Foram encontradas 30 questões.
Foi esse o caminho percorrido no ano passado por Marah Khamis, de 23 anos, ao lado do marido, dos pais e de três irmãs, que deixaram Damasco depois que um familiar desenvolveu um câncer em consequência de uma bomba química. Os bens foram convertidos em passagens aéreas para o Brasil. Desembarcaram com poucas malas e economias suficientes para algumas semanas. O único endereço em mente era a mesquita de Guarulhos, onde foram acolhidos e se juntaram a cerca de 150 conterrâneos que seguiram o mesmo itinerário – hoje, o país contabiliza 2.077 refugiados sírios, segundo a ONU.
Uma tragédia também foi o motivo que trouxe ao Brasil a síria Fateh Saymeh, de 29 anos, o marido, Mohamed Saymeh, e as duas filhas de cinco anos. “Minha casa explodiu na minha frente", lembra Fateh, de fala calma e serena ante as memórias da guerra. A indignação fica por conta do marido, que assumiu uma dura rotina para sustentar a família. Saymeh é funcionário de um restaurante das 9h às 18h, o que lhe rende 1.000 reais por mês – dinheiro que tem como destino o aluguel da casa. Para complementar a renda, ele trabalha na Feira da Madrugada, no Brás. Embora ainda não consiga se comunicar em português, ele já aprendeu a pronunciar as únicas palavras que definem sua realidade – e a de milhares de brasileiros: “Muito cansado".
(Disponível em: http://veja.abril.com.br/noticia/brasil/recomeco-a-vida-dos-refugiados-sirios-em-sao-paulo. Acesso em: setembro de 2015.)
Provas
O trecho a seguir contextualiza o tema tratado nas questão.
“É lembrado nesta quinta-feira (06/08/2015) o 70º aniversário do primeiro ataque nuclear da história: quando uma aeronave americana lançou a bomba atômica sobre a cidade japonesa de Hiroshima, em 1945, matando cerca de 140 mil pessoas até o final daquele ano – de um total de 350 mil que viviam ali.”
(Disponível em: http://www.bbc.com/portuguese/videos_e_fotos/2015/08/150805_hiroshima_70anos_pai.)
Provas
O trecho a seguir contextualiza o tema tratado nas questão.
“É lembrado nesta quinta-feira (06/08/2015) o 70º aniversário do primeiro ataque nuclear da história: quando uma aeronave americana lançou a bomba atômica sobre a cidade japonesa de Hiroshima, em 1945, matando cerca de 140 mil pessoas até o final daquele ano – de um total de 350 mil que viviam ali.”
(Disponível em: http://www.bbc.com/portuguese/videos_e_fotos/2015/08/150805_hiroshima_70anos_pai.)
Provas
Provas
Provas
Provas
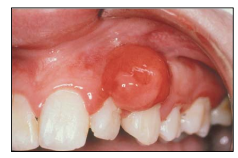
Observe a imagem a seguir.

As características histopatológicas dessa lesão são: proliferação de fibroblastos associada à formação de material
mineralizado. O componente fibroblástico profundo é celular especialmente nas áreas de mineralização. Qual lesão é
esta?
Provas
Provas
Disciplina: Ética e Regulação Profissional
Banca: Consulplan
Orgão: Pref. Patos Minas-MG
Provas
Provas
Caderno Container