Foram encontradas 50 questões.
A disponibilização das resinas compostas fotoativadas no mercado odontológico tem possibilitado o restabelecimento da forma, da estética e da função de dentes anteriores e posteriores. Sobre o processo de fotopolimerização, analise as afirmativas a seguir.
I. Nas resinas compostas fotoativadas, o primeiro passo da reação é a excitação do agente fotossensível, normalmente a canforoquinona.
II. Os aparelhos fotopolimerizadores que utilizam luz halógena necessitam de um sistema de ventilação.
III. Os aparelhos fotopolimerizadores que utilizam luz LED, considerados de segunda geração, apresentam baixa potência e não são mais utilizados em odontologia.
Está(ão) correta(s) apenas a(s) afirmativa(s)
Provas
Questão presente nas seguintes provas
- SUSLei 8.080/1990: Lei Orgânica da SaúdeSistema Único de SaúdePrincípios, Objetivos, Diretrizes e Atribuições.Arts. 5º e 6º: Objetivos e Atribuições
A Lei nº 8.080 de 1990 dispõe sobre as condições de promoção e proteção à saúde. Ao descrever os objetivos do SUS, um de seus implica se em:
Provas
Questão presente nas seguintes provas
“Em uma prótese total a zona ___________________ deve manter contato constante com a mucosa de revestimento, pois, em razão de sua mobilidade, o vedamento é mantido, o que favorece a retenção da prótese.” Assinale a alternativa que completa corretamente a afirmativa anterior.
Provas
Questão presente nas seguintes provas
Nick Vujicic: australiano sem braços e pernas passará em 5 cidades do Brasil em Outubro de 2016
Histórias de superação são sempre fascinantes, porque nos mostram que vencer as dificuldades, por piores que elas sejam, é possível. A incrível e emocionante vida do australiano Nick Vujicic já tinha sido transformada em livros, e agora ele chega com uma turnê ao vivo entre 3 e 8 de outubro no Brasil. Já estão confirmadas as cidades do Rio de Janeiro e São Paulo.
Nick Vujicic nasceu sem pernas e sem braços devido a uma síndrome rara, denominada tetra-amelia, que ocorre por falha na formação embrionária. Apesar de suas limitações, aprendeu a escrever com a boca, a digitar, nadar, mergulhar, surfar, jogar futebol, andar de skate, jogar golfe... Formou-se em Economia e Contabilidade, casou-se e é pai. Não satisfeito, tornou-se palestrante motivacional e escritor best-seller. Já falou para mais de seis milhões de pessoas, em 50 países, sendo sempre ovacionado pelo público.
“Sabe por que consigo fazer tudo isso? Porque não tenho medo de dificuldades e me esforço bastante!”, conta Nick, no seu livro Me Dá Um Abraço, lançado pela editora Mundo Cristão. Em oito capítulos ricamente ilustrados, o autor narra alguns acontecimentos que mais marcaram sua vida, sempre ressaltando a importância do amor e dos gestos daqueles que influenciaram positivamente sua trajetória. Logo no primeiro capítulo ele traz o emocionante relato sobre um encontro com uma garotinha de três anos de idade, que o olhava espantada, mas que, para a surpresa dele, aproximou-se para abraçá-lo com os braços para trás. “Que jeito mais especial de abraçar! Esticou o pescoço, apoiou a cabeça em meu ombro e pressionou seu pescoço de leve contra o meu. Nós nos abraçamos como duas girafas”, escreveu.
(Disponível em: https://noticias.terra.com.br/
dino/nick-vujicic-australiano-sem-bracos-e-pernas-passara-em-5-cidades-do-brasil-em outubrode- 2016,980ba27b0a6dc406c5664e4e45e0a12ad1jp4dqy.html.)
As sugestões de alterações para os trechos selecionados a seguir apresentam mudança de pessoa verbal, dentre as sugestões pode-se afirmar que ocorre INADEQUAÇÃO gramatical apenas em:
Provas
Questão presente nas seguintes provas
Nick Vujicic: australiano sem braços e pernas passará em 5 cidades do Brasil em Outubro de 2016
Histórias de superação são sempre fascinantes, porque nos mostram que vencer as dificuldades, por piores que elas sejam, é possível. A incrível e emocionante vida do australiano Nick Vujicic já tinha sido transformada em livros, e agora ele chega com uma turnê ao vivo entre 3 e 8 de outubro no Brasil. Já estão confirmadas as cidades do Rio de Janeiro e São Paulo.
Nick Vujicic nasceu sem pernas e sem braços devido a uma síndrome rara, denominada tetra-amelia, que ocorre por falha na formação embrionária. Apesar de suas limitações, aprendeu a escrever com a boca, a digitar, nadar, mergulhar, surfar, jogar futebol, andar de skate, jogar golfe... Formou-se em Economia e Contabilidade, casou-se e é pai. Não satisfeito, tornou-se palestrante motivacional e escritor best-seller. Já falou para mais de seis milhões de pessoas, em 50 países, sendo sempre ovacionado pelo público.
“Sabe por que consigo fazer tudo isso? Porque não tenho medo de dificuldades e me esforço bastante!”, conta Nick, no seu livro Me Dá Um Abraço, lançado pela editora Mundo Cristão. Em oito capítulos ricamente ilustrados, o autor narra alguns acontecimentos que mais marcaram sua vida, sempre ressaltando a importância do amor e dos gestos daqueles que influenciaram positivamente sua trajetória. Logo no primeiro capítulo ele traz o emocionante relato sobre um encontro com uma garotinha de três anos de idade, que o olhava espantada, mas que, para a surpresa dele, aproximou-se para abraçá-lo com os braços para trás. “Que jeito mais especial de abraçar! Esticou o pescoço, apoiou a cabeça em meu ombro e pressionou seu pescoço de leve contra o meu. Nós nos abraçamos como duas girafas”, escreveu.
(Disponível em: https://noticias.terra.com.br/
dino/nick-vujicic-australiano-sem-bracos-e-pernas-passara-em-5-
cidades-do-brasil-em outubrode- 2016,980ba27b0a6dc406c5664e4e45e0a12ad1jp4dqy.html.)
É possível identificar elementos que constituem um discurso subjetivo em:
Provas
Questão presente nas seguintes provas
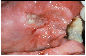
“Paciente idoso, fumante, chegou ao consultório odontológico reclamando de uma ferida na face ventral da língua. Não sabia informar ao certo quando surgiu, mas relatou que percebeu há dois meses.” Analise a imagem relacionada ao caso exposto.

Qual é o diagnóstico?
Provas
Questão presente nas seguintes provas
Nick Vujicic: australiano sem braços e pernas passará em 5 cidades do Brasil em Outubro de 2016
Histórias de superação são sempre fascinantes, porque nos mostram que vencer as dificuldades, por piores que elas sejam, é possível. A incrível e emocionante vida do australiano Nick Vujicic já tinha sido transformada em livros, e agora ele chega com uma turnê ao vivo entre 3 e 8 de outubro no Brasil. Já estão confirmadas as cidades do Rio de Janeiro e São Paulo.
Nick Vujicic nasceu sem pernas e sem braços devido a uma síndrome rara, denominada tetra-amelia, que ocorre por falha na formação embrionária. Apesar de suas limitações, aprendeu a escrever com a boca, a digitar, nadar, mergulhar, surfar, jogar futebol, andar de skate, jogar golfe... Formou-se em Economia e Contabilidade, casou-se e é pai. Não satisfeito, tornou-se palestrante motivacional e escritor best-seller. Já falou para mais de seis milhões de pessoas, em 50 países, sendo sempre ovacionado pelo público.
“Sabe por que consigo fazer tudo isso? Porque não tenho medo de dificuldades e me esforço bastante!”, conta Nick, no seu livro Me Dá Um Abraço, lançado pela editora Mundo Cristão. Em oito capítulos ricamente ilustrados, o autor narra alguns acontecimentos que mais marcaram sua vida, sempre ressaltando a importância do amor e dos gestos daqueles que influenciaram positivamente sua trajetória. Logo no primeiro capítulo ele traz o emocionante relato sobre um encontro com uma garotinha de três anos de idade, que o olhava espantada, mas que, para a surpresa dele, aproximou-se para abraçá-lo com os braços para trás. “Que jeito mais especial de abraçar! Esticou o pescoço, apoiou a cabeça em meu ombro e pressionou seu pescoço de leve contra o meu. Nós nos abraçamos como duas girafas”, escreveu.
(Disponível em: https://noticias.terra.com.br/
dino/nick-vujicic-australiano-sem-bracos-e-pernas-passara-em-5-cidades-do-brasil-em outubrode- 2016,980ba27b0a6dc406c5664e4e45e0a12ad1jp4dqy.html.)
Dentre as estratégias de referenciação pode-se indicar a retomada do objeto já presente no discurso. Dentre os trechos a seguir, tal estratégia só NÃO pode ser identificada em:
Provas
Questão presente nas seguintes provas
“De acordo com a ação biológica, os antibióticos podem ser classificados como bactericidas, quando capazes de, nas concentrações habitualmente atingidas no sangue, determinar a morte dos micro-organismos sensíveis, ou bacteriostáticos, quando inibem o crescimento e a multiplicação dos micro-organismos sensíveis, sem, todavia, destrui-los.”
(Andrade, 2013.)
Baseando-se na afirmativa anterior, qual dos antibióticos citados a seguir é bactericida?
Provas
Questão presente nas seguintes provas
“Segundo dados do Boletim Epidemiológico de HIV/AIDS de 2016, há uma tendência de aumento na proporção de casos de AIDS em um determinado grupo populacional nos últimos dez anos, a qual passou de 35,3% em 2006 para 45,4% em 2015.” Trata-se do grupo:
Provas
Questão presente nas seguintes provas
“Conjunto de ações capaz de eliminar, diminuir ou prevenir riscos à saúde e de intervir nos problemas sanitários decorrentes do meio ambiente, da produção e circulação de bens e da prestação de serviços de interesse à saúde.”
É correto afirmar que a afirmativa se refere a um serviço denominado:
Provas
Questão presente nas seguintes provas
Cadernos
Caderno Container