Foram encontradas 1.010 questões.
A função da grade antidifusora em um aparelho de raios X é
Provas
Órgão localizado no abdome e que tem como uma de suas funções a produção de amilase e lipase:
Provas
Osso que se articula com a maioria dos ossos da órbita e da face, exceto com o osso frontal. A má-formação de sua sutura mediana provoca a má-formação conhecida como fenda lábio-palatina.
Trata-se do(a)
Provas
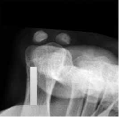
A seguir, observe a imagem de uma radiografia.

(Arquivo pessoal; imagem usada com autorização)
Assinale a alternativa que corretamente descreve o que está identificado na radiografia.
Provas
Uma conduta ética esperada do profissional das técnicas radiológicas em relação aos seus colegas é
Provas
De acordo com o Código de Ética, é dever fundamental do profissional das técnicas radiológicas, em relação ao cliente / paciente,
Provas
Assinale a alternativa que está em conformidade com a RDC nº 171, de 4 de setembro de 2006, que dispõe sobre o regulamento técnico para funcionamento de bancos de leite humano.
Provas
De acordo com a Lei nº 11.346, de 15 de setembro de 2006, que criou o Sistema Nacional de Segurança Alimentar e Nutricional (SISAN), a segurança alimentar e nutricional consiste
Provas
De acordo com a Portaria do Centro de Vigilância Sanitária (CVS) nº 5, de 09 de abril de 2013, qual a periocidade de realização dos exames médicos e laboratoriais dos manipuladores de alimento?
Provas
É uma desvantagem do sistema descentralizado de distribuição de refeições:
Provas
Caderno Container