Foram encontradas 89 questões.
Provas
- Aspectos Básicos
- Ciclo Vital dos DocumentosTeoria das Três Idades
- ClassificaçãoClassificação de Arquivos
- Gestão de Documentos
Provas
Leia com atenção:
“Procedimento administrativo pelo qual o órgão ambiental competente licencia a localização, instalação, ampliação e a operação de empreendimentos e atividades utilizadoras de recursos ambientais, consideradas efetiva ou potencialmente poluidoras ou daquelas que, sob qualquer forma, possam causar degradação ambiental, considerando as disposições legais e regulamentares e as normas técnicas aplicáveis ao caso.”
O trecho acima apresenta a definição segundo a resolução 237/97 do CONAMA, referente:
Provas
- Responsabilidade AmbientalResponsabilidade Administrativa
- Responsabilidade AmbientalResponsabilidade Civil
- Responsabilidade AmbientalResponsabilidade Penal
Provas
Provas
Provas
Para os fins previstos na Lei nº 6.938/81, entende-se por poluição, a degradação da qualidade ambiental resultante de atividades que direta ou indiretamente:
- Prejudiquem a saúde, a segurança e o bem-estar da população;
- Criem condições adversas às atividades sociais e econômicas;
- Afetem desfavoravelmente a biota;
- Afetem as condições estéticas ou sanitárias do meio ambiente;
- Lancem matérias ou energia em de acordo com os padrões ambientais estabelecidos.
Dos itens acima:
Provas
Provas

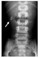
A radiografia simples de abdome acima evidencia imagens radiopacas no hipocôndrio direito caracterizando:
Provas
I- É causada pelo vírus varicela-zoster, transmitido pelo contato com secreção das vesículas ou respiratória de indivíduo infectado. O período de incubação é de 14 a 21 dias;
II- O contágio ocorre no período de dois dias antes do aparecimento do exantema até cinco dias após (período que todas as lesões estejam em fase de crosta);
III- O pródromo é caracterizado por febre baixa e mal-estar. O exantema inicia na face, couro cabeludo ou tronco e evolui com máculas, pápulas, vesículas e crostas e tem aspecto polimorfo (em uma mesma região, lesões em vários estágios evolutivos), acomete mucosas e é pruriginoso.
Dos itens acima:
Provas
Caderno Container