Magna Concursos

Foram encontradas 1.010 questões.

3544644 Ano: 2024
Disciplina: Medicina
Banca: VUNESP
Orgão: Pref. Peruíbe-SP
Provas:

Homem de 52 anos, com histórico de hipertensão arterial sistêmica não aderente ao tratamento, apresenta-se no pronto-socorro com cefaleia súbita e intensa, acompanhada por vômitos e rápida deterioração do nível de consciência.

A tomografia computadorizada (TC) encontra-se a seguir.

Enunciado 4100220-1

(https://www.google.com/url?sa=i&url=https%3A%2F%2Fradiopaedia.org)

Com base nos protocolos atuais para manejo avançado do acidente vascular cerebral hemorrágico (AVCH), das opções apresentadas, assinale a alternativa que melhor reflete a conduta terapêutica inicial mais adequada.

 

Provas

Questão presente nas seguintes provas
3544643 Ano: 2024
Disciplina: Psiquiatria
Banca: VUNESP
Orgão: Pref. Peruíbe-SP
Provas:

Paciente de 28 anos apresenta-se ao consultório relatando episódios recorrentes de crises convulsivas generalizadas. Após uma avaliação diagnóstica completa, incluindo eletroencefalograma (EEG) e ressonância magnética cerebral, ela é diagnosticada com epilepsia do lobo temporal refratária a monoterapia antiepiléptica.

Com base no atual entendimento da terapêutica para esta condição, das seguintes estratégias, assinale a alternativa que representa o próximo passo mais adequado no manejo dessa paciente.

 

Provas

Questão presente nas seguintes provas
3544642 Ano: 2024
Disciplina: Medicina
Banca: VUNESP
Orgão: Pref. Peruíbe-SP
Provas:

As algias craniofaciais representam um grupo diverso de condições que causam dor na região da cabeça e face. Dentre os diferentes tipos, a neuralgia do trigêmeo é uma das mais caracteristicamente descritas por sua dor paroxística e lancinante. Qual dos seguintes achados clínicos é mais típico da neuralgia do trigêmeo?

 

Provas

Questão presente nas seguintes provas
3544641 Ano: 2024
Disciplina: Medicina
Banca: VUNESP
Orgão: Pref. Peruíbe-SP
Provas:

As infecções do sistema nervoso central, como meningites e encefalites, possuem características clínicas e etiológicas distintas. Considerando os achados laboratoriais típicos no líquido cefalorraquidiano (LCR) de pacientes com suspeita dessas condições, das alternativas seguintes, assinale a que, corretamente, corresponde ao perfil mais comumente encontrado em casos de meningite bacteriana aguda.

 

Provas

Questão presente nas seguintes provas
3544640 Ano: 2024
Disciplina: Medicina
Banca: VUNESP
Orgão: Pref. Peruíbe-SP
Provas:

Durante a avaliação semiológica da motricidade, diversos aspectos são considerados para determinar a integridade do sistema motor.

Assinale qual sinal ou sintoma é mais sugestivo de uma lesão no trato corticoespinhal.

 

Provas

Questão presente nas seguintes provas
3544639 Ano: 2024
Disciplina: Medicina
Banca: VUNESP
Orgão: Pref. Peruíbe-SP
Provas:

A neuromielite óptica (NMO), também conhecida como doença de Devic, é uma condição autoimune que afeta primariamente o nervo óptico e a medula espinhal. Recentemente, anticorpos específicos têm sido associados à patogênese da NMO. Dos seguintes anticorpos, aquele que tem um papel central na fisiopatologia da NMO e pode ser usado como marcador diagnóstico para distinguir esta condição de outras desordens desmielinizantes do sistema nervoso central é:

 

Provas

Questão presente nas seguintes provas
3544638 Ano: 2024
Disciplina: Medicina
Banca: VUNESP
Orgão: Pref. Peruíbe-SP
Provas:

Considerando os mecanismos fisiopatológicos relacionados aos distúrbios do sono, dentre as seguintes alternativas, assinale a que melhor descreve a relação entre apneia obstrutiva do sono (AOS) e suas consequências sistêmicas.

 

Provas

Questão presente nas seguintes provas
3544637 Ano: 2024
Disciplina: Medicina
Banca: VUNESP
Orgão: Pref. Peruíbe-SP
Provas:

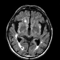
Paciente de 72 anos é referida ao consultório neurológico com queixas progressivas de perda de memória, alterações no comportamento e dificuldade em realizar tarefas diárias complexas, observadas pela família nos últimos dois anos. A avaliação cognitiva estruturada revela déficits significativos na memória episódica, funções executivas e orientação visuoespacial. O exame neurológico é notável por marcha apráxica e presença leve de rigidez axial. A ressonância magnética (RM) encontra-se a seguir.

Enunciado 4100213-1

(https://www.google.com/url?sa=i&url=https%3A%2F%2Fradiopaedia.org)

Com base nesses achados clínicos e radiológicos, das seguintes condições, assinale a que representa, corretamente, o diagnóstico mais provável.

 

Provas

Questão presente nas seguintes provas
3544636 Ano: 2024
Disciplina: Medicina
Banca: VUNESP
Orgão: Pref. Peruíbe-SP
Provas:

Mulher de 28 anos, com histórico conhecido de lúpus eritematoso sistêmico (LES), é admitida na clínica com queixas recentes de cefaleia, confusão mental e episódios intermitentes de parestesias nas mãos. O exame neurológico demonstra déficits cognitivos leves e hiperreflexia bilateral sem outras anormalidades focais. A ressonância magnética (RM) do encéfalo não mostra lesões isquêmicas agudas ou crônicas, nem evidências de vasculite cerebral.

Considerando o diagnóstico diferencial para manifestações neuropsiquiátricas no LES, das seguintes opções, assinale a que representa a explicação mais provável para os sintomas apresentados pela paciente.

 

Provas

Questão presente nas seguintes provas
3544635 Ano: 2024
Disciplina: Medicina
Banca: VUNESP
Orgão: Pref. Peruíbe-SP
Provas:

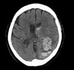
Paciente de 30 anos, previamente saudável, apresenta-se com um quadro clínico de duas semanas de evolução caracterizado por cefaleia persistente, febre baixa e rigidez nucal. O exame do líquido cefalorraquidiano (LCR) revela pleocitose linfocítica, hipoglicorraquia e hiperproteinorraquia.

A tomografia computadorizada (TC) do crânio encontra-se a seguir.

Enunciado 4100211-1

(https://www.google.com/imgres? imgurl=https%3A%2F%2Fwww.researchgate.net%2Fpublication%)

Das seguintes etiologias, a mais provável para os achados clínicos e laboratoriais nesse paciente é:

 

Provas

Questão presente nas seguintes provas