Magna Concursos

Foram encontradas 1.010 questões.

3544634 Ano: 2024
Disciplina: Medicina
Banca: VUNESP
Orgão: Pref. Peruíbe-SP
Provas:

Homem de 45 anos apresenta-se ao consultório médico relatando fraqueza muscular progressiva e simétrica dos membros inferiores, que começou há aproximadamente seis meses. Ele menciona dificuldades em subir escadas e levantar-se de uma cadeira sem auxílio. Nega antecedentes de doenças prévias ou uso de medicamentos. O exame físico revela atrofia leve dos músculos proximais das coxas, com preservação da força muscular distal nos membros inferiores e superiores. Os reflexos tendinosos estão normais, e não há evidência de envolvimento sensorial ou autonômico. A CreatinoKinase (CK) sérica está discretamente elevada.

Assinale a alternativa que apresenta a etiologia mais provável para esse quadro clínico.

 

Provas

Questão presente nas seguintes provas
3544633 Ano: 2024
Disciplina: Medicina
Banca: VUNESP
Orgão: Pref. Peruíbe-SP
Provas:

Paciente de 22 anos é admitida na unidade de emergência com cefaleia intensa, vômitos e alteração do nível de consciência. A tomografia computadorizada (TC) do crânio não demonstrou lesões expansivas ou sinais óbvios de hemorragia intracraniana. A fundoscopia revela papiledema bilateral. O exame neurológico indica presença de bradicardia e hipertensão arterial sistêmica. Com base nestes achados clínicos, das seguintes medidas terapêuticas apresentadas, assinale a que é a mais indicada para o manejo inicial dessa paciente.

 

Provas

Questão presente nas seguintes provas
3544632 Ano: 2024
Disciplina: Medicina
Banca: VUNESP
Orgão: Pref. Peruíbe-SP
Provas:

Homem de 35 anos sofre um acidente automobilístico e é trazido ao pronto-socorro com suspeita de traumatismo raquimedular (TRM). Ao exame inicial, o paciente apresenta paraplegia, com ausência de sensibilidade tátil e dolorosa abaixo do nível do umbigo. O reflexo bulbocavernoso está presente. A ressonância magnética da coluna vertebral confirma uma lesão na região torácica, sem evidências radiológicas de compressão óssea sobre o tecido medular.

Com base no exame clínico e nos achados radiológicos, o nível neurológico mais provável da lesão é:

 

Provas

Questão presente nas seguintes provas
3544631 Ano: 2024
Disciplina: Medicina
Banca: VUNESP
Orgão: Pref. Peruíbe-SP
Provas:

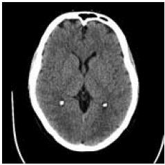
Paciente de 58 anos é admitido na unidade de emergência apresentando rebaixamento do nível de consciência, evoluindo para coma nas últimas horas. Não há histórico médico de abuso de drogas e nem de etilismo, e a família relata que ele estava bem até dois dias atrás. Ao exame físico, o paciente não responde a estímulos verbais ou dolorosos e apresenta respiração irregular do tipo Cheyne-Stokes, pupilas médio-fixas e pouco reagentes à luz. A tomografia computadorizada (TC) de crânio sem contraste encontra-se a seguir.

Enunciado 4100207-1

(https://prod-images-static.radiopaedia.org/ images/4170261/c5d7c3ed6c7fe53e59c2dd902e44b9_big_gallery.jpg)

Com base nesse cenário clínico e nos conhecimentos sobre as etiologias e os mecanismos fisiopatológicos associados ao coma, das seguintes alternativas, assinale a que apresenta a mais provável causa do estado comatoso desse paciente.

 

Provas

Questão presente nas seguintes provas
3544630 Ano: 2024
Disciplina: Medicina
Banca: VUNESP
Orgão: Pref. Peruíbe-SP
Provas:

Considerando os critérios diagnósticos para cefaleias primárias e secundárias, bem como a necessidade de uma abordagem clínica detalhada para o manejo adequado da dor, das seguintes opções, assinale a que melhor descreve um caso típico de cefaleia tensional episódica.

 

Provas

Questão presente nas seguintes provas
3544629 Ano: 2024
Disciplina: Medicina
Banca: VUNESP
Orgão: Pref. Peruíbe-SP
Provas:

Em relação à doença de Chagas, podemos afirmar, corretamente, que

 

Provas

Questão presente nas seguintes provas
3544628 Ano: 2024
Disciplina: Medicina
Banca: VUNESP
Orgão: Pref. Peruíbe-SP
Provas:

Assinale a alternativa correta quanto à primeira opção terapêutica para giardíase em adultos.

 

Provas

Questão presente nas seguintes provas
3544627 Ano: 2024
Disciplina: Medicina
Banca: VUNESP
Orgão: Pref. Peruíbe-SP
Provas:

Assinale a alternativa correta quanto à doença que requer precauções para aerossóis.

 

Provas

Questão presente nas seguintes provas
3544626 Ano: 2024
Disciplina: Medicina
Banca: VUNESP
Orgão: Pref. Peruíbe-SP
Provas:

Pode-se afirmar corretamente, sobre a febre maculosa, que a

 

Provas

Questão presente nas seguintes provas
3544625 Ano: 2024
Disciplina: Medicina
Banca: VUNESP
Orgão: Pref. Peruíbe-SP
Provas:

O tratamento da bacteriúria assintomática está indicado em:

 

Provas

Questão presente nas seguintes provas