Foram encontradas 30 questões.
Recomeço: a vida dos refugiados sírios em São Paulo
(Disponível em: http://veja.abril.com.br/noticia/brasil/recomeco-a-vida-dos-refugiados-sirios-em-sao-paulo. Acesso em: setembro de 2015.)
Acerca da inserção, no 1º período do texto, da informação “[...] cinco meses antes da imagem do corpo do menino
Aylan Kurdi, de três anos, estirado nas areias da praia de Bodrum dar um tapa na cara da humanidade,[...]" é
possível reconhecer como intenção do discurso, principalmente, que Em março deste ano, cinco meses antes da imagem do corpo do menino Aylan Kurdi, de três anos, estirado nas
areias da praia de Bodrum dar um tapa na cara da humanidade, o Alto Comissário das Nações Unidas para Refugiados, o
português Antônio Guterres, classificou a guerra civil da Síria como “a pior crise humanitária da nossa era" – ou pelo
menos a mais grave pós-Segunda Guerra. Em quatro anos e meio, o conflito insano que destruiu o país árabe deixou
mais de 250.000 mortos e espalhou 4 milhões de refugiados pelo mundo – 25% deles menores de idade. Do grupo que
arriscou cruzar o Atlântico rumo às Américas, a maioria desembarcou no Aeroporto Internacional de Guarulhos, na
região metropolitana de São Paulo. No Brasil, o primeiro destino foi bater à porta da mesquita de Guarulhos, a 10
quilômetros de onde aterrissaram, em busca de abrigo.
Foi esse o caminho percorrido no ano passado por Marah Khamis, de 23 anos, ao lado do marido, dos pais e de três irmãs, que deixaram Damasco depois que um familiar desenvolveu um câncer em consequência de uma bomba química. Os bens foram convertidos em passagens aéreas para o Brasil. Desembarcaram com poucas malas e economias suficientes para algumas semanas. O único endereço em mente era a mesquita de Guarulhos, onde foram acolhidos e se juntaram a cerca de 150 conterrâneos que seguiram o mesmo itinerário – hoje, o país contabiliza 2.077 refugiados sírios, segundo a ONU.
Uma tragédia também foi o motivo que trouxe ao Brasil a síria Fateh Saymeh, de 29 anos, o marido, Mohamed Saymeh, e as duas filhas de cinco anos. “Minha casa explodiu na minha frente", lembra Fateh, de fala calma e serena ante as memórias da guerra. A indignação fica por conta do marido, que assumiu uma dura rotina para sustentar a família. Saymeh é funcionário de um restaurante das 9h às 18h, o que lhe rende 1.000 reais por mês – dinheiro que tem como destino o aluguel da casa. Para complementar a renda, ele trabalha na Feira da Madrugada, no Brás. Embora ainda não consiga se comunicar em português, ele já aprendeu a pronunciar as únicas palavras que definem sua realidade – e a de milhares de brasileiros: “Muito cansado".
Foi esse o caminho percorrido no ano passado por Marah Khamis, de 23 anos, ao lado do marido, dos pais e de três irmãs, que deixaram Damasco depois que um familiar desenvolveu um câncer em consequência de uma bomba química. Os bens foram convertidos em passagens aéreas para o Brasil. Desembarcaram com poucas malas e economias suficientes para algumas semanas. O único endereço em mente era a mesquita de Guarulhos, onde foram acolhidos e se juntaram a cerca de 150 conterrâneos que seguiram o mesmo itinerário – hoje, o país contabiliza 2.077 refugiados sírios, segundo a ONU.
Uma tragédia também foi o motivo que trouxe ao Brasil a síria Fateh Saymeh, de 29 anos, o marido, Mohamed Saymeh, e as duas filhas de cinco anos. “Minha casa explodiu na minha frente", lembra Fateh, de fala calma e serena ante as memórias da guerra. A indignação fica por conta do marido, que assumiu uma dura rotina para sustentar a família. Saymeh é funcionário de um restaurante das 9h às 18h, o que lhe rende 1.000 reais por mês – dinheiro que tem como destino o aluguel da casa. Para complementar a renda, ele trabalha na Feira da Madrugada, no Brás. Embora ainda não consiga se comunicar em português, ele já aprendeu a pronunciar as únicas palavras que definem sua realidade – e a de milhares de brasileiros: “Muito cansado".
(Disponível em: http://veja.abril.com.br/noticia/brasil/recomeco-a-vida-dos-refugiados-sirios-em-sao-paulo. Acesso em: setembro de 2015.)
Provas
Questão presente nas seguintes provas
O trecho a seguir contextualiza o tema tratado na questão. Leia-o atentamente.
“É lembrado nesta quinta-feira (06/08/2015) o 70º aniversário do primeiro ataque nuclear da história: quando uma
aeronave americana lançou a bomba atômica sobre a cidade japonesa de Hiroshima, em 1945, matando cerca de 140
mil pessoas até o final daquele ano – de um total de 350 mil que viviam ali.”
(Disponível
em:http://www.bbc.com/portuguese/videos_e_fotos/2015/08/150805_hiroshima_70anos_pai.)
Provas
Questão presente nas seguintes provas
Nas últimas décadas, está havendo queda na prevalência de cárie dentária verificada nos estudos nacionais. A
mudança da prevalência de cárie traz as seguintes consequências para a prática clínica que influenciam na decisão da
escolha da estratégia, EXCETO:
Provas
Questão presente nas seguintes provas
A técnica de bloqueio do nervo alveolar inferior é uma das mais utilizadas em odontologia e, normalmente,
relacionada com insucessos. É INCORRETO afirmar que
Provas
Questão presente nas seguintes provas
974391
Ano: 2015
Disciplina: Ética e Regulação Profissional
Banca: Consulplan
Orgão: Pref. Patos Minas-MG
Disciplina: Ética e Regulação Profissional
Banca: Consulplan
Orgão: Pref. Patos Minas-MG
Provas:
A Lei nº 5.081/1966 regula o exercício da odontologia no Brasil. De acordo com a Lei é
Provas
Questão presente nas seguintes provas
As radiografias são métodos complementares de diagnóstico e precisam ser de boa qualidade para serem úteis.
Representam causa de sobre-exposição, EXCETO:
Provas
Questão presente nas seguintes provas
Algumas lesões encontradas na boca podem ser consideradas pré-cancerizáveis. “Lesão vermelha, representada
clinicamente por mancha ou placa eritematosa escura, não desaparece à compressão, localizada preferencialmente
no palato duro ou mole, mas que ocorre com menor frequência em qualquer outra área de mucosa bucal.” Trata-se
de:
Provas
Questão presente nas seguintes provas
Um dos desafios no atendimento a crianças é o controle do comportamento. O comportamento infantil depende do
aprendizado e do desenvolvimento. É correto afirmar que
Provas
Questão presente nas seguintes provas
Os cimentos de ionômero de vidro são materiais restauradores que consistem em um pó e um líquido que, quando
misturados, produzem uma massa plástica que subsequentemente toma presa formando um sólido rígido. É correto
afirmar que
Provas
Questão presente nas seguintes provas
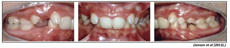
Observe as imagens a seguir.

Sabendo que as fotos são vistas frontal e laterais de um mesmo paciente, qual é a classificação dessa má-oclusão
segundo Angle?
Provas
Questão presente nas seguintes provas
Cadernos
Caderno Container