Foram encontradas 1.302 questões.

A melhor conduta neste caso é:
Provas
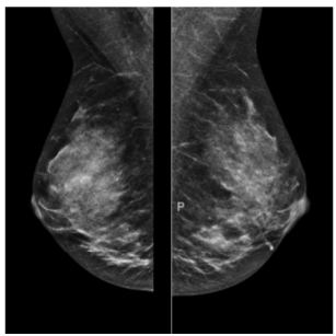
Considere as imagens da mamografia abaixo.

É possível afirmar que são imagens na posição
Provas
25 mm/seg 10.0mm/mV
Dentre as alternativas abaixo, a melhor conduta imediata a ser tomada é manter RCP e
Provas
Considere a figura abaixo.

Pela classificação de Hohl e Moore para fratura-luxação proximal da tíbia, a figura corresponde ao tipo
Provas
Provas
Provas
Provas
Provas
Atenção: Para responder à questão considere o seguinte caso.
MDPS, 7 anos de idade, sexo feminino, foi levada pela mãe à Unidade Básica de Saúde (UBS). Na anamnese, a mãe referiu que "já tem uns meses" que a garota "estava ruim para comer e meio abatida", que está "ficando fraquinha" e que "toda hora tem dor de barriga". "Nos últimos dias", ocorreram episódios recorrentes de vômito. Negou ocorrência dos seguintes sinais e sintomas: fezes escurecidas, febre na última semana, dores articulares e dores de cabeça. O exame clínico não revelou alterações dermatológicas significativas. Em relação às condições familiares e socioeconômicas, MDPS tem dois irmãos e a família, com pai e mãe presentes. A avó e uma tia de MDPS residem na mesma casa, sendo esta de alvenaria, com energia elétrica. O acesso à água para consumo humano é proveniente de poço superficial, localizado próximo a um riacho com baixo fluxo de água corrente.
Provas
Provas
Caderno Container