde. Essa diretriz define que o(s):
Provas
A resolução CNS nº 553/2017 aprova a atualização da Carta dos Direitos e Deveres da Pessoa Usuária da Saúde. Sobre os direitos dos usuários do SUS, responda às questões de números 29 e 30.
O direito ao atendimento integral, ético e humanizado com procedimentos adequados e em tempo hábil a resolver o problema de saúde dos usuários do SUS é uma das diretrizes da Carta dos Direitos dos Usuários da Saúde. Segundo essa diretriz, o encaminhamento para outros serviços de saúde deve ser por meio de um documento que contenha:
Provas
Sobre a Política Nacional de Humanização (PNH), responda às questões de números 25 e 26.
Um dos conceitos que norteiam o trabalho da PNH é o de criar espaços saudáveis, acolhedores e confortáveis, que respeitem a privacidade, propiciem mudanças no processo de trabalho e sejam lugares de encontro entre as pessoas. Este conceito refere-se à diretriz denominada:
Provas
Sobre a Política Nacional de Humanização (PNH), responda às questões de números 25 e 26.
Humanizar requer incluir as perspectivas de diferentes atores sobre os processos de gestão e de cuidado, pois as mudanças são construídas não por um indivíduo ou grupo isolado, mas de forma coletiva e compartilhada. Estimular a produção de novos modos de cuidar e novas formas de organizar o trabalho, conforme preconiza a PNH, requer:
Provas
Sobre os princípios e diretrizes do SUS, responda às questões de números 21 a 23.
Segundo Noronha, Lima e Machado (2012), o conjunto de princípios e diretrizes do SUS prevê a descentralização político-administrativa, com direção única em cada esfera de governo. O princípio de descentralização preconiza que:
Provas
Sobre os princípios e diretrizes do SUS, responda às questões de números 21 a 23.
O “conjunto articulado e contínuo de ações e serviços preventivos e curativos, individuais e coletivos, exigidos para cada caso em todos os níveis de complexidade do sistema” representa o princípio do(a):
Provas
Caderno Container