Magna Concursos

Foram encontradas 1.010 questões.

3544674 Ano: 2024
Disciplina: Medicina
Banca: VUNESP
Orgão: Pref. Peruíbe-SP
Provas:

A paralisia cerebral discinética é caracterizada por

 

Provas

Questão presente nas seguintes provas
3544673 Ano: 2024
Disciplina: Medicina
Banca: VUNESP
Orgão: Pref. Peruíbe-SP
Provas:

Os erros inatos do metabolismo frequentemente têm manifestações neurológicas, e seus sintomas se iniciam na infância. Por esse motivo, o neurologista pediátrico deve ter conhecimento sobre eles. Assinale a alternativa correta em relação ao tratamento dessas condições.

 

Provas

Questão presente nas seguintes provas
3544672 Ano: 2024
Disciplina: Medicina
Banca: VUNESP
Orgão: Pref. Peruíbe-SP
Provas:

Qual dos critérios a seguir é uma das condições para elegibilidade para recebimento do bolsa família?

 

Provas

Questão presente nas seguintes provas
3544671 Ano: 2024
Disciplina: Medicina
Banca: VUNESP
Orgão: Pref. Peruíbe-SP
Provas:

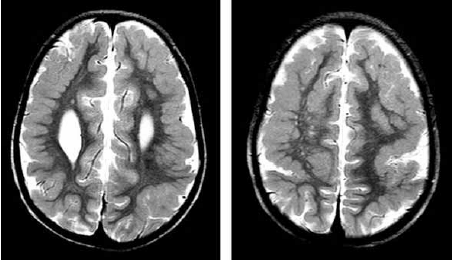
Paciente com atraso global do desenvolvimento e epilepsia. Na investigação foi realizada a ressonância magnética de crânio a seguir.

Enunciado 4100247-1

A achado de imagem sugere

 

Provas

Questão presente nas seguintes provas
3544670 Ano: 2024
Disciplina: Medicina
Banca: VUNESP
Orgão: Pref. Peruíbe-SP
Provas:

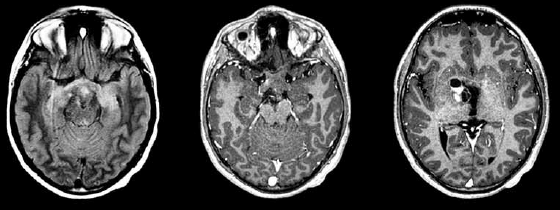
Paciente de 2 anos apresenta nistagmo e perda visual há 3 meses. Realizou o exame de imagem a seguir.

Enunciado 4100246-1

Qual é o provável diagnóstico?

 

Provas

Questão presente nas seguintes provas
3544669 Ano: 2024
Disciplina: Medicina
Banca: VUNESP
Orgão: Pref. Peruíbe-SP
Provas:

Na avaliação de um lactente com espasmos epilépticos são observados manchas hipocrômicas e antecedente de tumor intracardíaco. Em relação à principal hipótese diagnóstica, é correto afirmar que

 

Provas

Questão presente nas seguintes provas
3544668 Ano: 2024
Disciplina: Medicina
Banca: VUNESP
Orgão: Pref. Peruíbe-SP
Provas:

Em relação ao diagnóstico de gangliosidose GM2, pode-se afirmar:

 

Provas

Questão presente nas seguintes provas
3544667 Ano: 2024
Disciplina: Medicina
Banca: VUNESP
Orgão: Pref. Peruíbe-SP
Provas:

Na avaliação de um lactente do sexo masculino com hipotonia que parou de ter ganhos motores aos 6 meses é notada arreflexia global. Tem dosagem de CPK normal. Sobre a investigação, é correto afirmar que

 

Provas

Questão presente nas seguintes provas
3544666 Ano: 2024
Disciplina: Medicina
Banca: VUNESP
Orgão: Pref. Peruíbe-SP
Provas:

O padrão típico do líquor na meningite bacteriana aguda não tratada é: pleocitose

 

Provas

Questão presente nas seguintes provas
3544665 Ano: 2024
Disciplina: Medicina
Banca: VUNESP
Orgão: Pref. Peruíbe-SP
Provas:

Em relação à enxaqueca na infância e na adolescência, assinale a alternativa correta.

 

Provas

Questão presente nas seguintes provas